ESPECIALIDADES
ESCUINTLA
AKISHINO
AKISHINO2 USG
HUIXTLA
Home
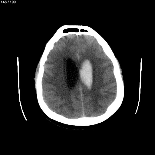
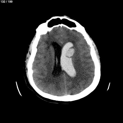
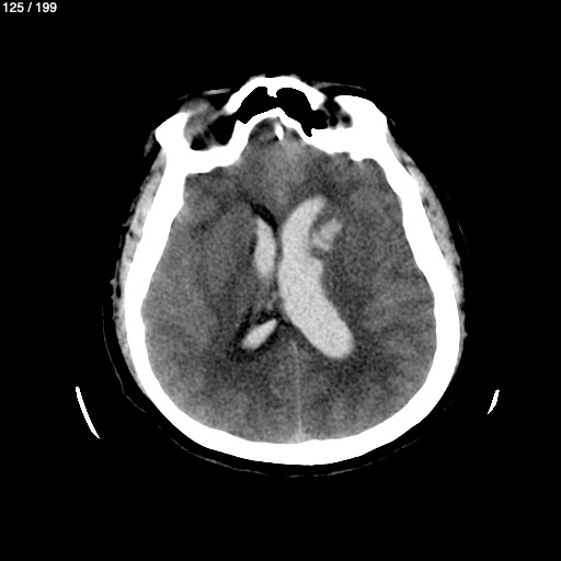
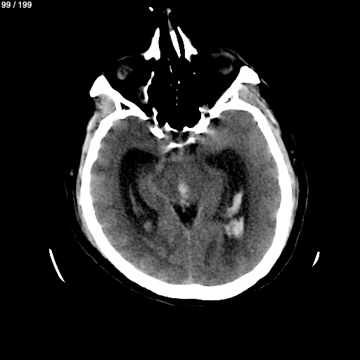
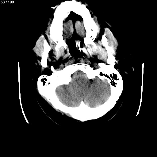
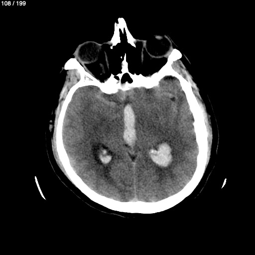
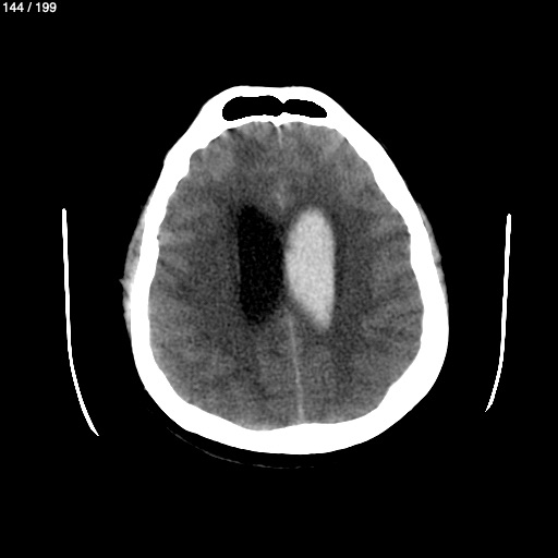
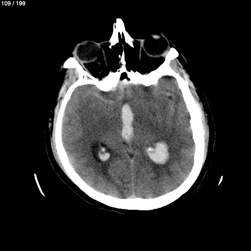
