ESPECIALIDADES
ESCUINTLA
AKISHINO
AKISHINO2 USG
HUIXTLA
Home
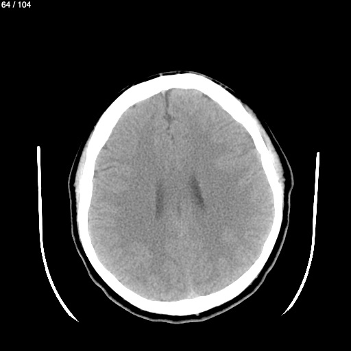
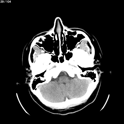
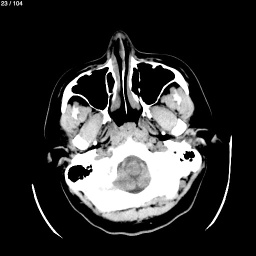
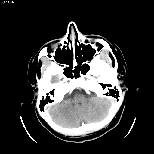
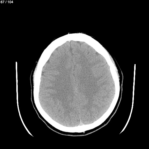
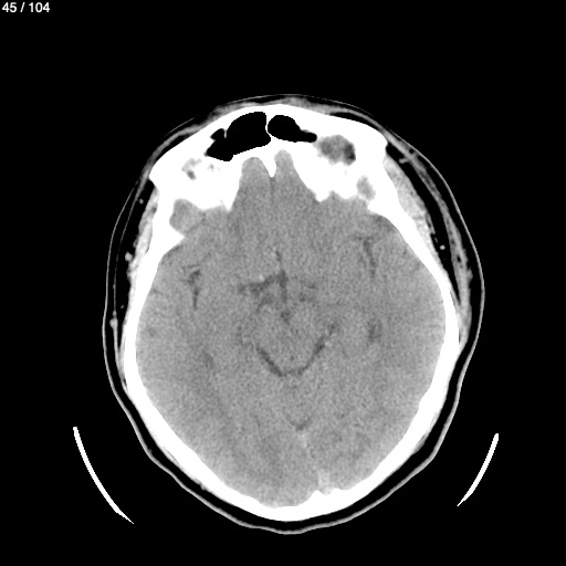
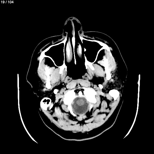
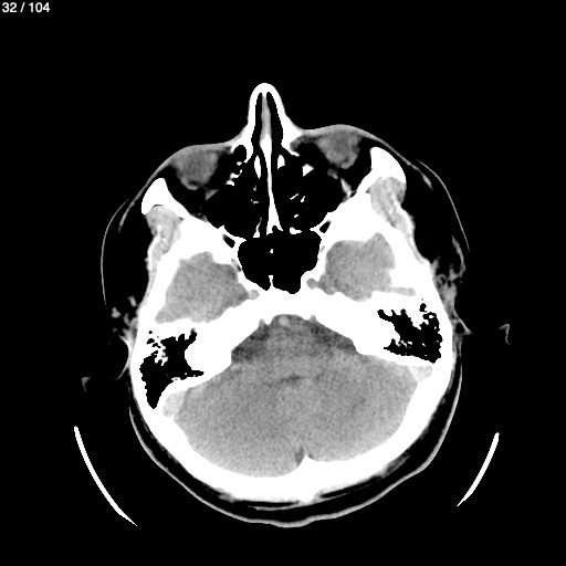
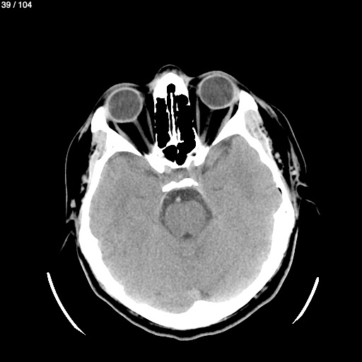
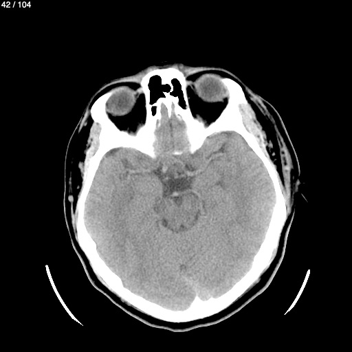
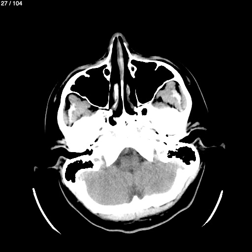
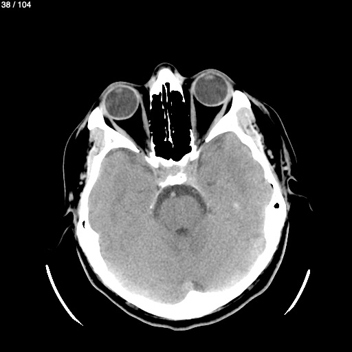
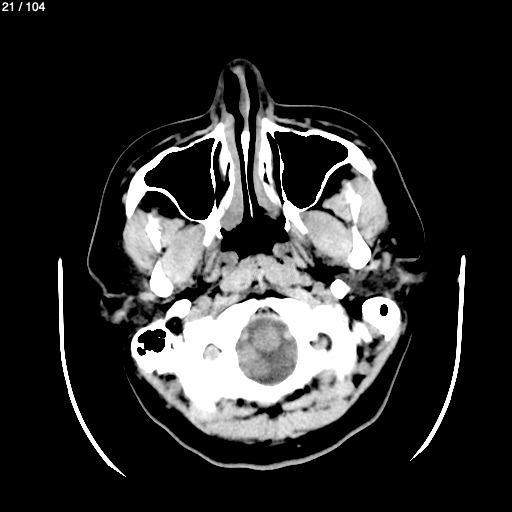
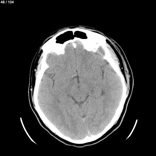
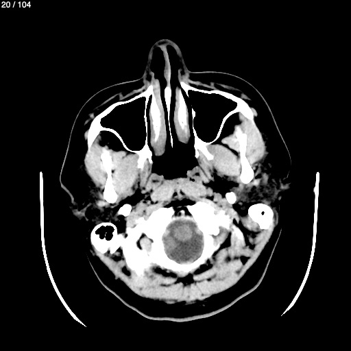
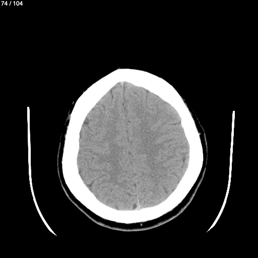
Valentin Lopez Vera 18 - Tc De Craneo Simple
Next Series
Show as Sequence