ESPECIALIDADES
ESCUINTLA
AKISHINO
AKISHINO2 USG
HUIXTLA
Home
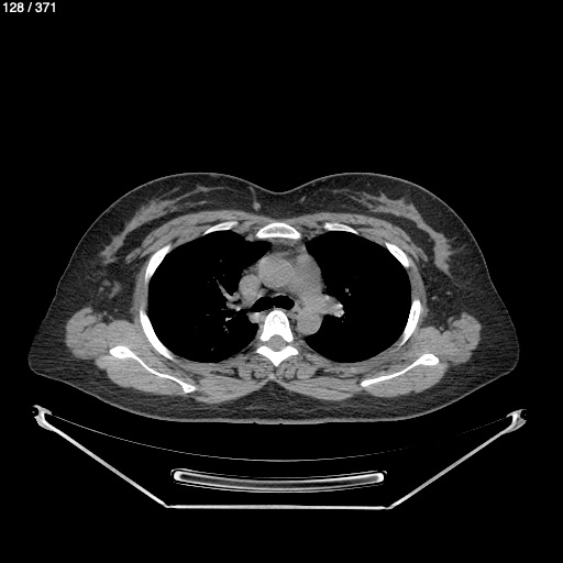
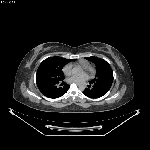
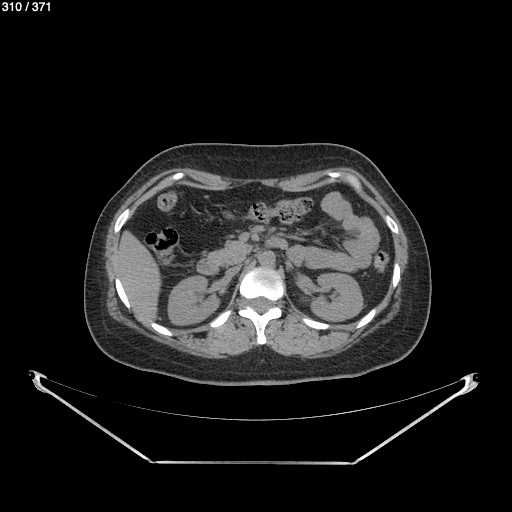
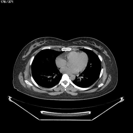
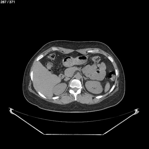
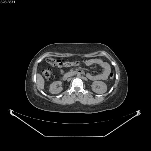
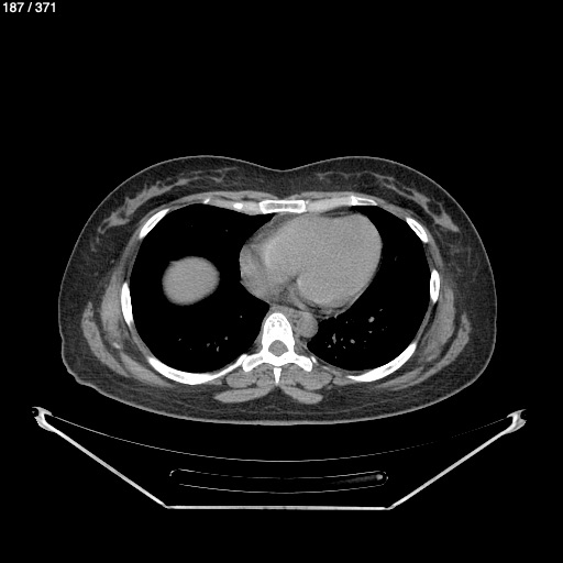
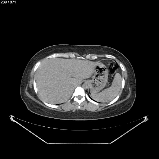
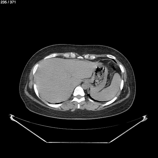
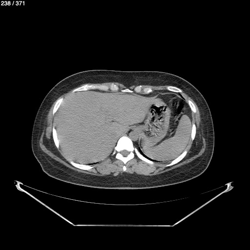
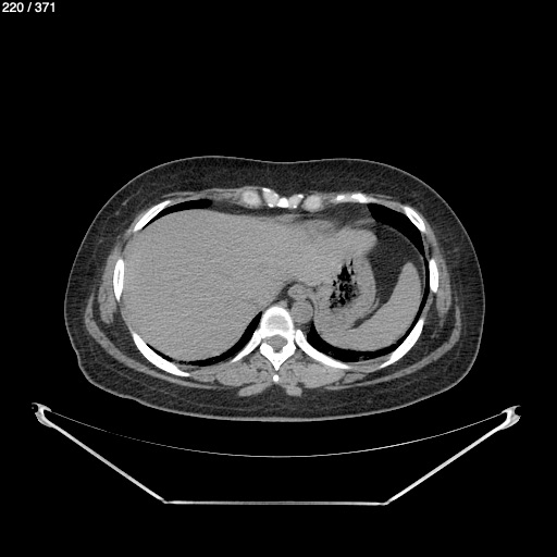
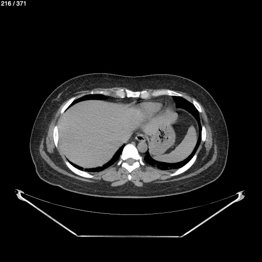
