ESPECIALIDADES
ESCUINTLA
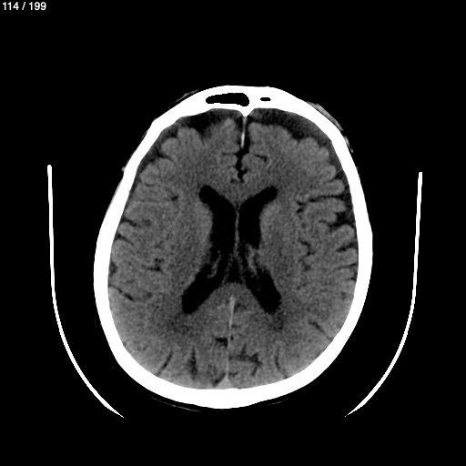
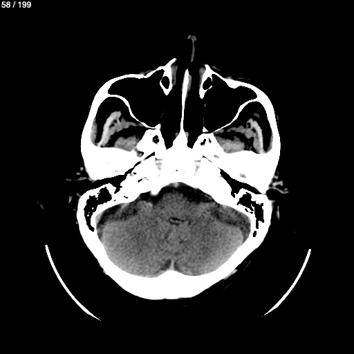
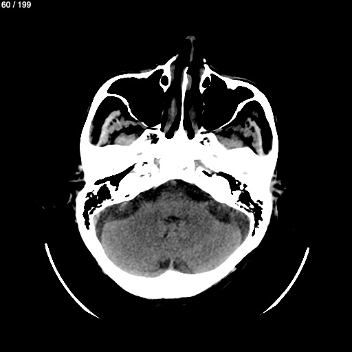
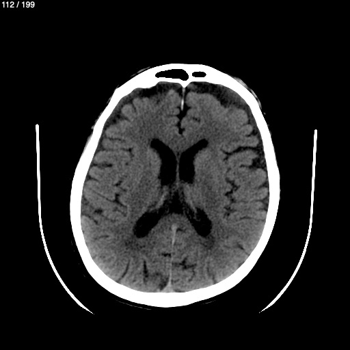
AKISHINO
AKISHINO2 USG
HUIXTLA
Home
Eulalio Quintana Gomez 83A - Unnamed
Show as Sequence