ESPECIALIDADES
ESCUINTLA
AKISHINO
AKISHINO2 USG
HUIXTLA
Home
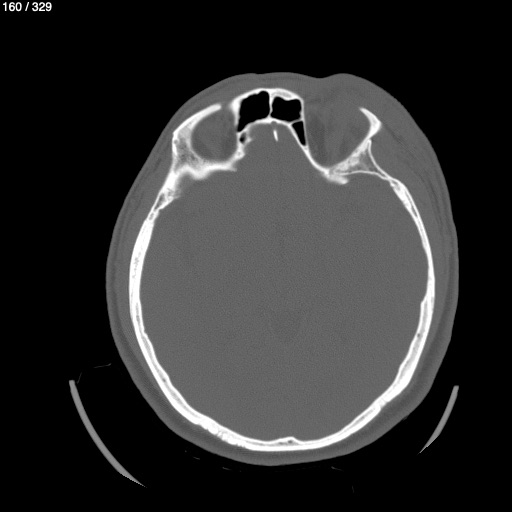
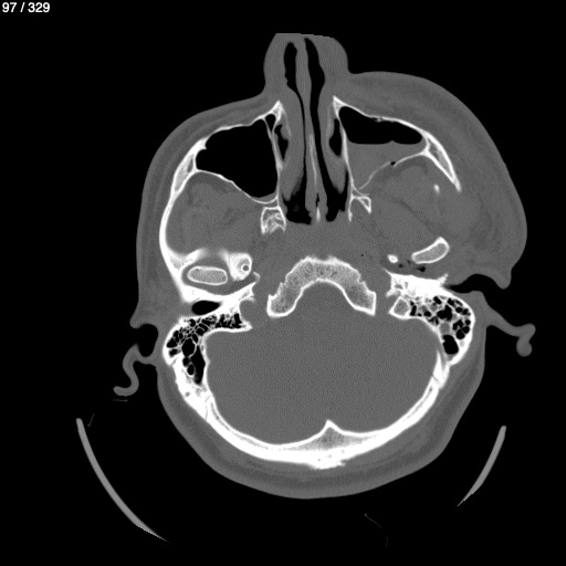
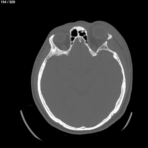
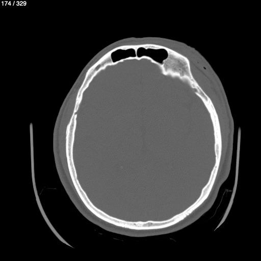
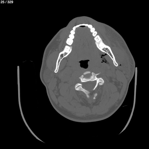
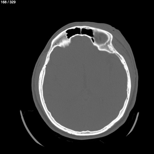
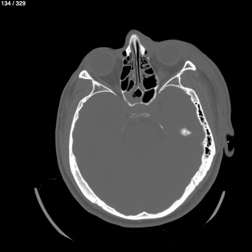
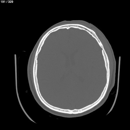
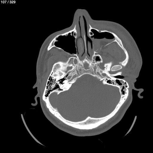
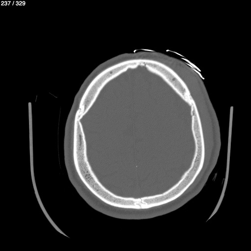
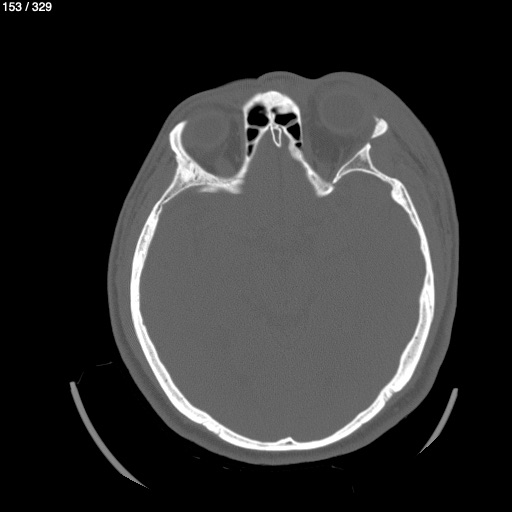
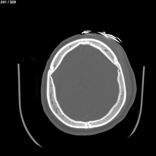
