ESPECIALIDADES
ESCUINTLA
AKISHINO
AKISHINO2 USG
HUIXTLA
Home
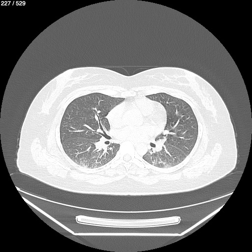
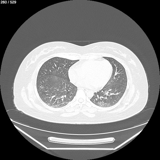
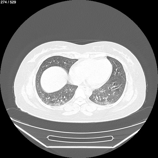
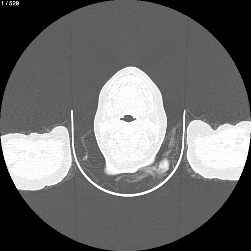
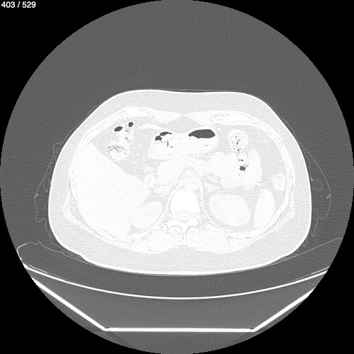
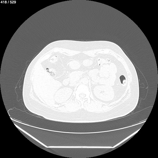
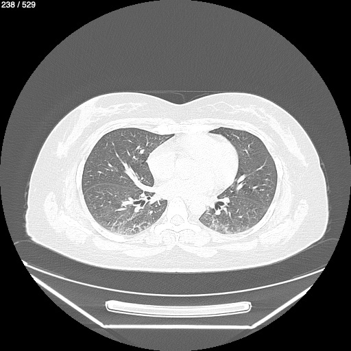
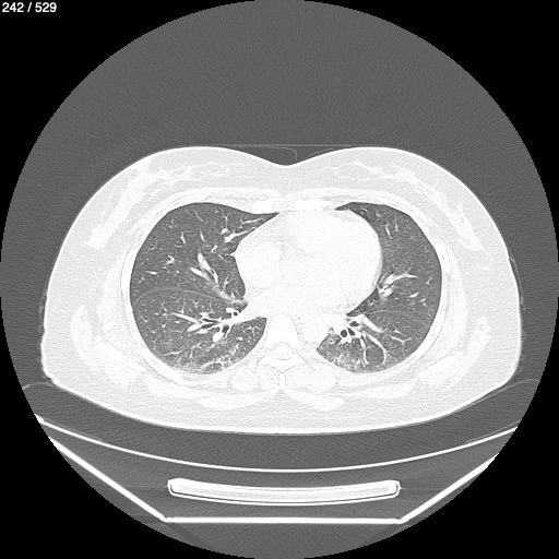
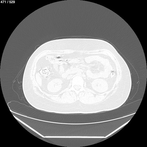
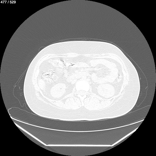
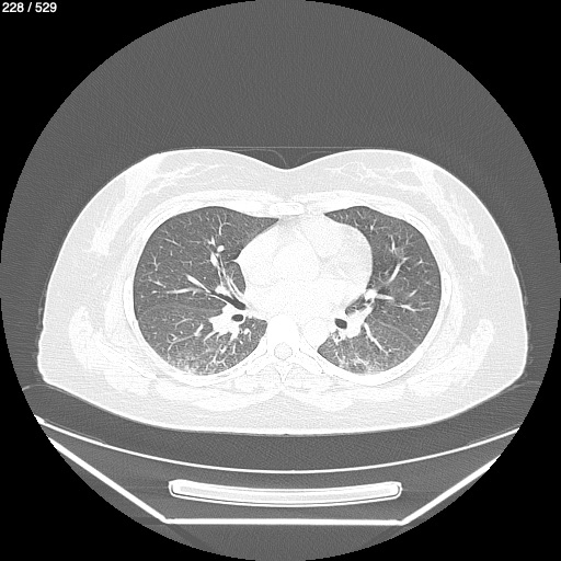
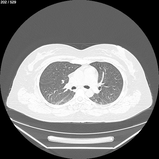
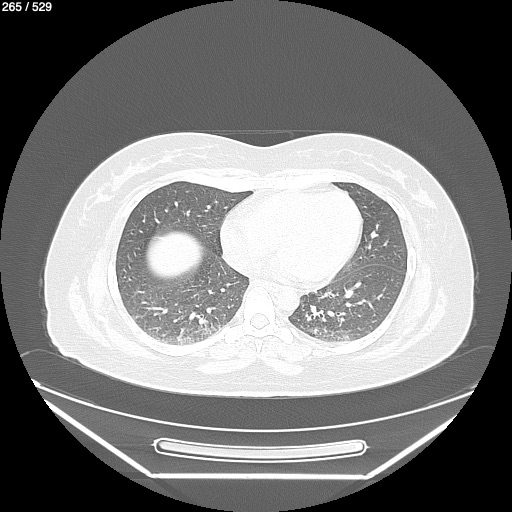
