ESPECIALIDADES
ESCUINTLA
AKISHINO
AKISHINO2 USG
HUIXTLA
Home
Study list
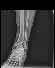
Study Information
Patient's name:
Albino Marroquin Martinez
Date of birth:
01/01/82
Patient ID:
PAT010141
Accession number:
ACCNO010403
Referring Physician:
Study date:
2
1
/
1
0
/
2
5
1
4
:
5
6
Modality:
DX
Description:
Unnamed
Other Studies for this patient:
2
1
/
1
0
/
2
5
1
4
:
5
6
:
Unnamed
, DX, 4 series, PAT010141, ACCNO010403
Series
1 - unnamed
1 image
2 - unnamed
1 image
3 - unnamed
1 image
4 - unnamed
1 image
All
None
DICOM Transfer
Destination:
This Computer [192.168.1.19:11112]
PACS [52.27.201.11:104]
Description [127.0.0.1:11112]
Send