ESPECIALIDADES
ESCUINTLA
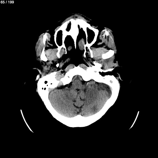
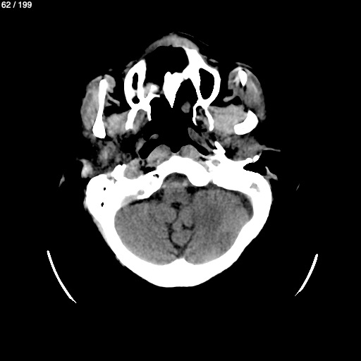
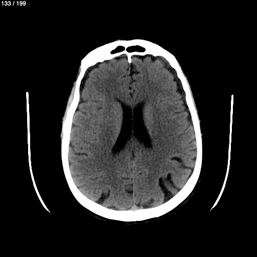
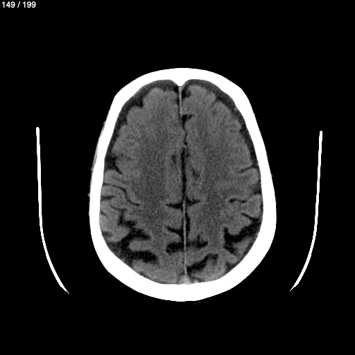
AKISHINO
AKISHINO2 USG
HUIXTLA
Home
Celso Alegria Rosario 80A - Unnamed
Next Series
Show as Sequence