ESPECIALIDADES
ESCUINTLA
AKISHINO
AKISHINO2 USG
HUIXTLA
Home
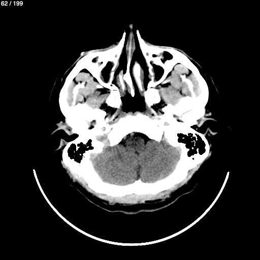
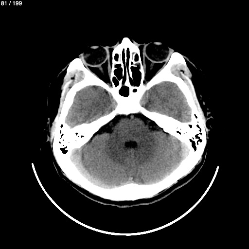
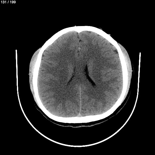
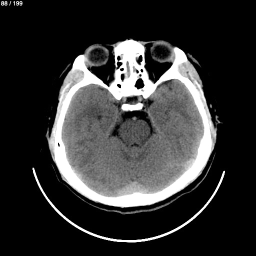
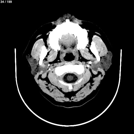
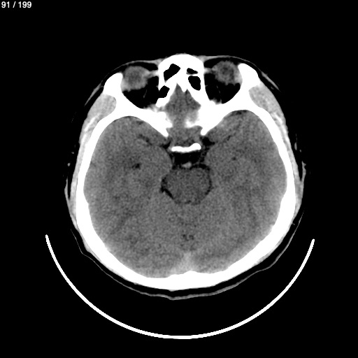
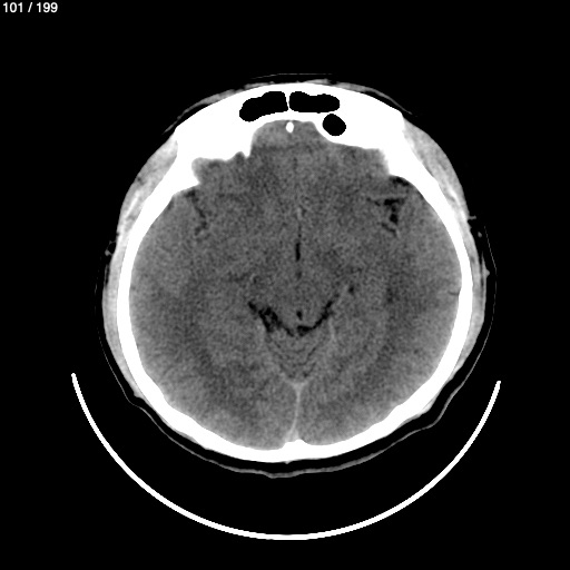
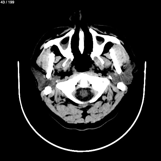
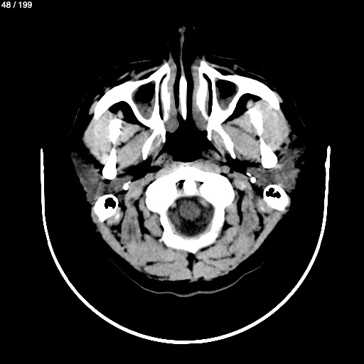
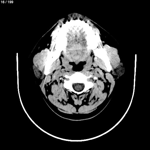
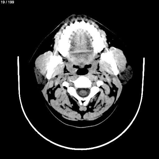
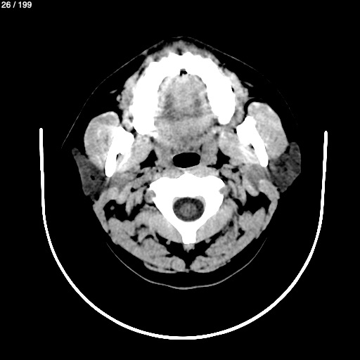
Wilmer Sanchez Perez 28A - Unnamed
Next Series
Show as Sequence