ESPECIALIDADES
ESCUINTLA
AKISHINO
AKISHINO2 USG
HUIXTLA
Home
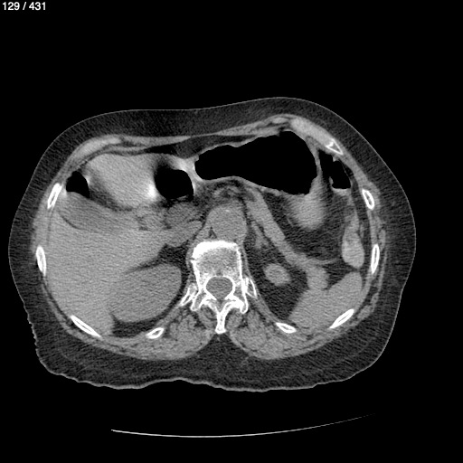
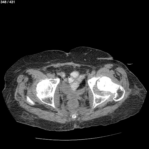
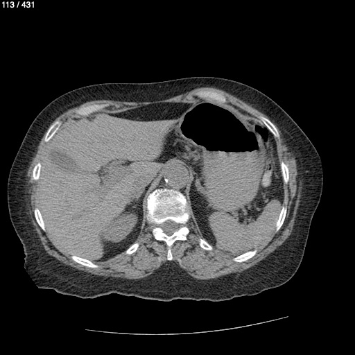
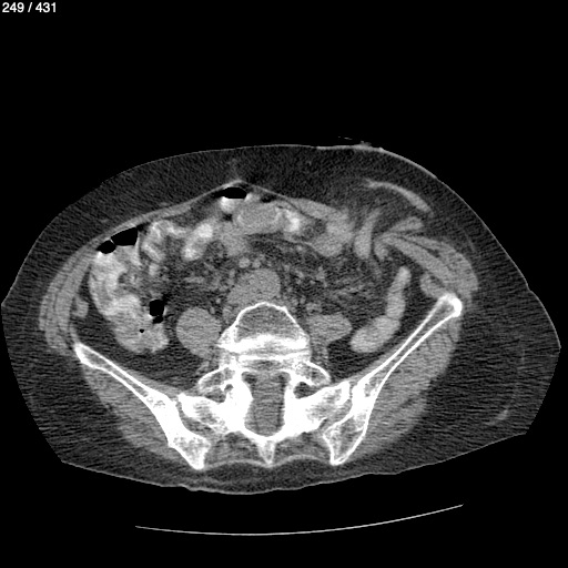
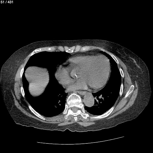
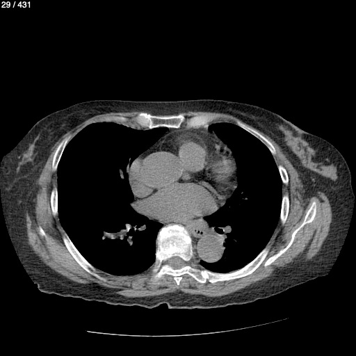
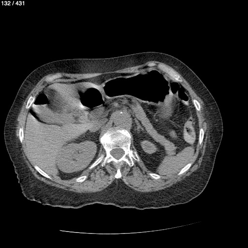
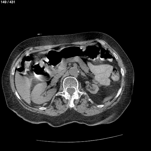
Amparo Agustin Hilerio 77A - Unnamed
Next Series
Show as Sequence