ESPECIALIDADES
ESCUINTLA
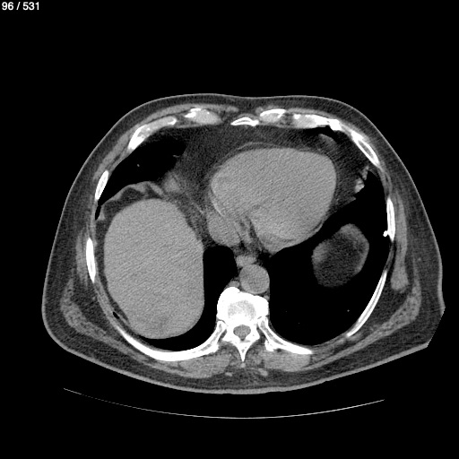
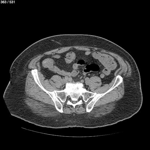
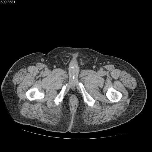
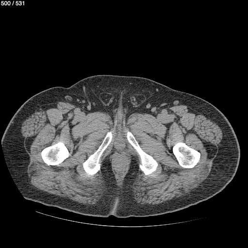
AKISHINO
AKISHINO2 USG
HUIXTLA
Home
Idelfonso Diaz Velazquez 66A - Unnamed
Next Series
Show as Sequence