ESPECIALIDADES
ESCUINTLA
AKISHINO
AKISHINO2 USG
HUIXTLA
Home
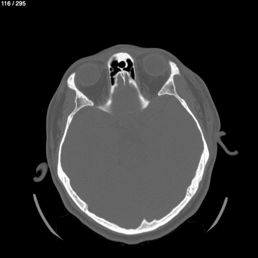
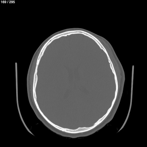
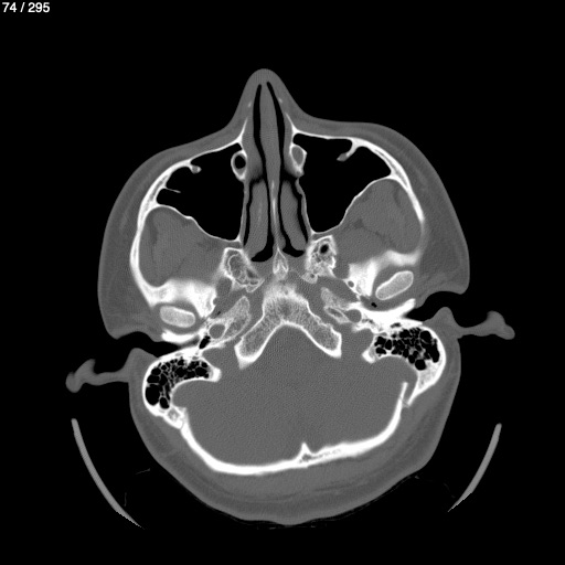
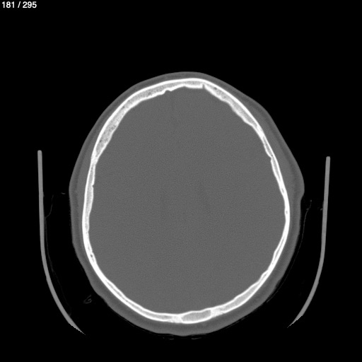
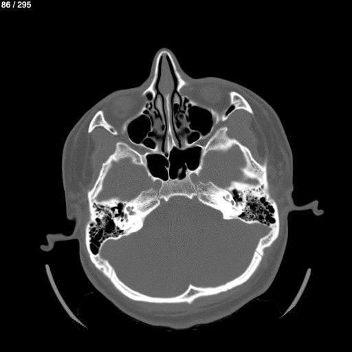
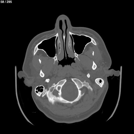
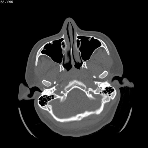
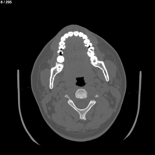
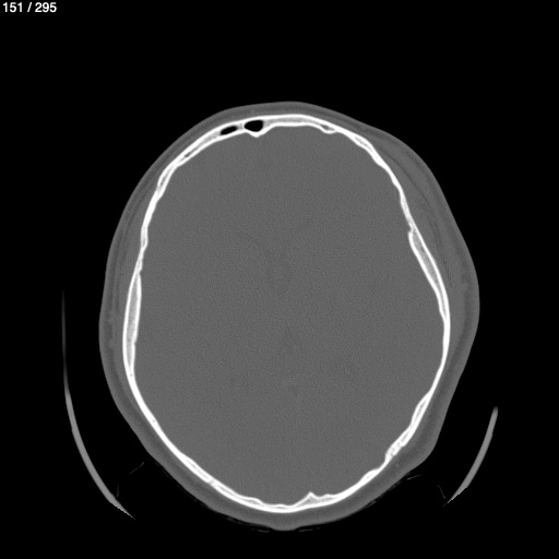
