ESPECIALIDADES
ESCUINTLA
AKISHINO
AKISHINO2 USG
HUIXTLA
Home
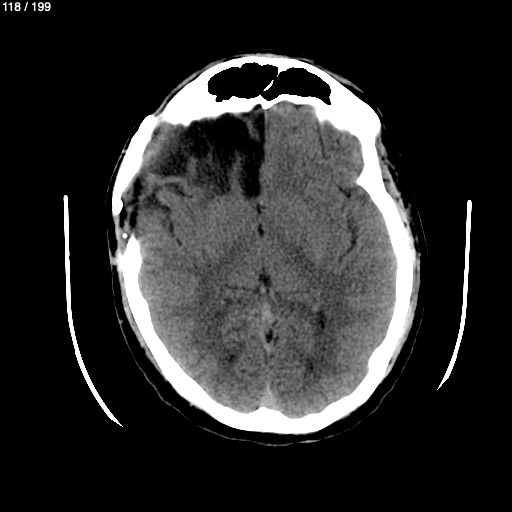
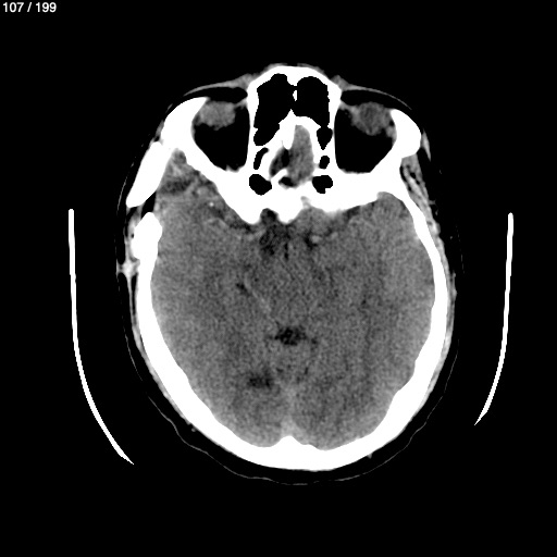
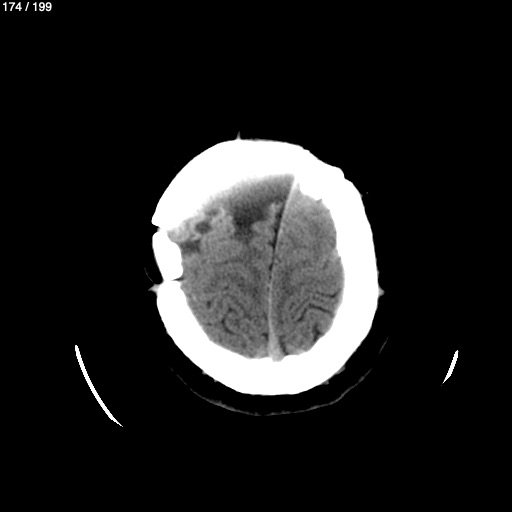
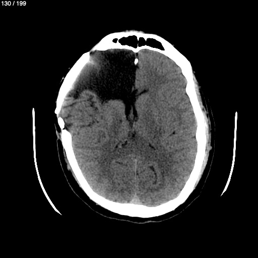
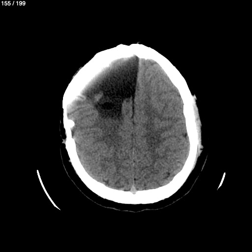
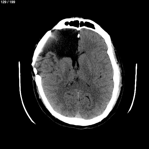
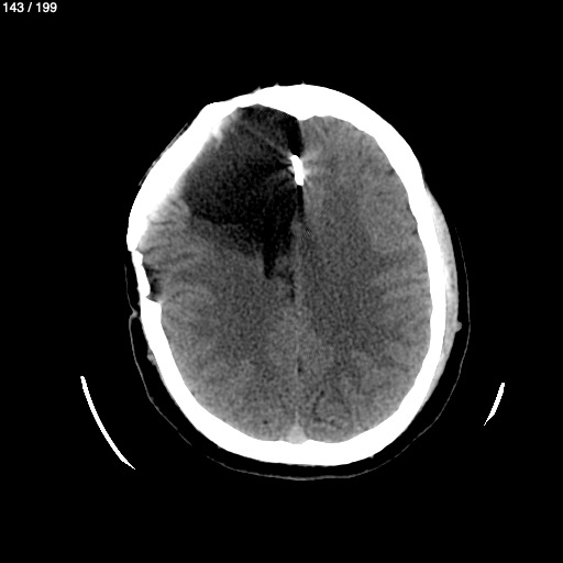
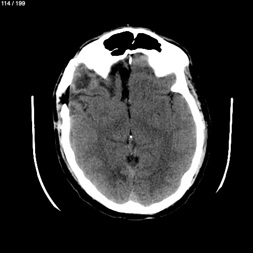
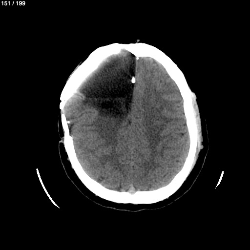
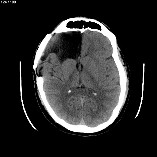
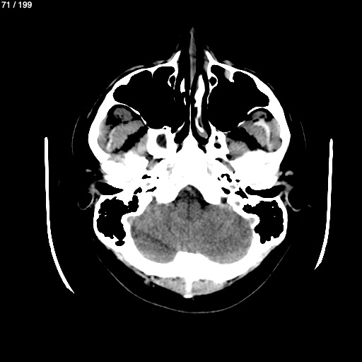
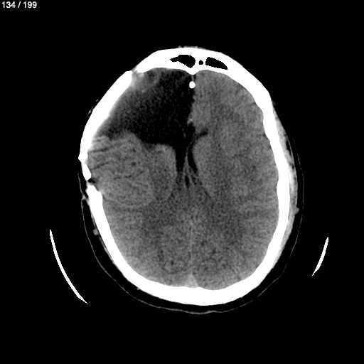
Cristian Andres Gordillo 24A - Unnamed
Next Series
Show as Sequence