ESPECIALIDADES
ESCUINTLA
AKISHINO
AKISHINO2 USG
HUIXTLA
Home
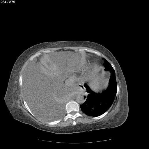
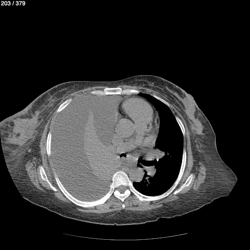
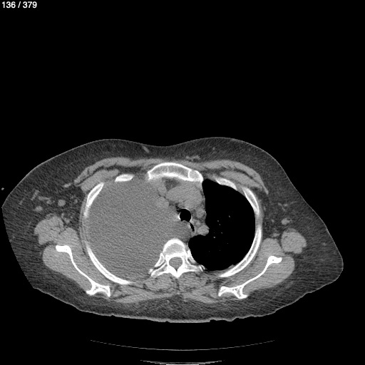
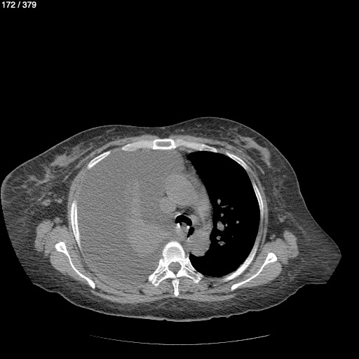
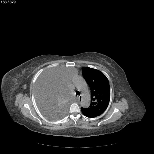
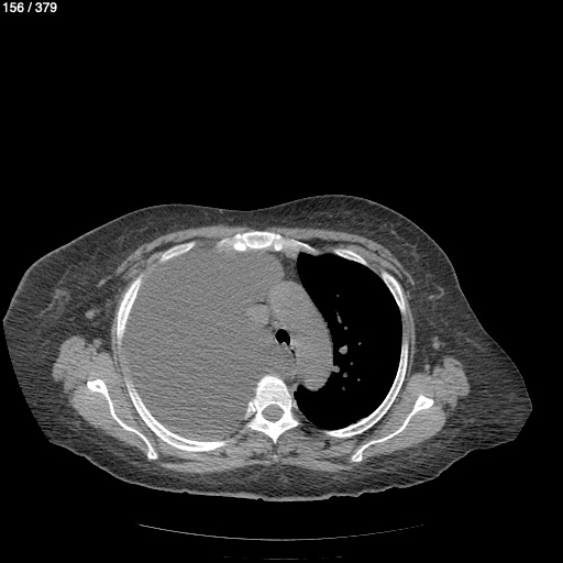
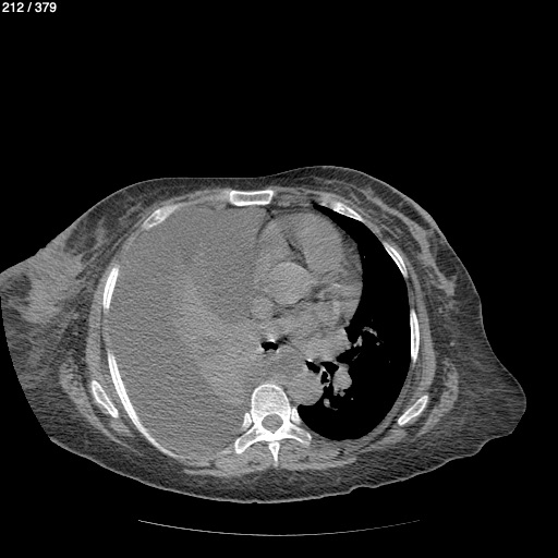
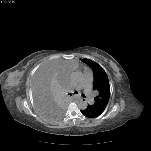
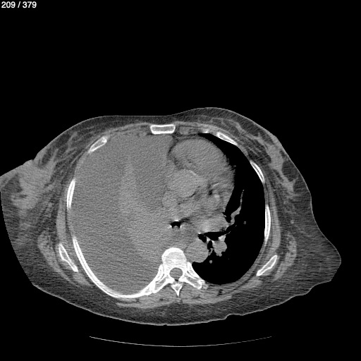
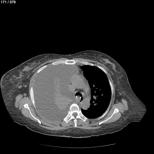
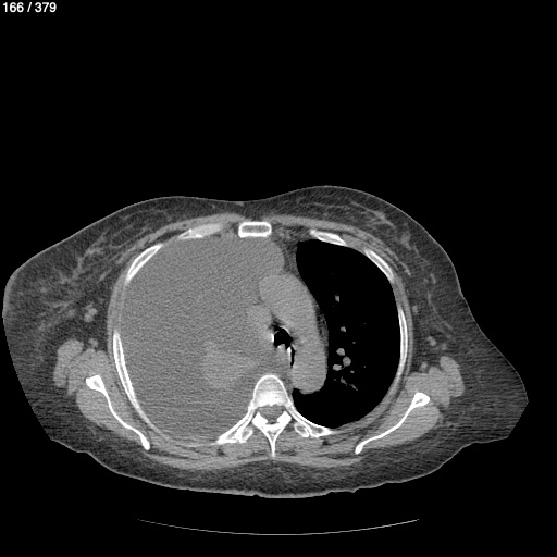
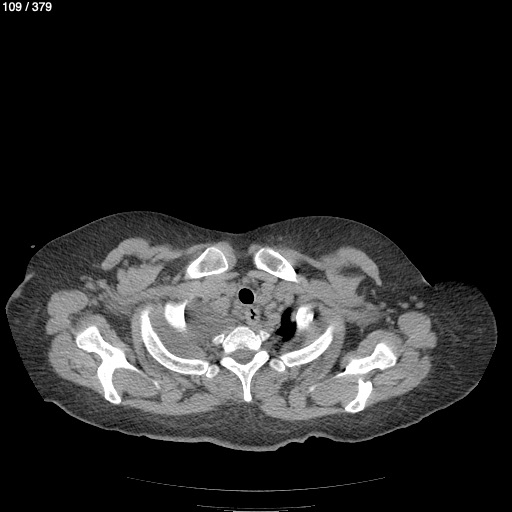