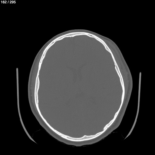
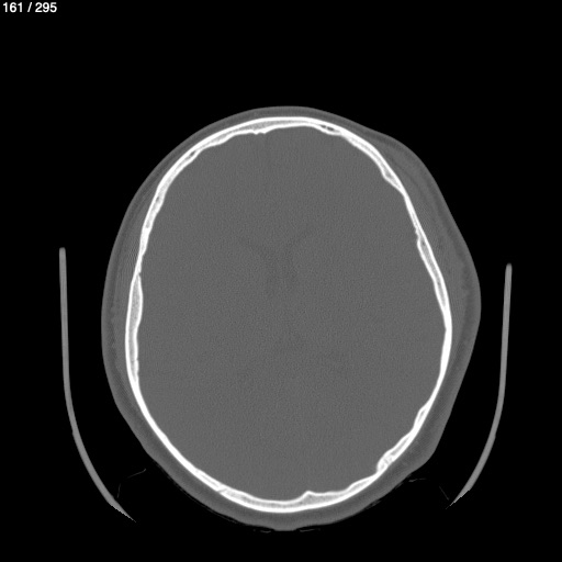
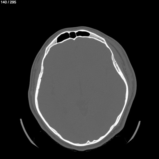
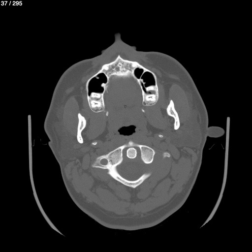
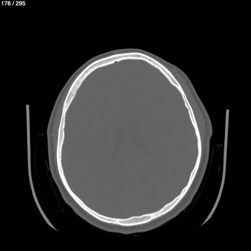
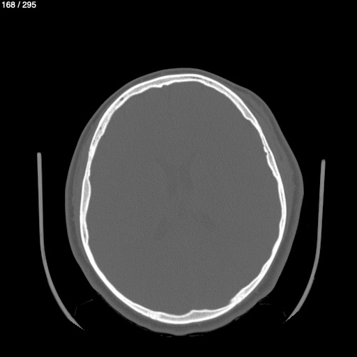
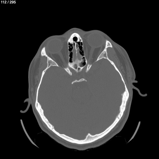
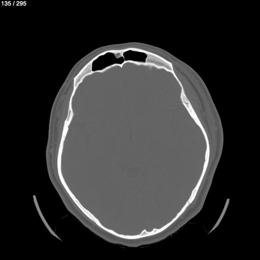
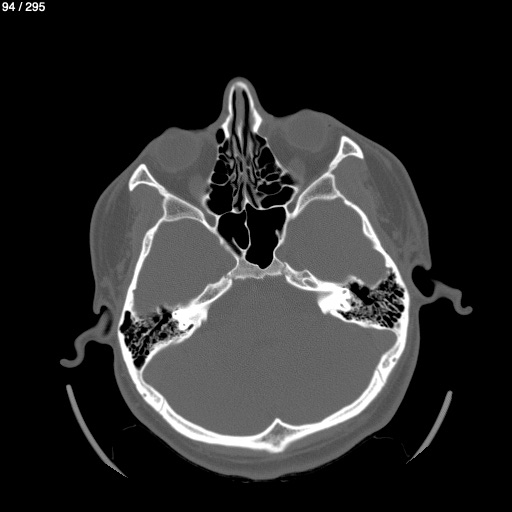
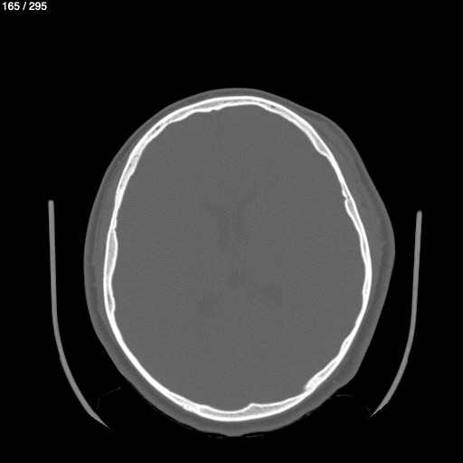
