ESPECIALIDADES
ESCUINTLA
AKISHINO
AKISHINO2 USG
HUIXTLA
Home
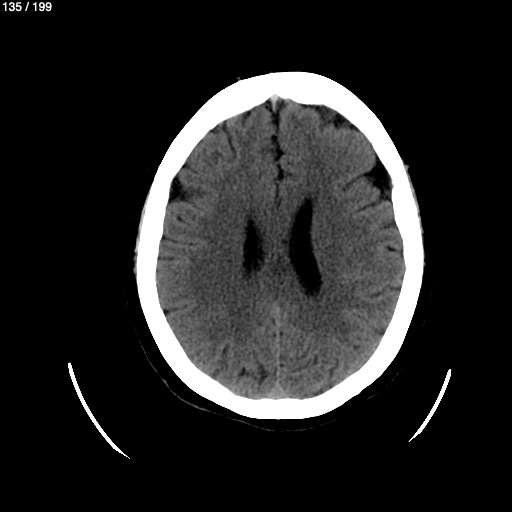
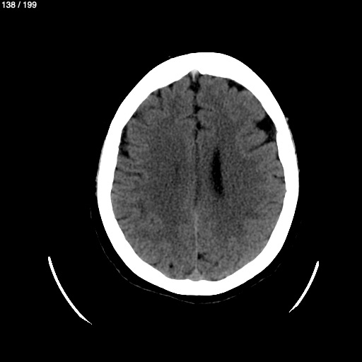
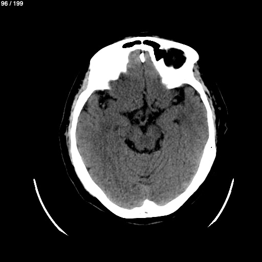
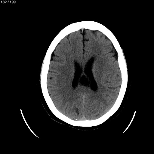
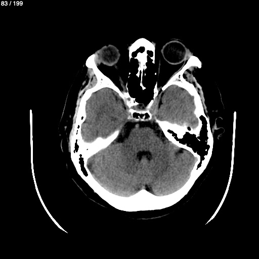
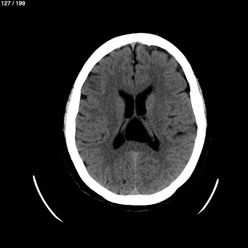
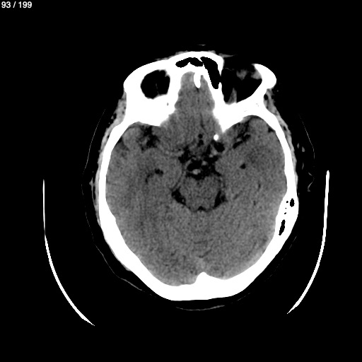
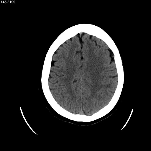
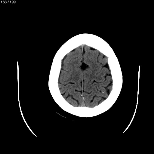
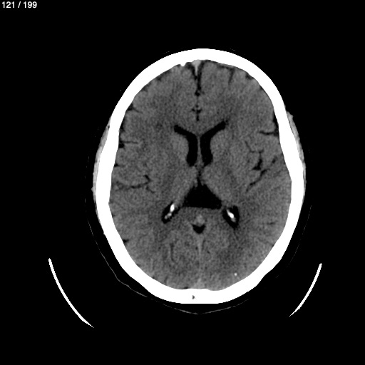
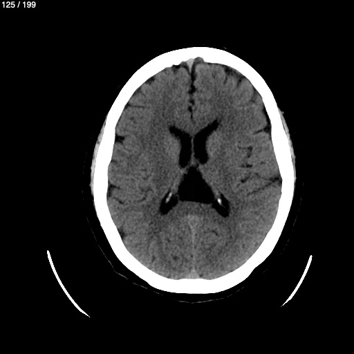
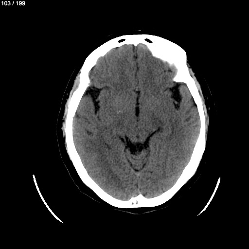
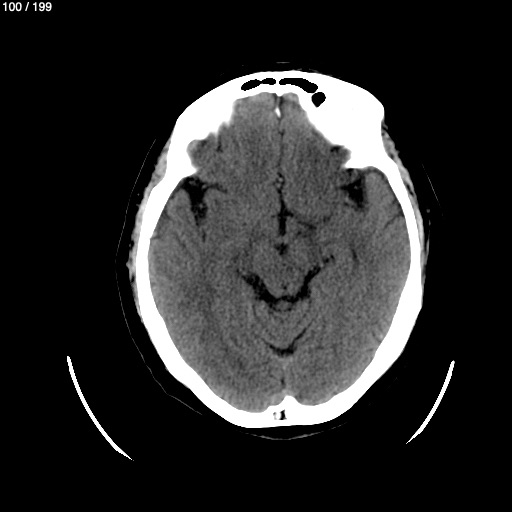
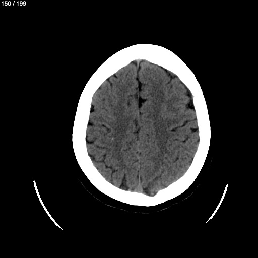
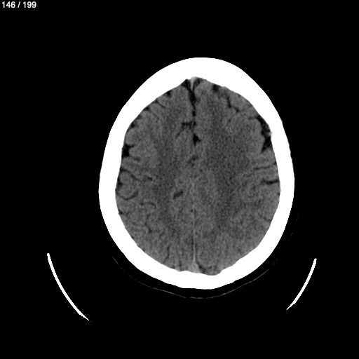
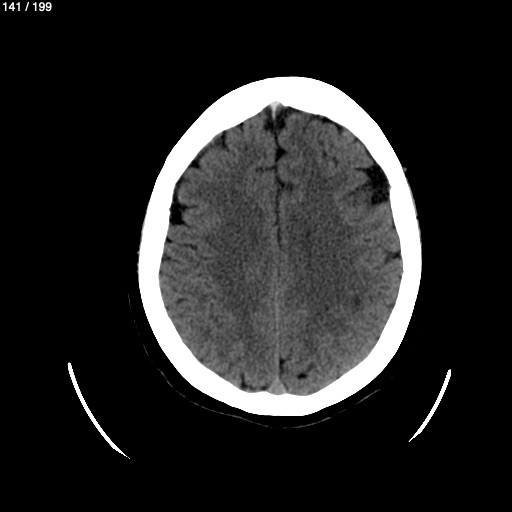
Uselia Hernandez Mauricio 59A - Unnamed
Next Series
Show as Sequence