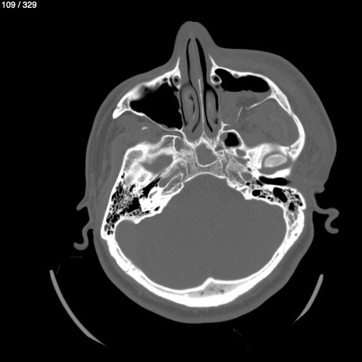
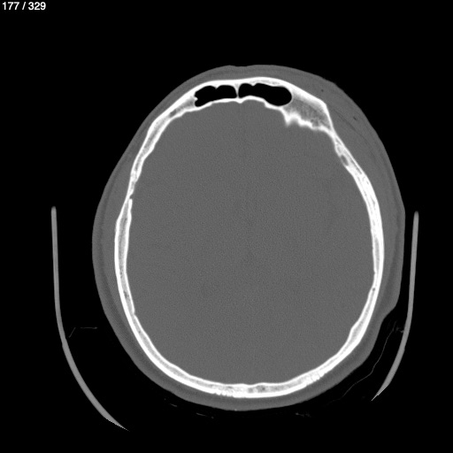
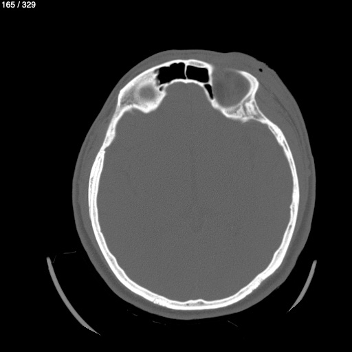
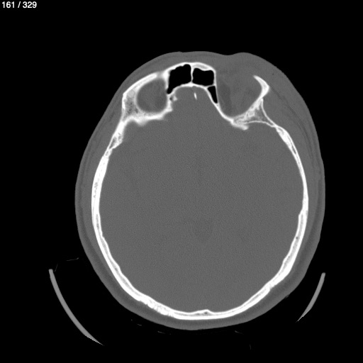
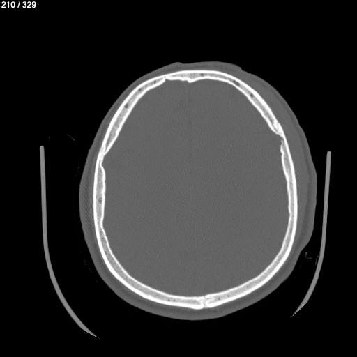
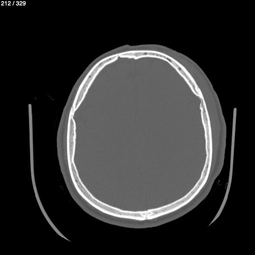
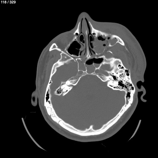
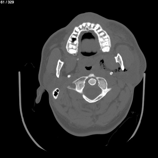
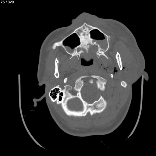
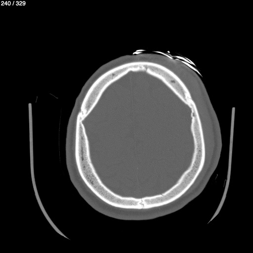
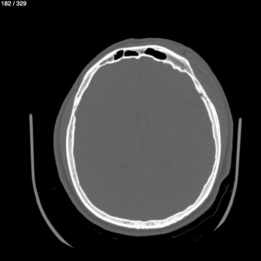
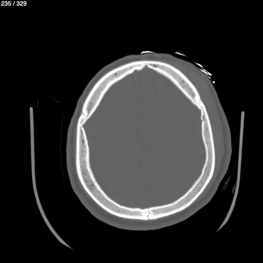
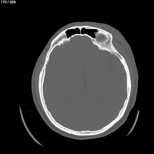
