ESPECIALIDADES
ESCUINTLA
AKISHINO
AKISHINO2 USG
HUIXTLA
Home
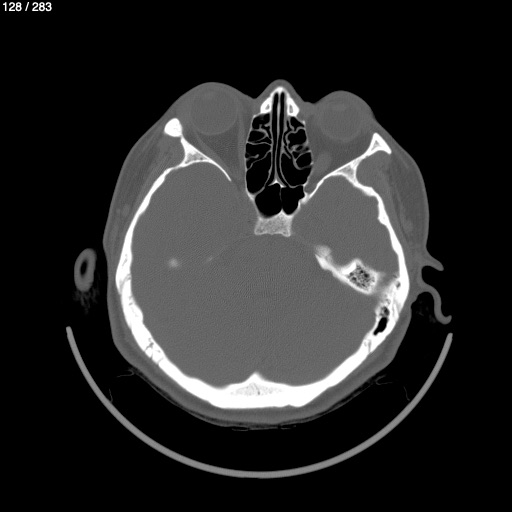
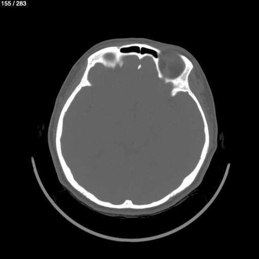
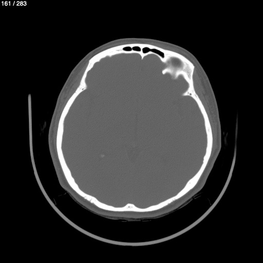
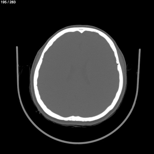
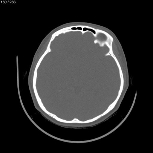
Isabel Galindo Orantes 37A - Unnamed
Previous Series
Next Series
Show as Sequence