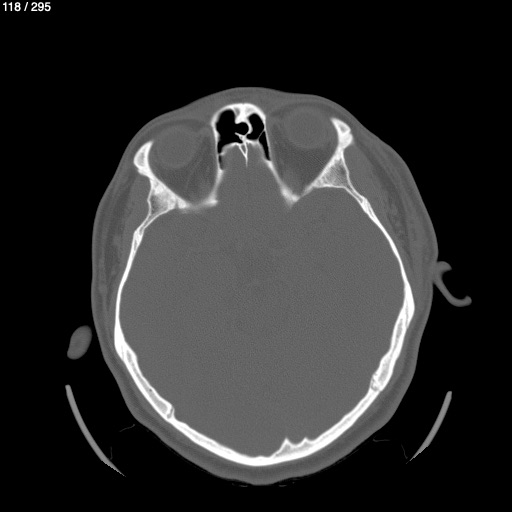
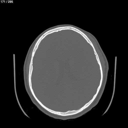
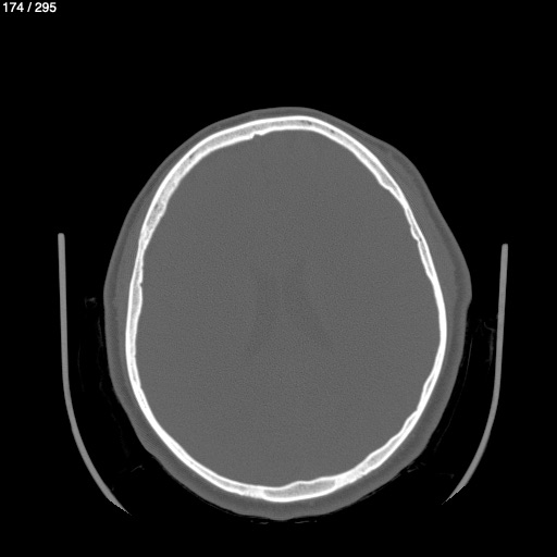
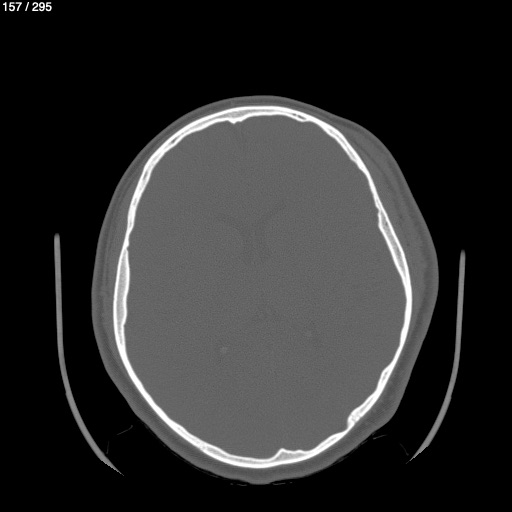
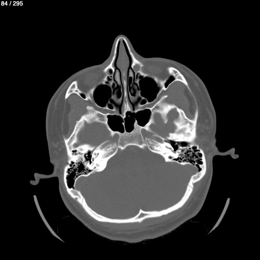
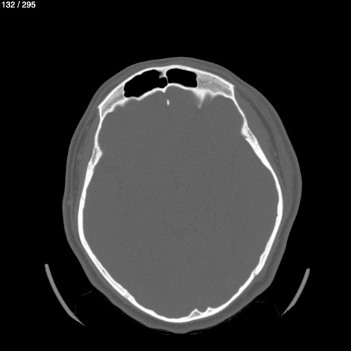
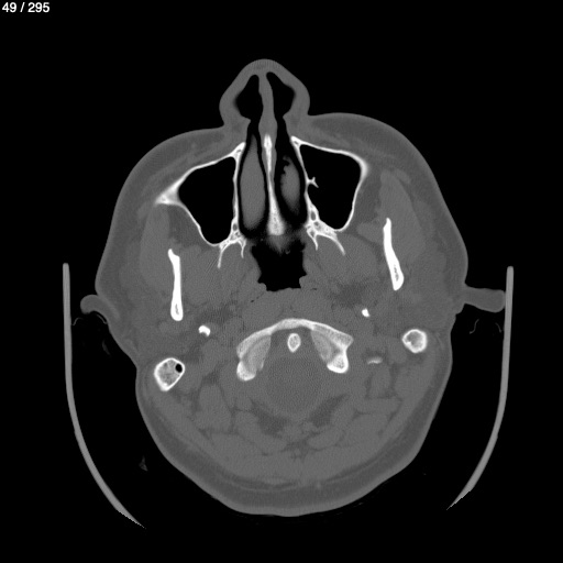
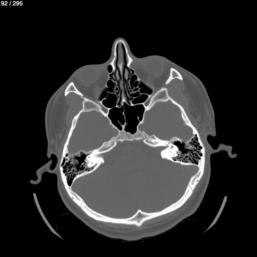
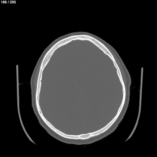
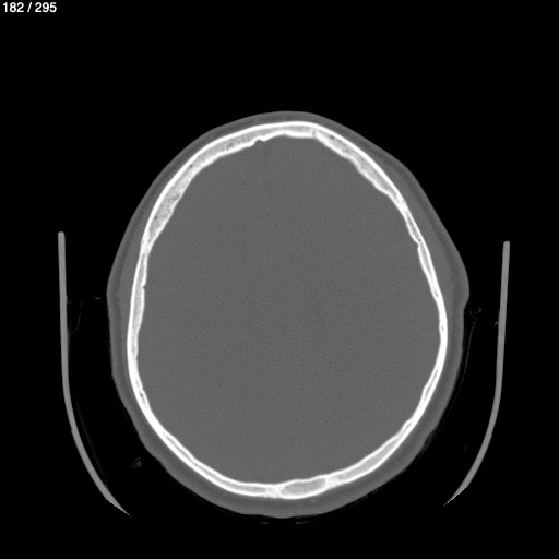