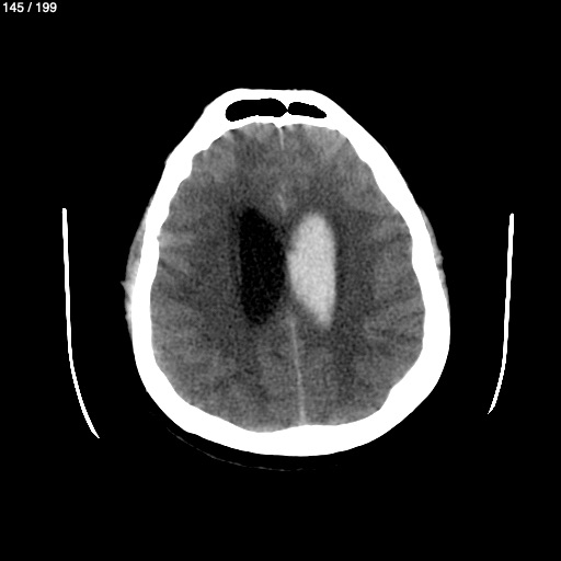
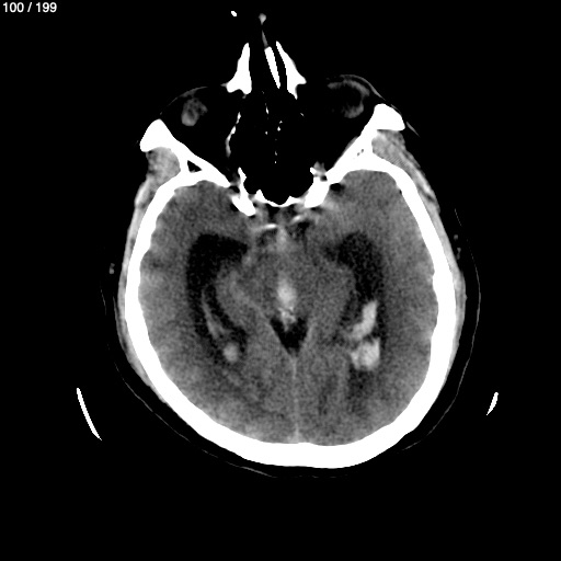
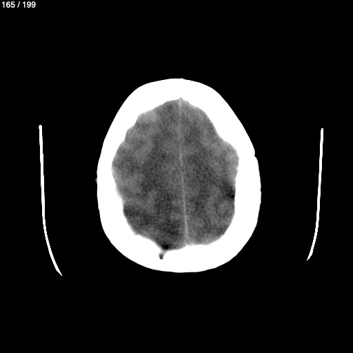
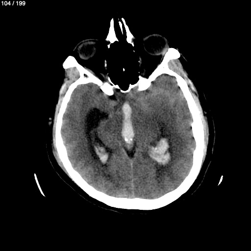
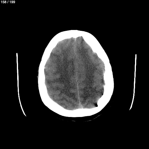
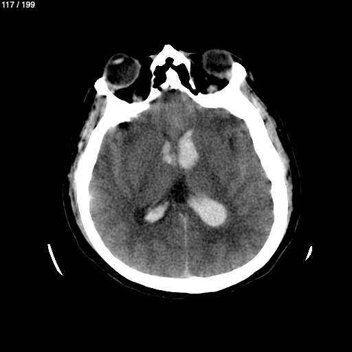
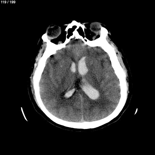
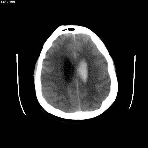
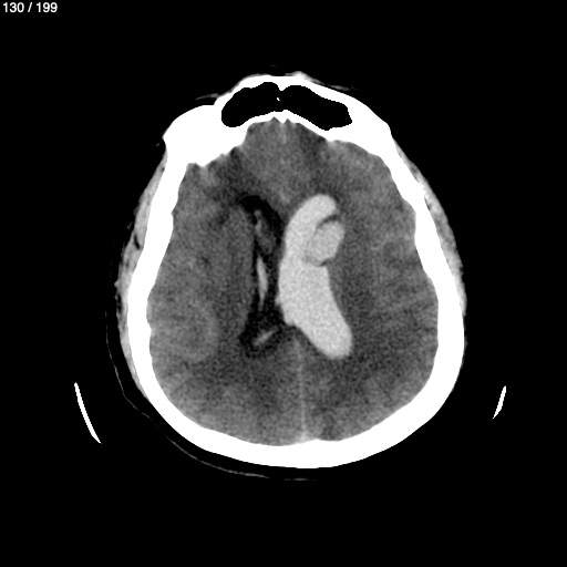
