ESPECIALIDADES
ESCUINTLA
AKISHINO
AKISHINO2 USG
HUIXTLA
Home
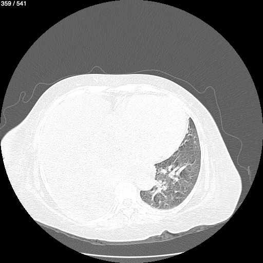
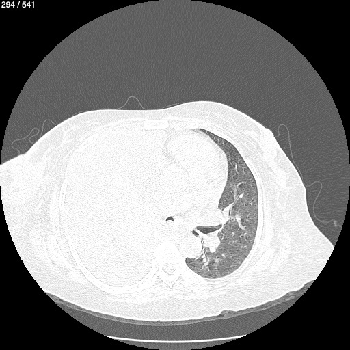
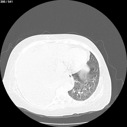
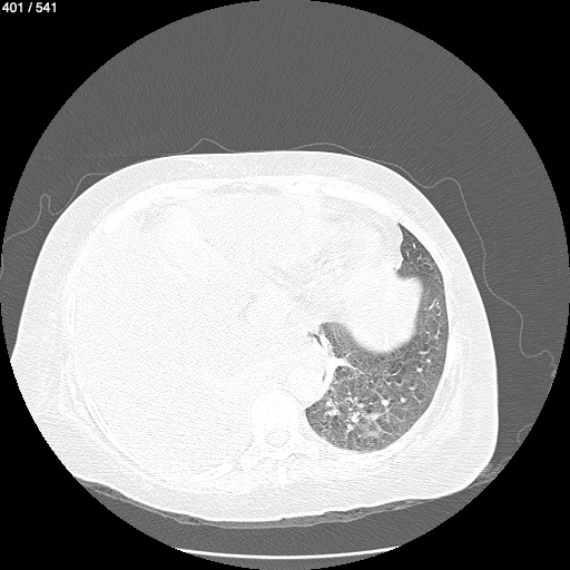
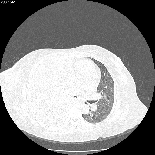
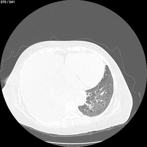
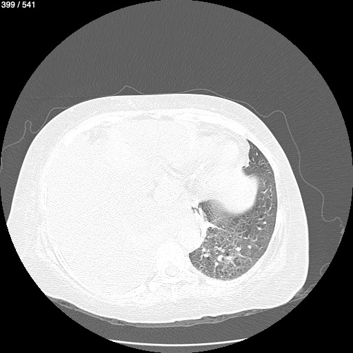
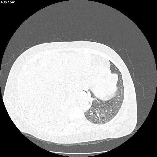
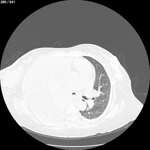
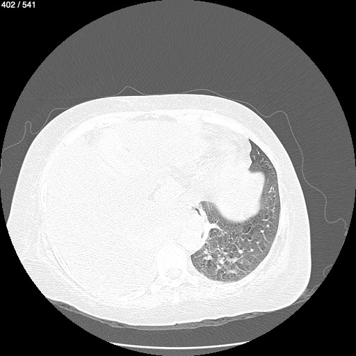
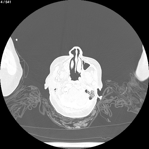
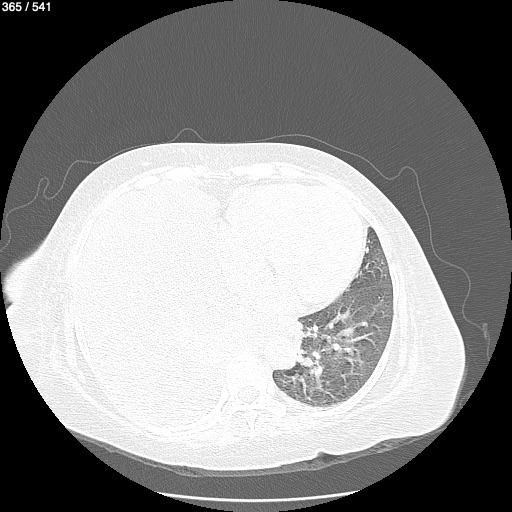
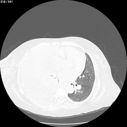
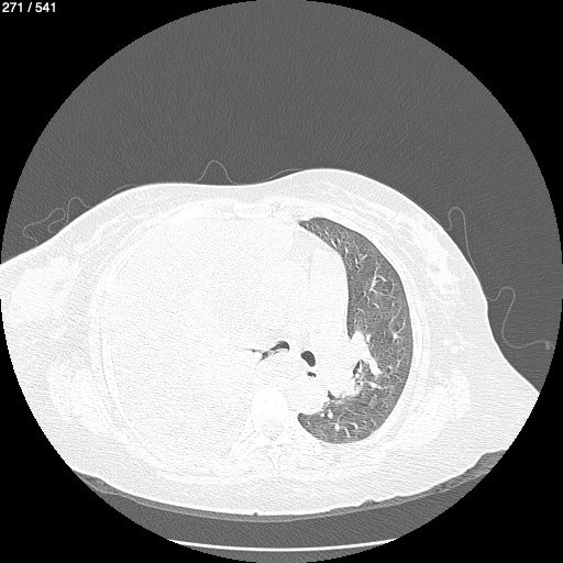
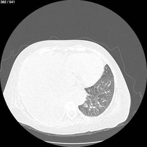
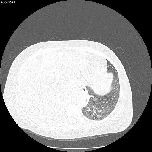
Idalia Verdugo Lopez 52A - Unnamed
Next Series
Show as Sequence