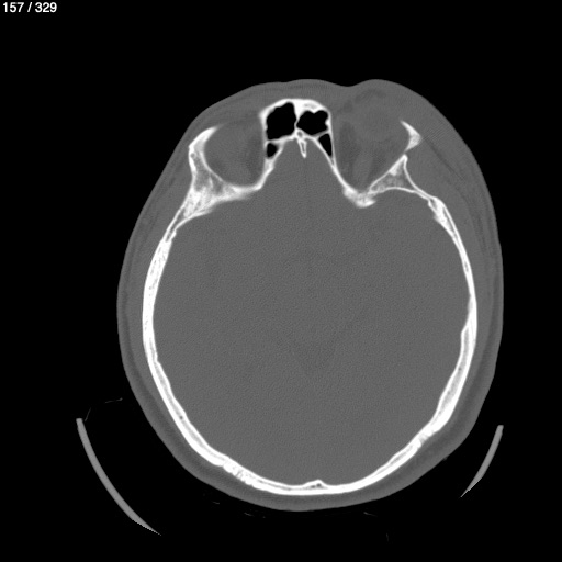
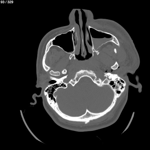
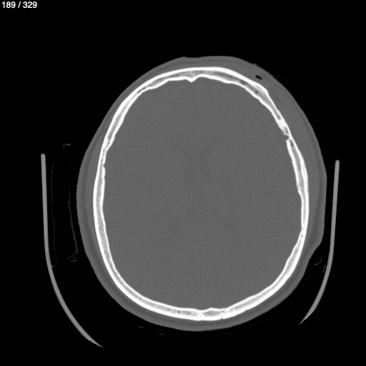
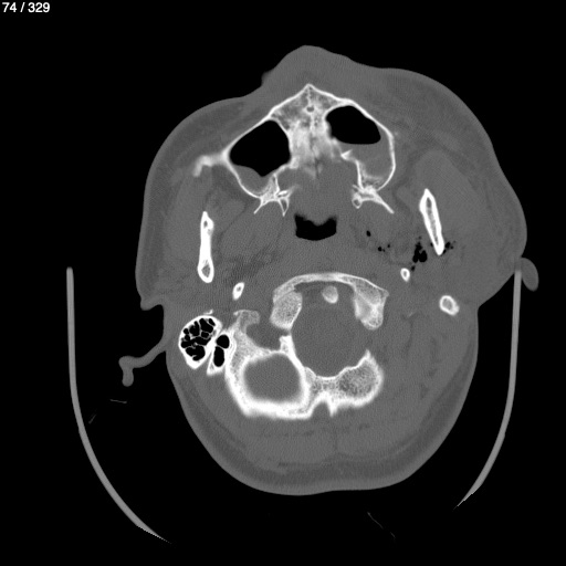
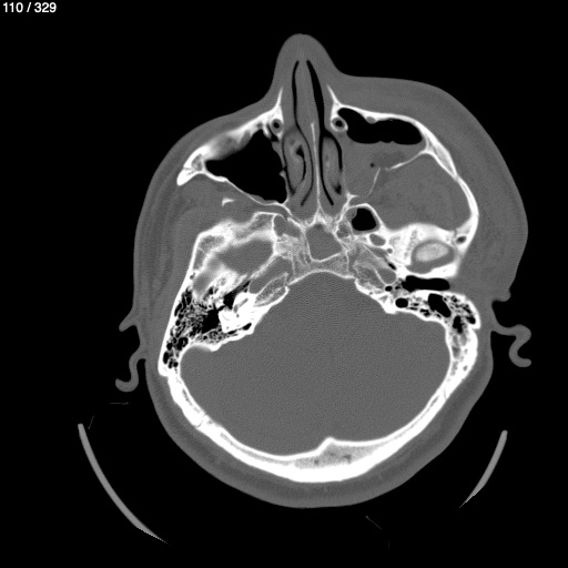
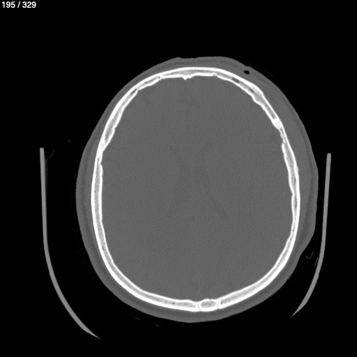
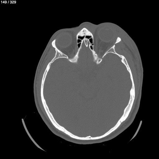
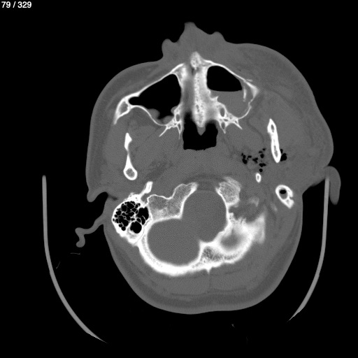
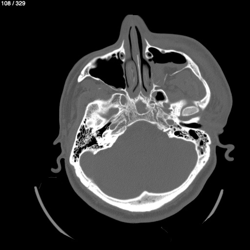
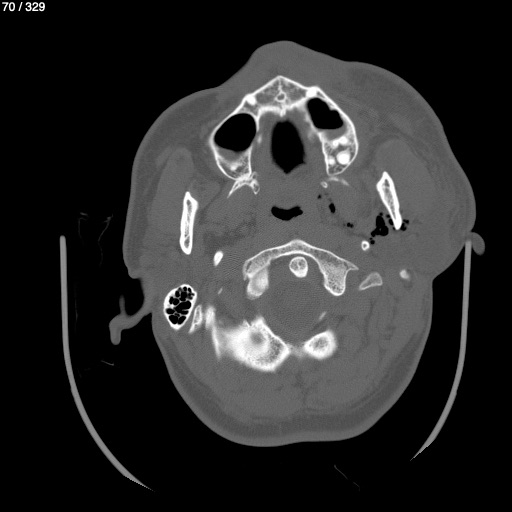
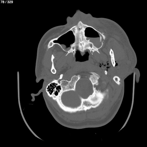
Alexis Coronel Cruz 31 - Tc De Craneo Simple
Previous Series
Show as Sequence