ESPECIALIDADES
ESCUINTLA
AKISHINO
AKISHINO2 USG
HUIXTLA
Home
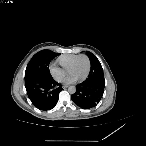
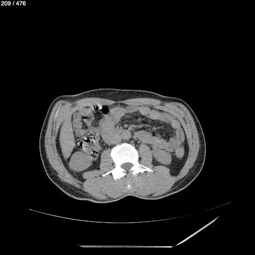
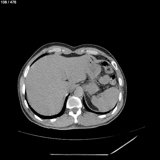
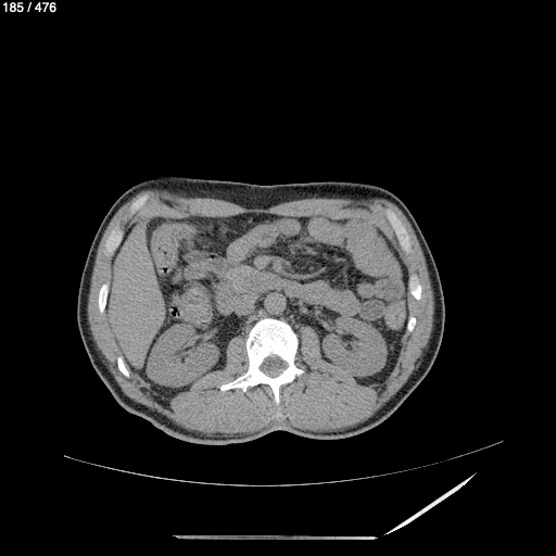
Joel Verdugo Rodriguez 60A - Unnamed
Next Series
Show as Sequence