ESPECIALIDADES
ESCUINTLA
AKISHINO
AKISHINO2 USG
HUIXTLA
Home
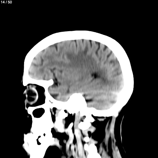
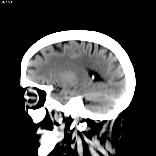
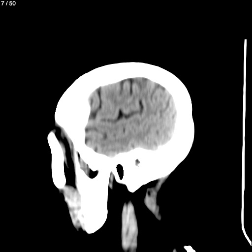
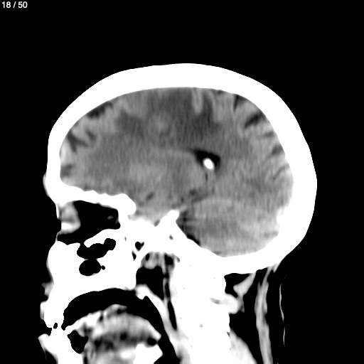
Emita Borraz Rodas 64A - Unnamed
Previous Series
Show as Sequence