ESPECIALIDADES
ESCUINTLA
AKISHINO
AKISHINO2 USG
HUIXTLA
Home
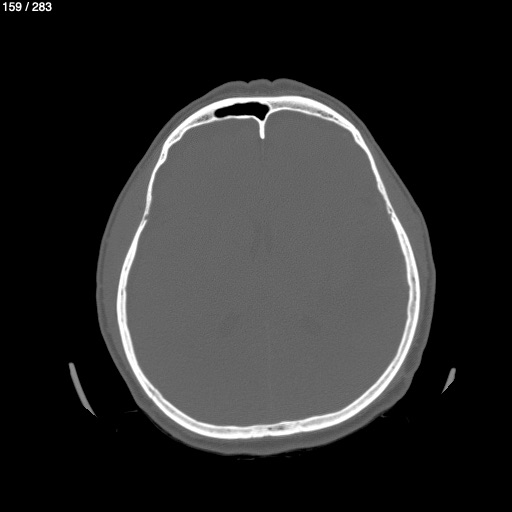
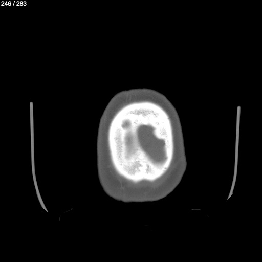
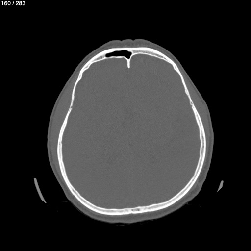
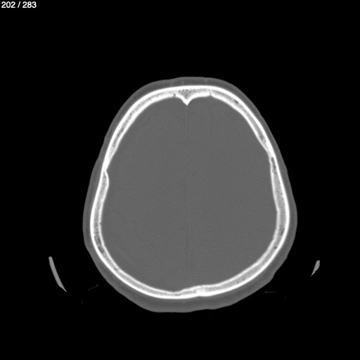
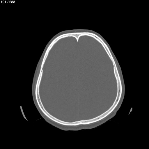
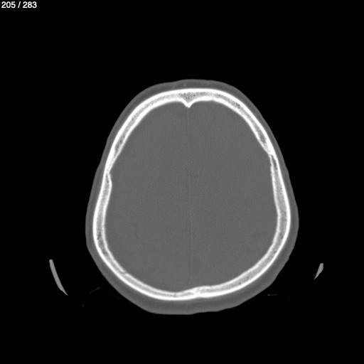
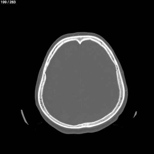
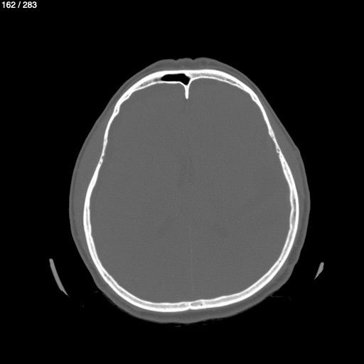
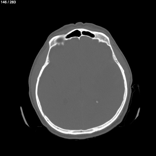
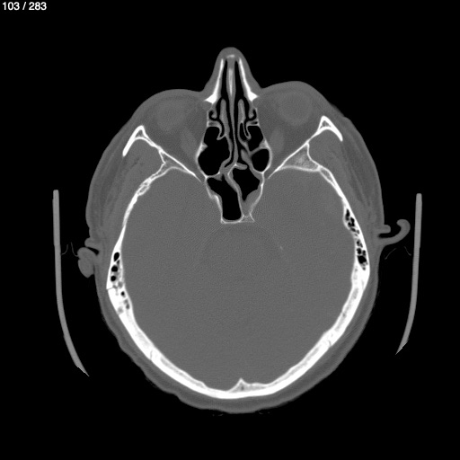
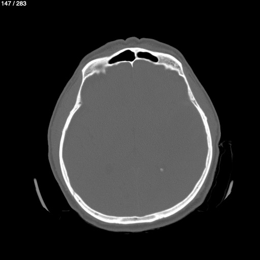
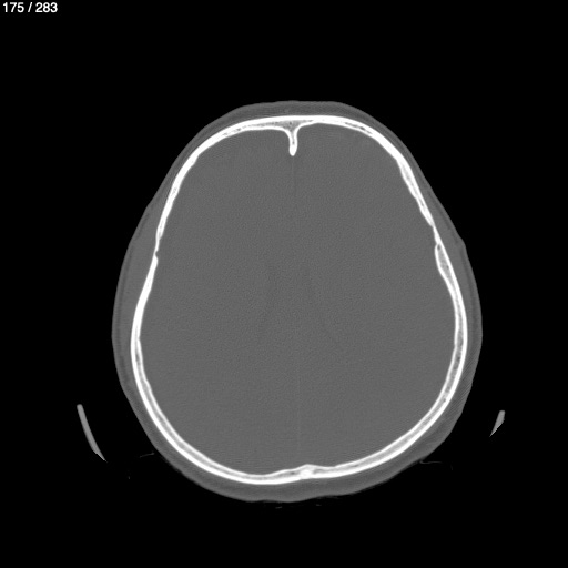
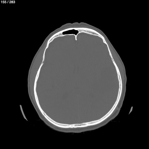
