ESPECIALIDADES
ESCUINTLA
AKISHINO
AKISHINO2 USG
HUIXTLA
Home
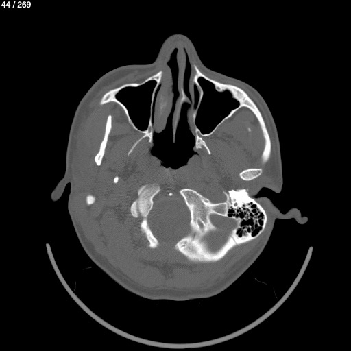
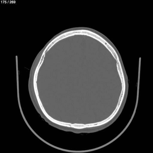
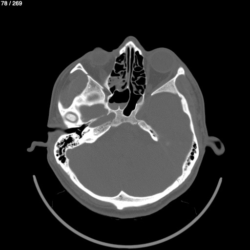
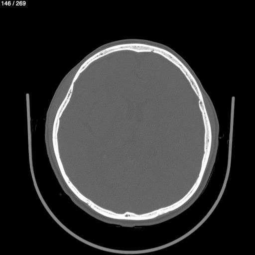
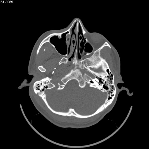
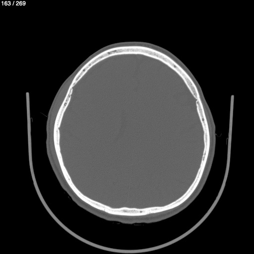
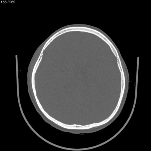
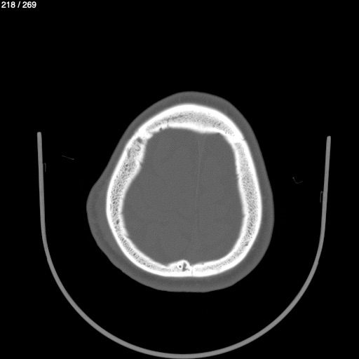
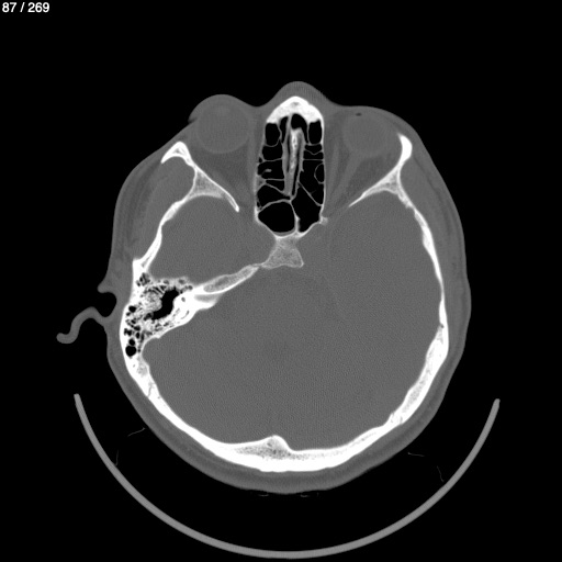
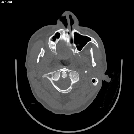
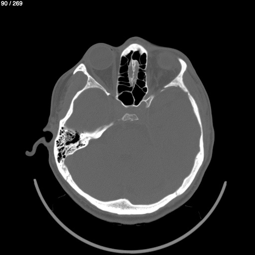
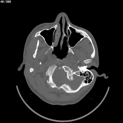
Ulises Vidal Perez - Tc De Craneo Simple
Previous Series
Show as Sequence