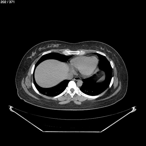
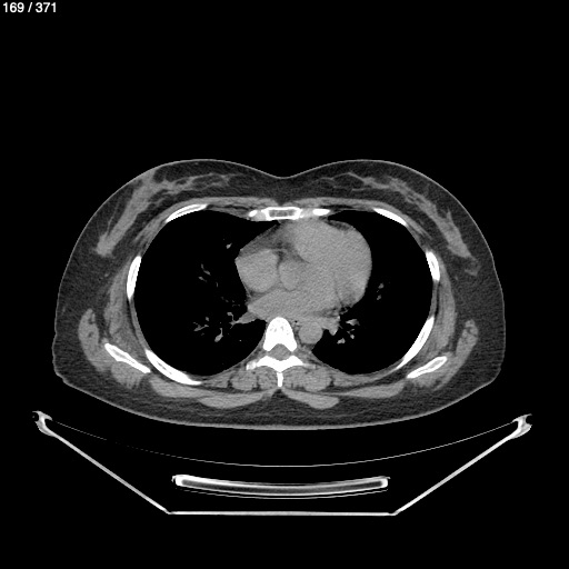
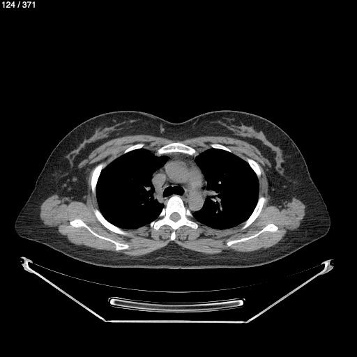
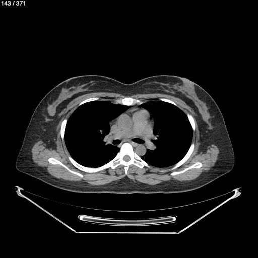
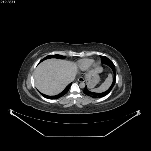
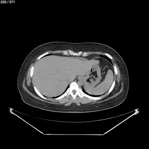
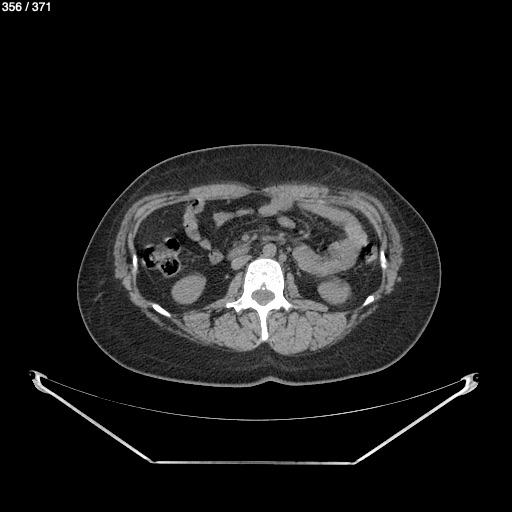
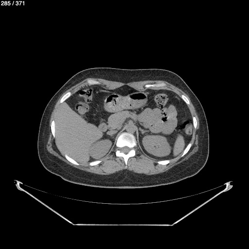
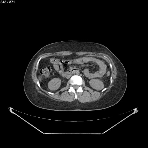
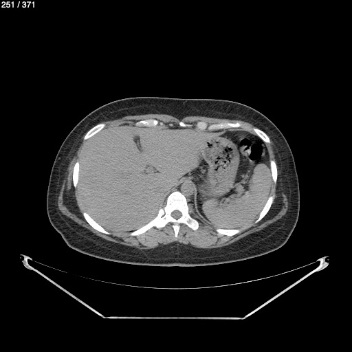
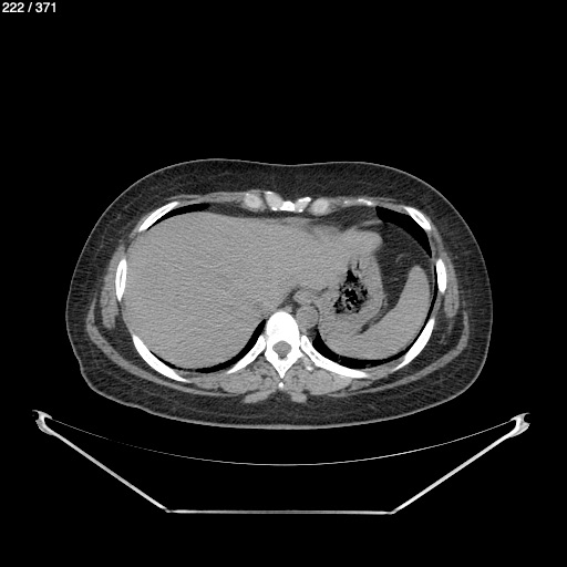
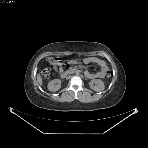
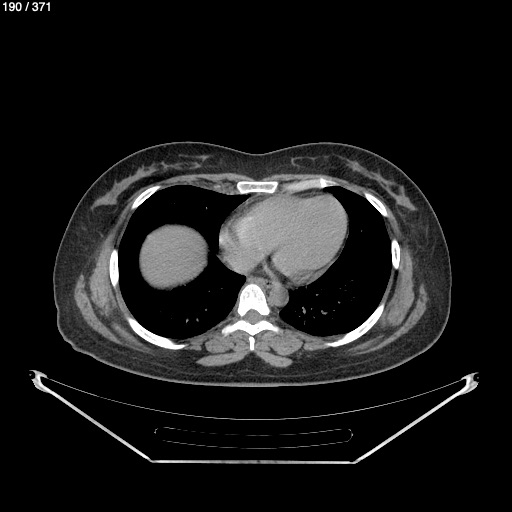