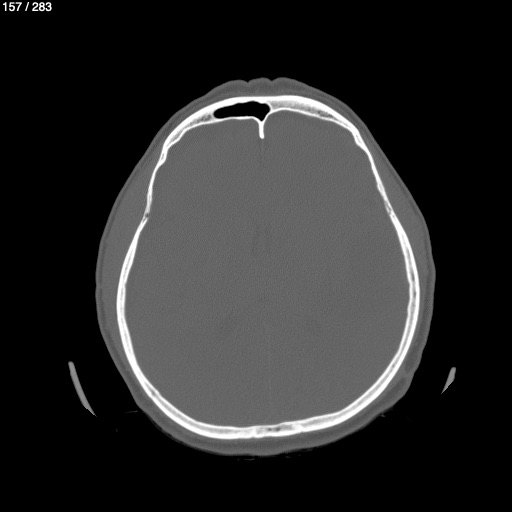
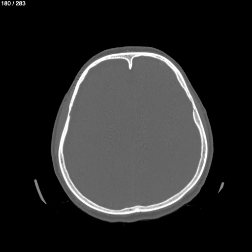
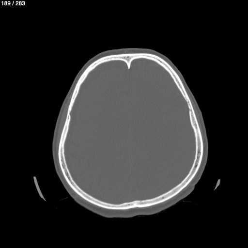
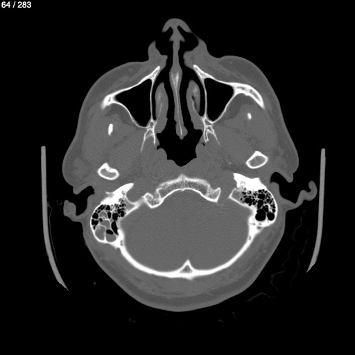
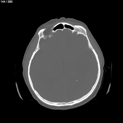
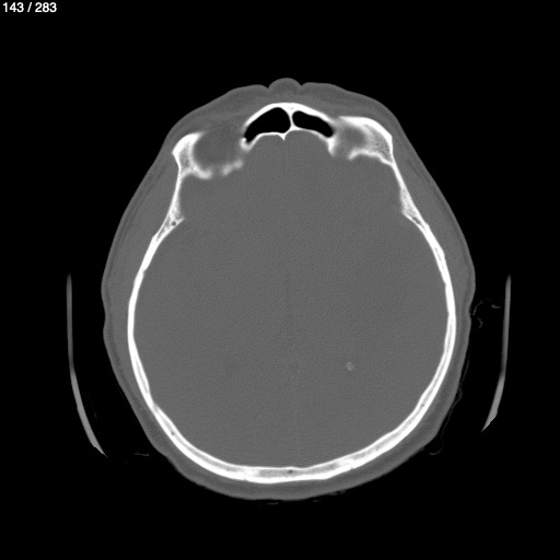
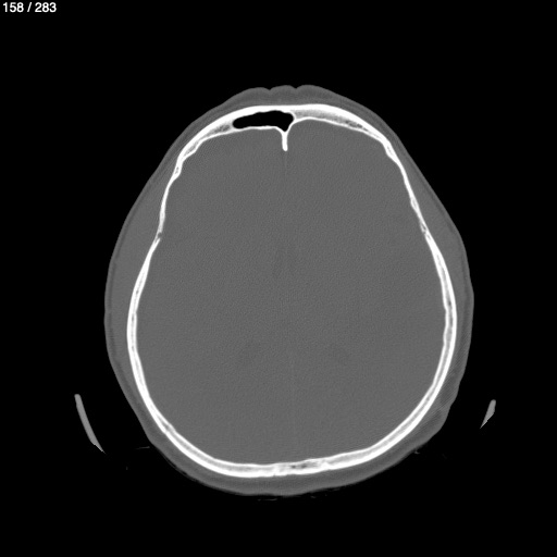
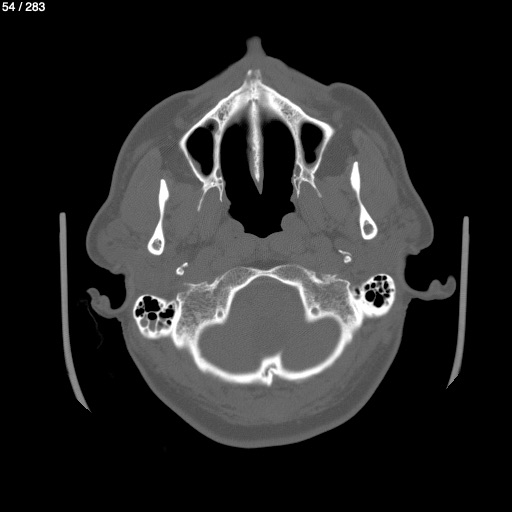
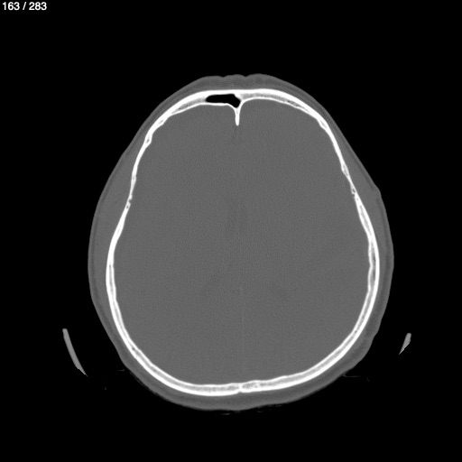
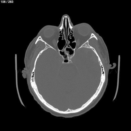
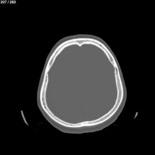
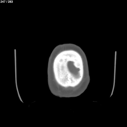
Isauro Salas Lopez 52 - Tc De Craneo Simple
Previous Series
Show as Sequence