ESPECIALIDADES
ESCUINTLA
AKISHINO
AKISHINO2 USG
HUIXTLA
Home
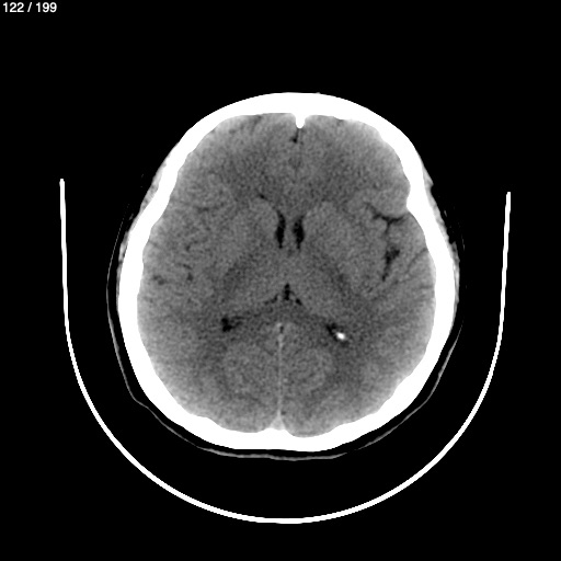
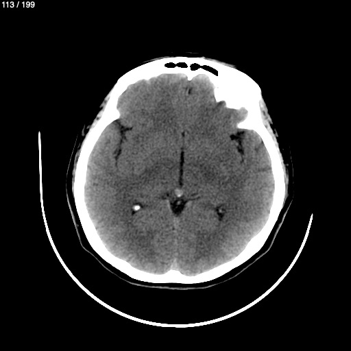
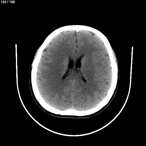
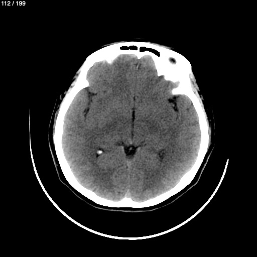
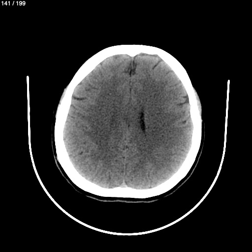
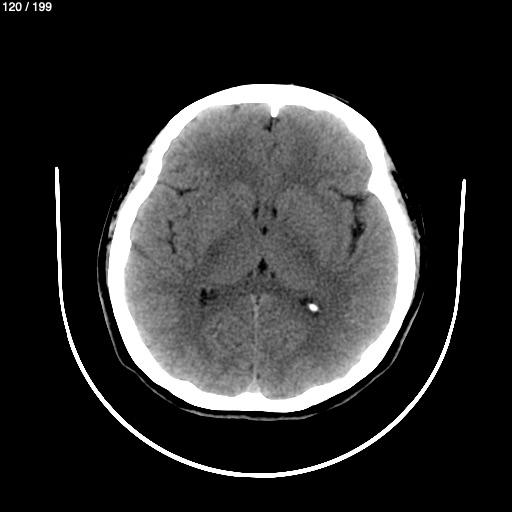
Isabel Galindo Orantes 37A - Unnamed
Next Series
Show as Sequence