ESPECIALIDADES
ESCUINTLA
AKISHINO
AKISHINO2 USG
HUIXTLA
Home
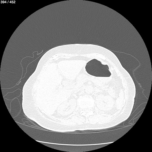
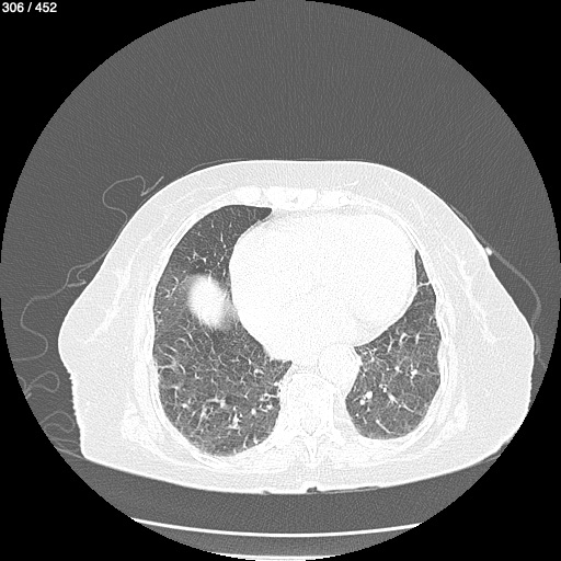
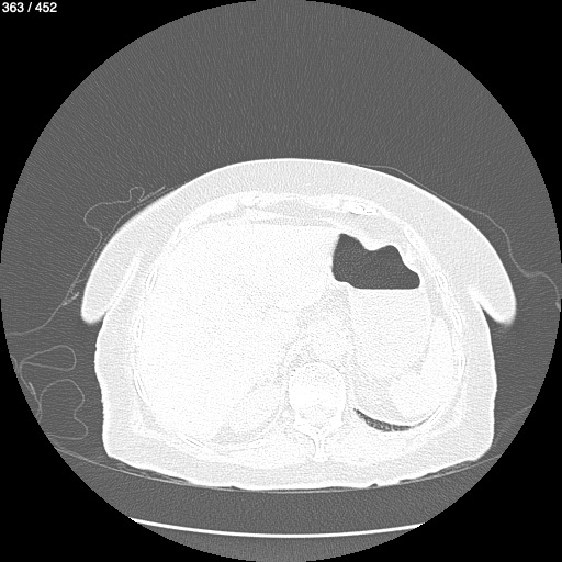
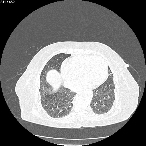
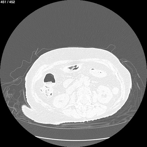
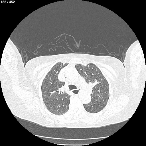
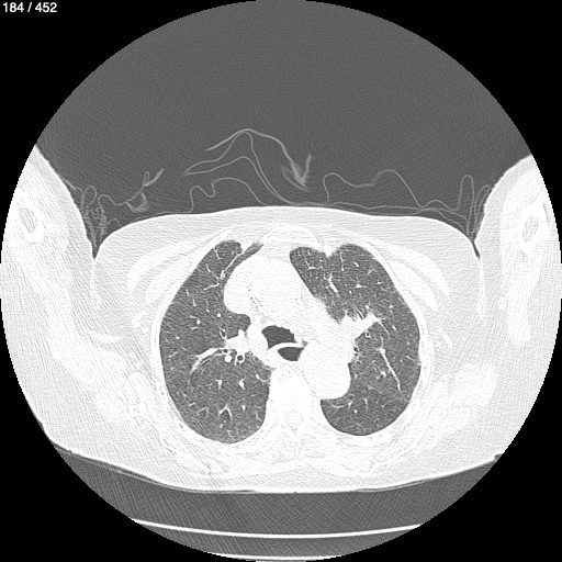
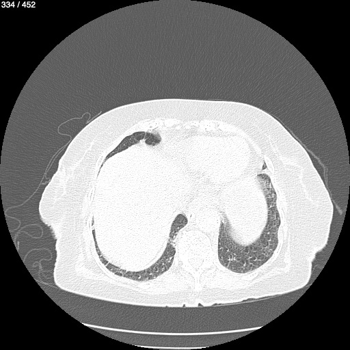
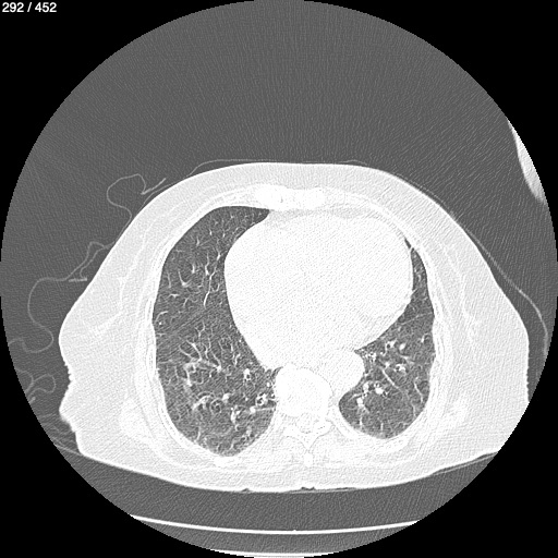
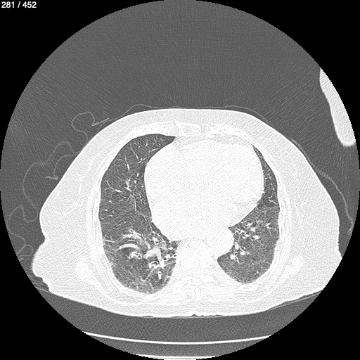
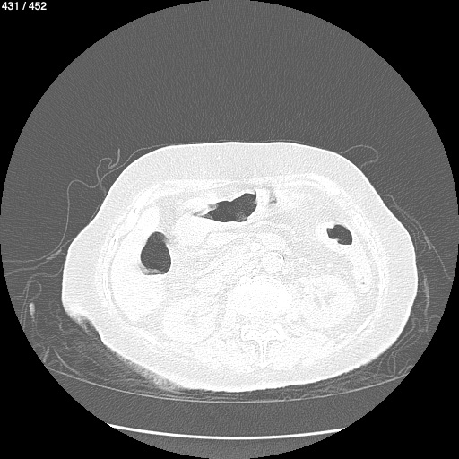
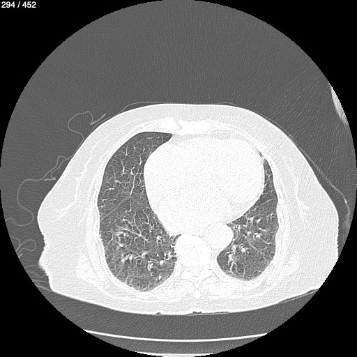
Paula Meza Nino 95A - Unnamed
Next Series
Show as Sequence