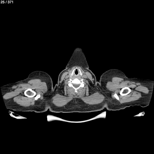
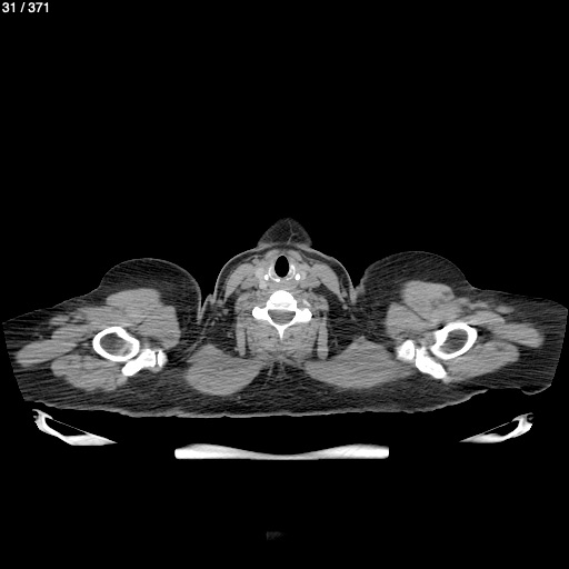
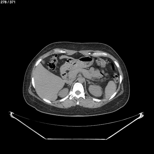
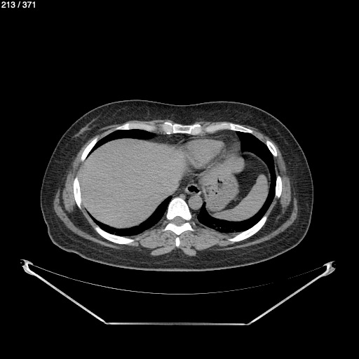
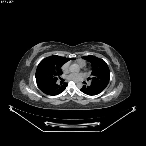
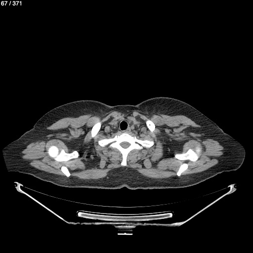
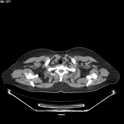
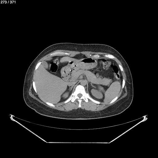
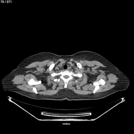
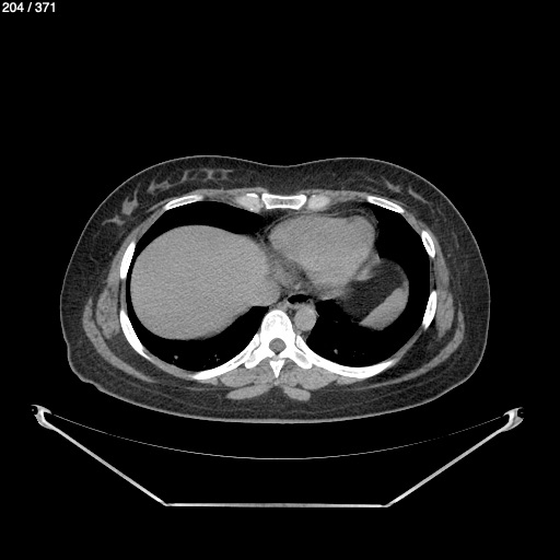
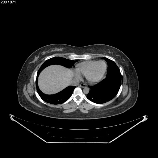
Cruz Idalia Vazquez Vera 41A - Unnamed
Previous Series
Show as Sequence