ESPECIALIDADES
ESCUINTLA
AKISHINO
AKISHINO2 USG
HUIXTLA
Home
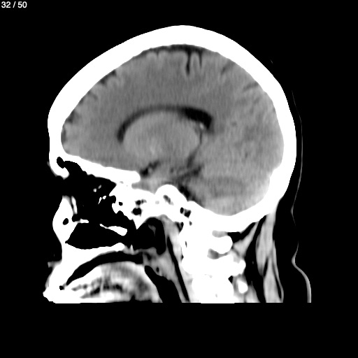
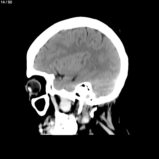
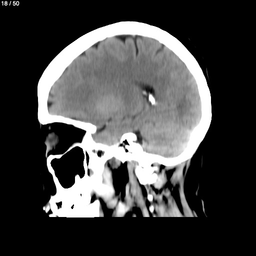
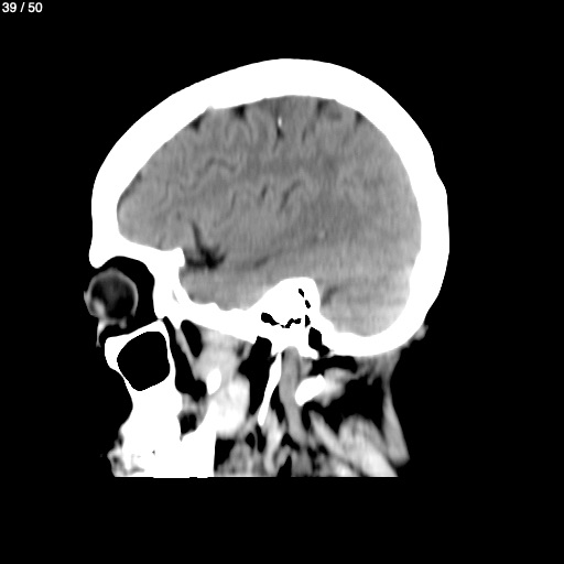
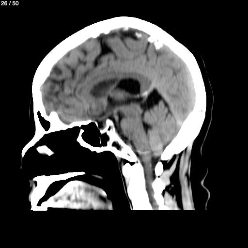
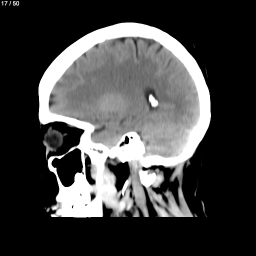
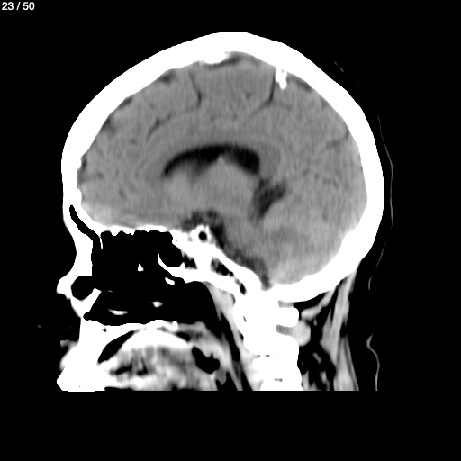
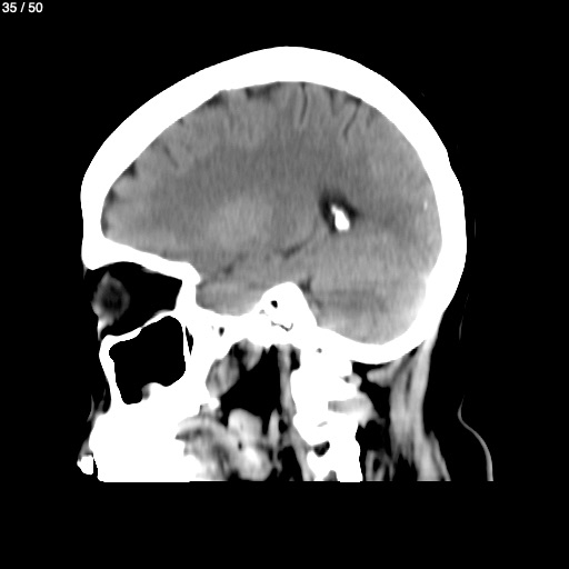
Uselia Hernandez Mauricio 59A - Unnamed
Previous Series
Show as Sequence