ESPECIALIDADES
ESCUINTLA
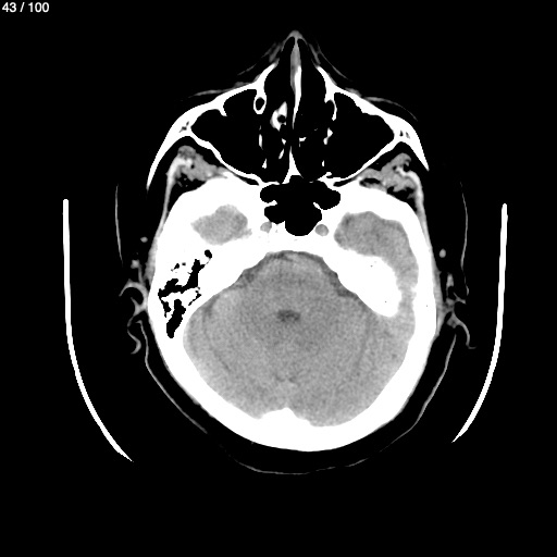
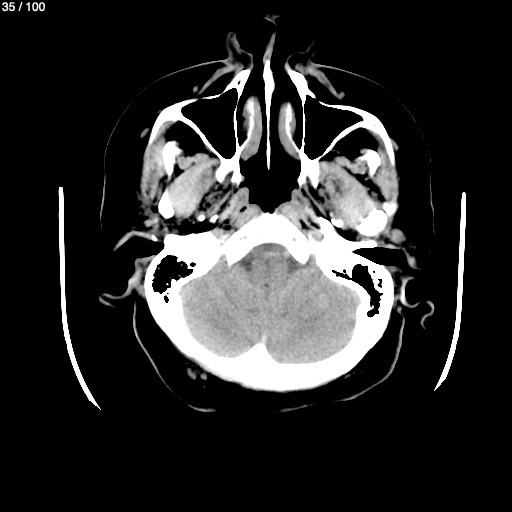
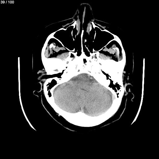
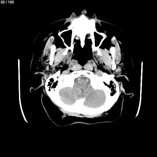
AKISHINO
AKISHINO2 USG
HUIXTLA
Home
Dominga Hernandez Camarena 53A - Unnamed
Next Series
Show as Sequence