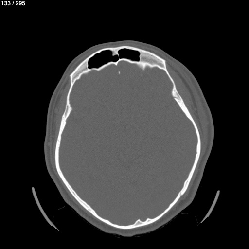
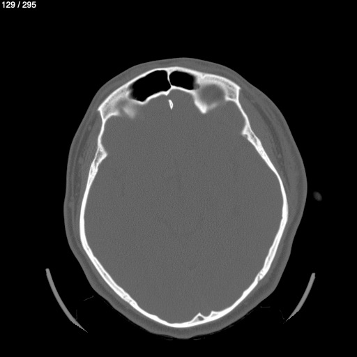
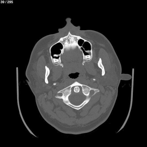
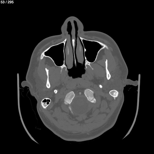
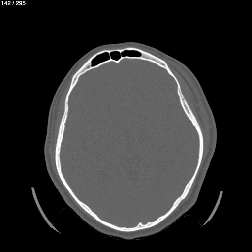
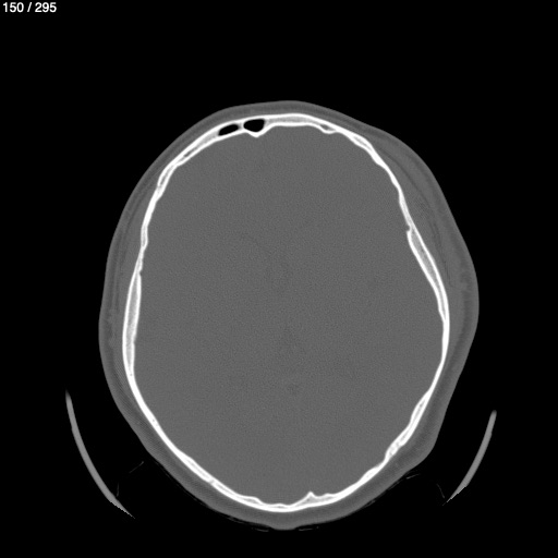
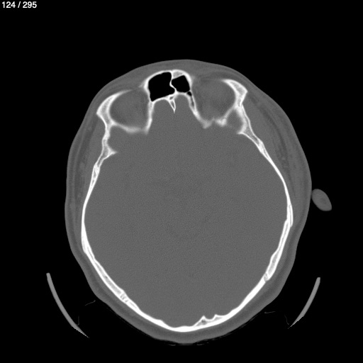
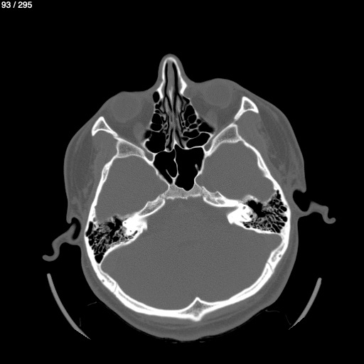
Valentin Lopez Vera 18 - Tc De Craneo Simple
Previous Series
Show as Sequence