ESPECIALIDADES
ESCUINTLA
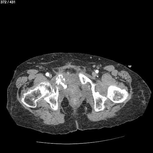
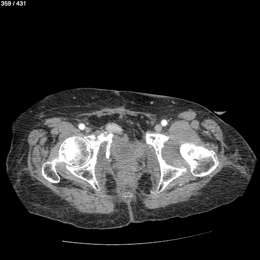
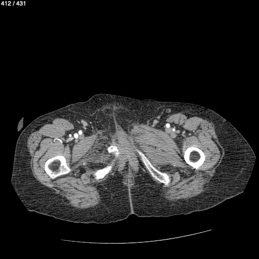
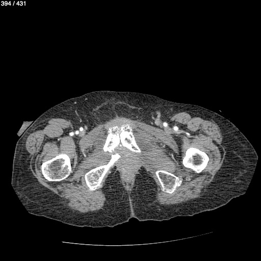
AKISHINO
AKISHINO2 USG
HUIXTLA
Home
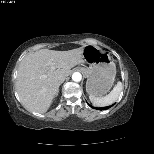
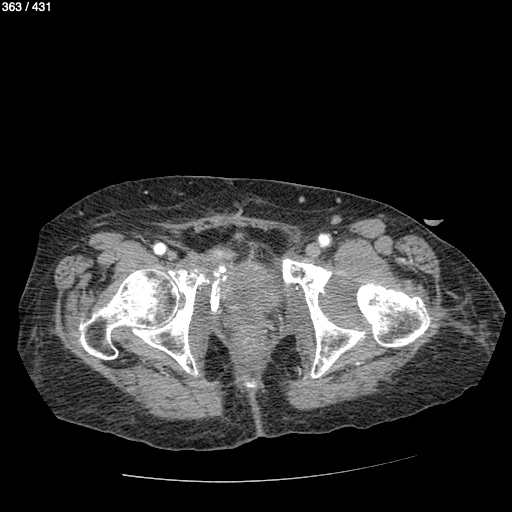
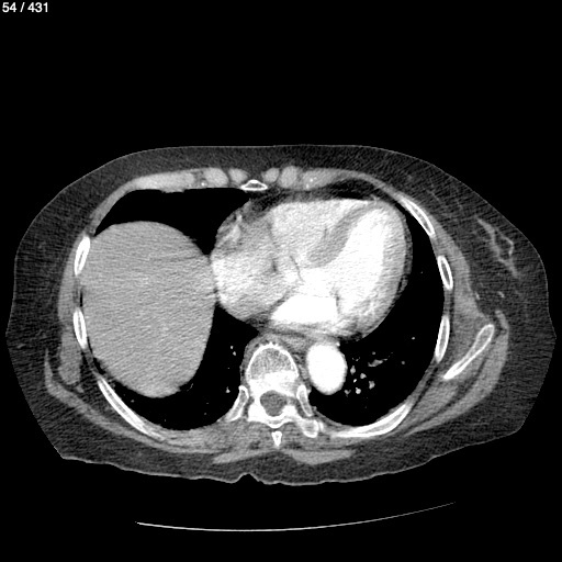
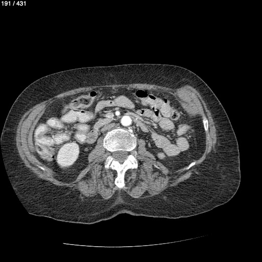
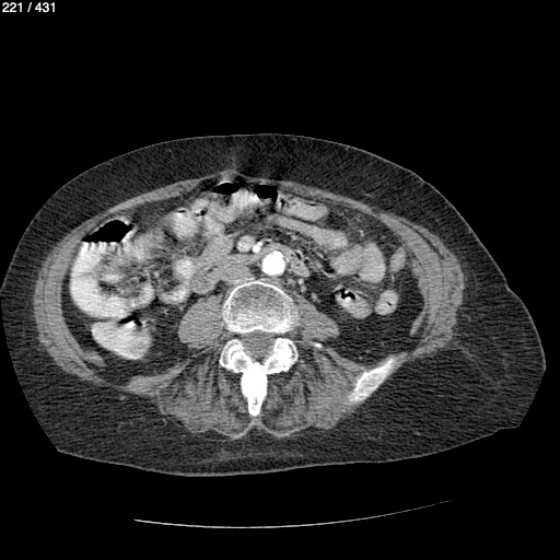
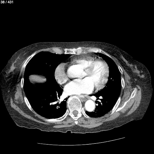
Amparo Agustin Hilerio 77A - Unnamed
Previous Series
Next Series
Show as Sequence