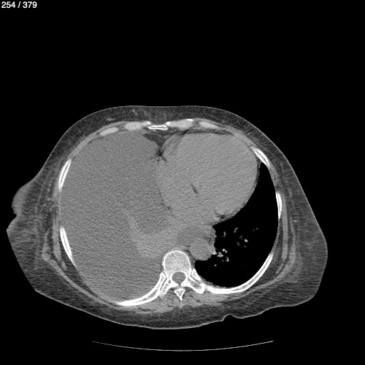
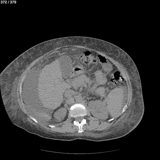
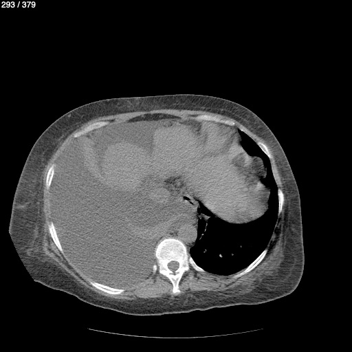
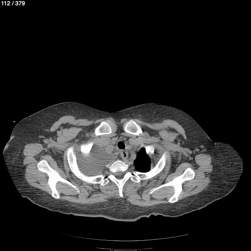
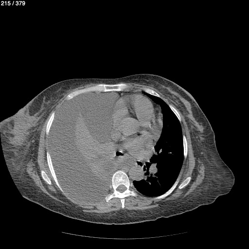
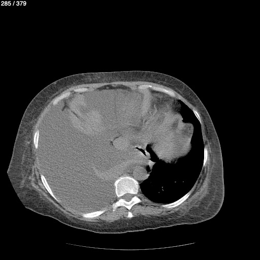
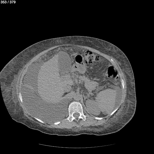
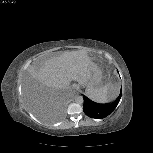
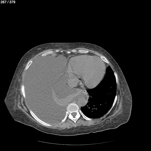
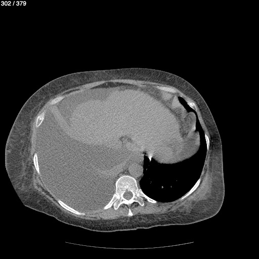
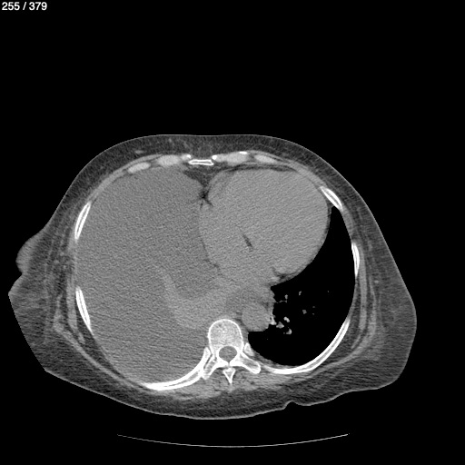
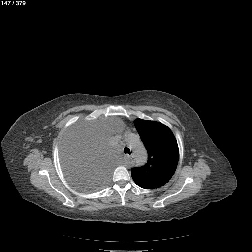
Idalia Verdugo Lopez 52A - Unnamed
Previous Series
Show as Sequence