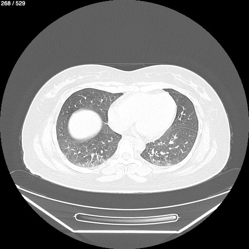
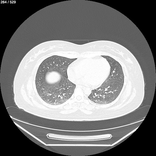
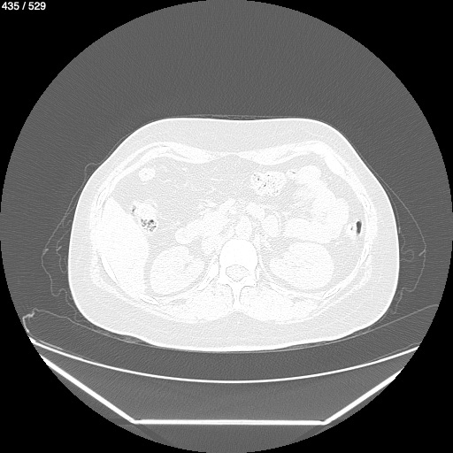
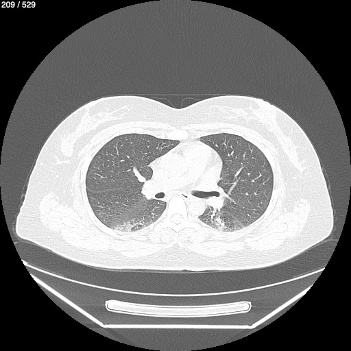
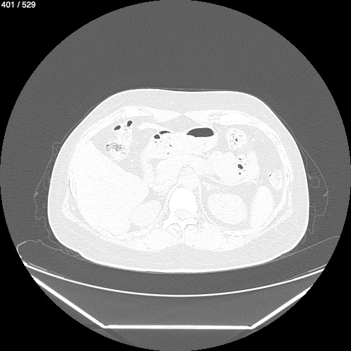
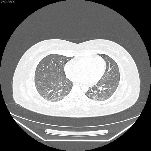
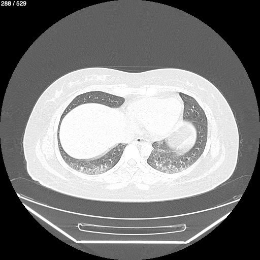
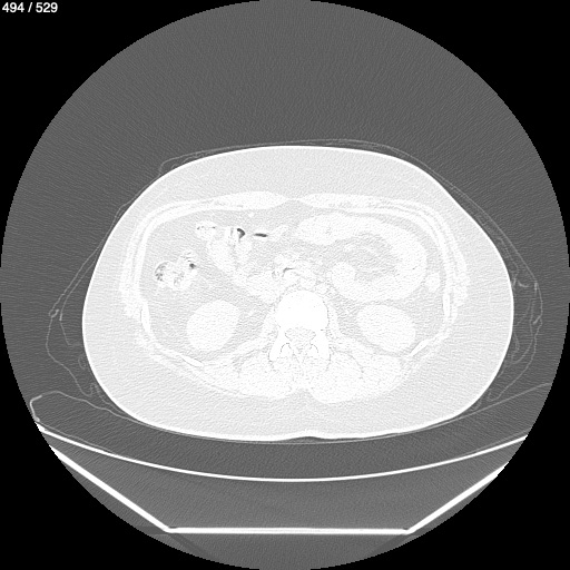
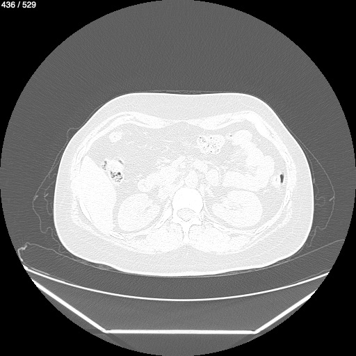
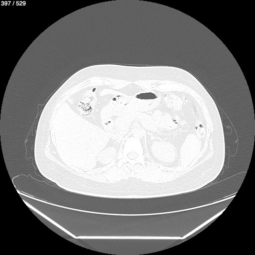
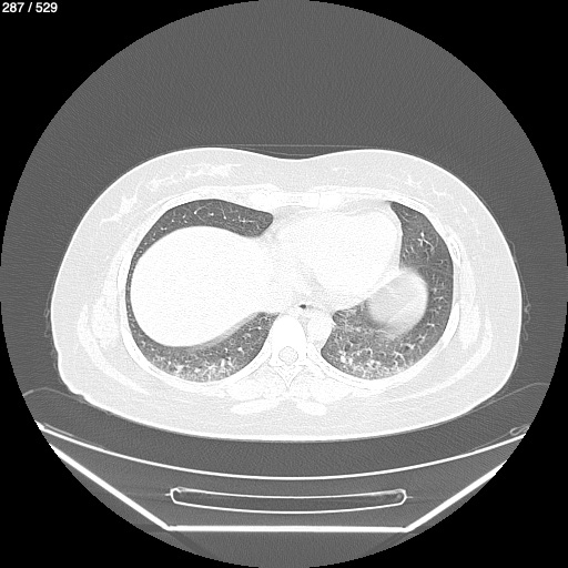
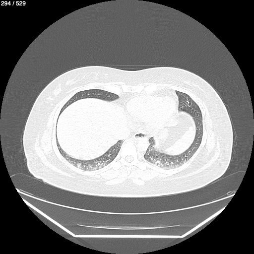
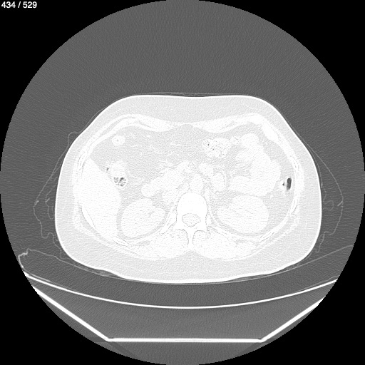
Cruz Idalia Vazquez Vera 41A - Unnamed
Next Series
Show as Sequence