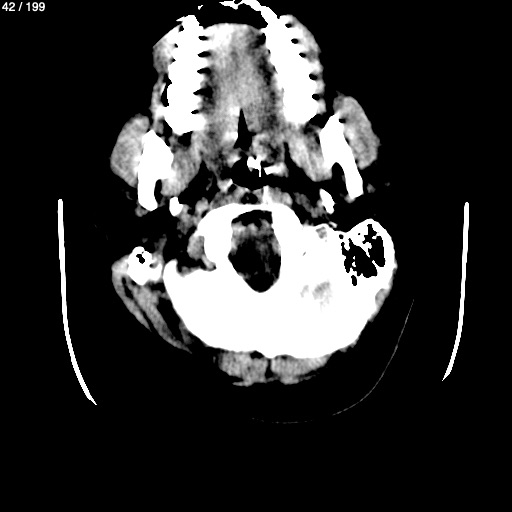
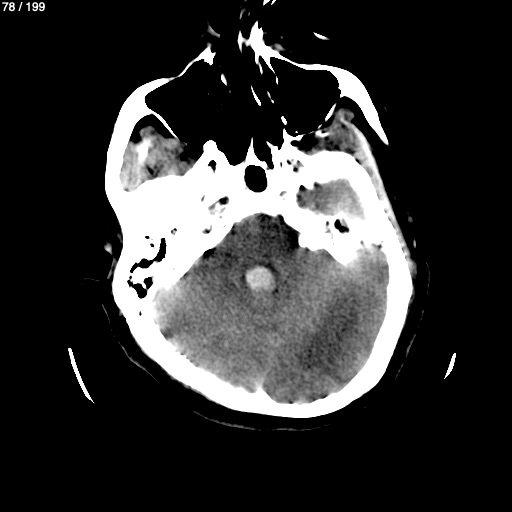
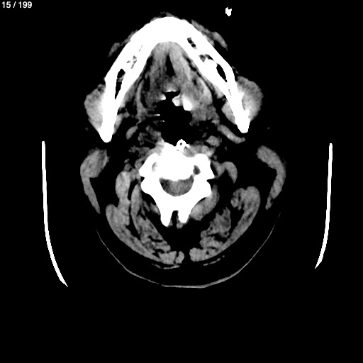
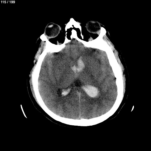
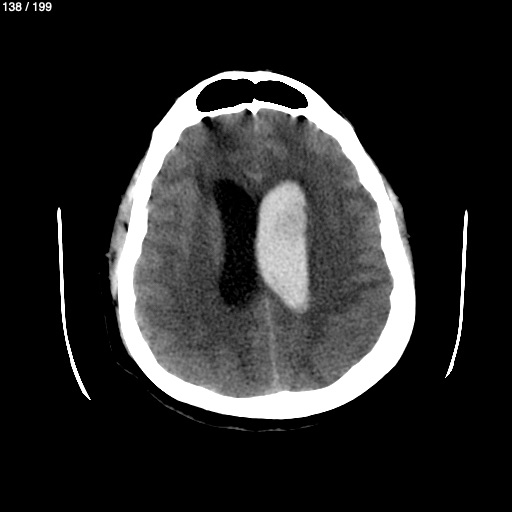
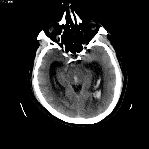
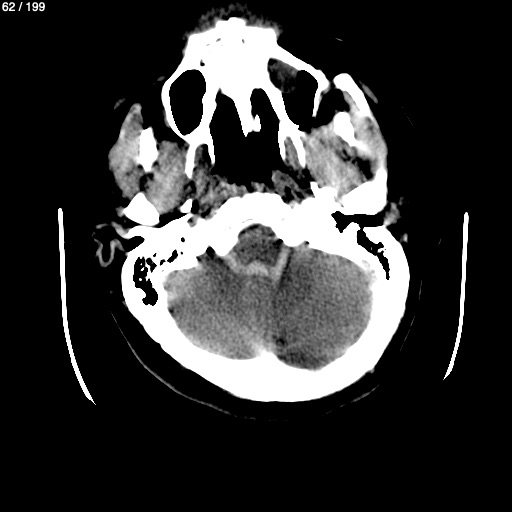
Jorge Antonio Tino Trinidad 30A - Unnamed
Previous Series
Next Series
Show as Sequence