ESPECIALIDADES
ESCUINTLA
AKISHINO
AKISHINO2 USG
HUIXTLA
Home
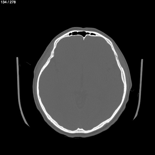
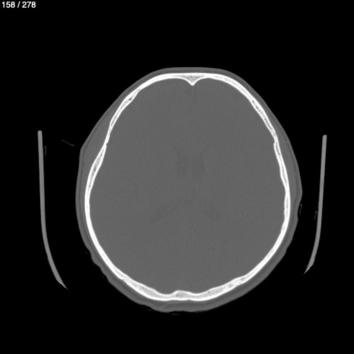
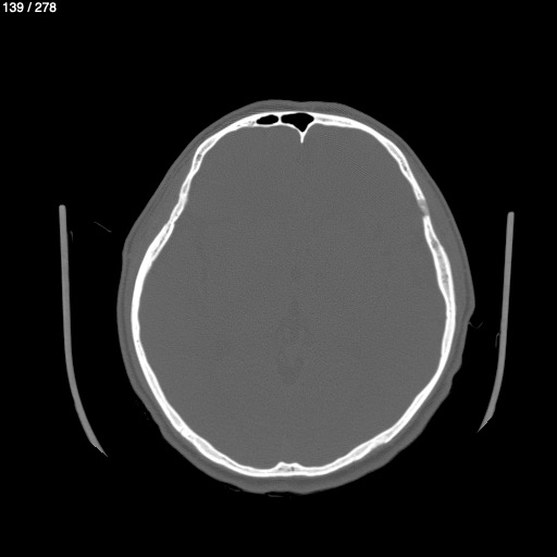
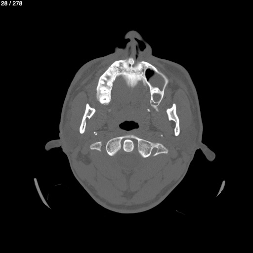
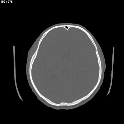
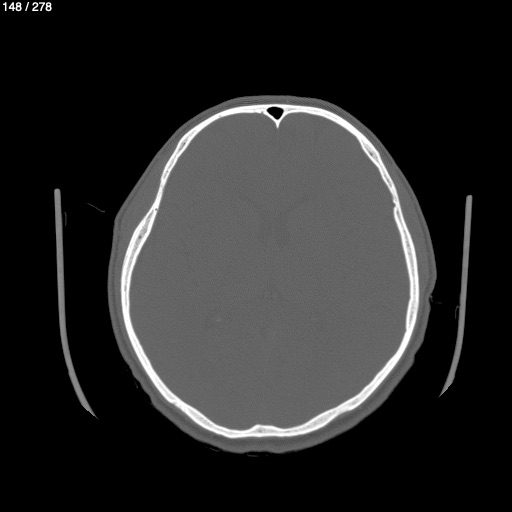
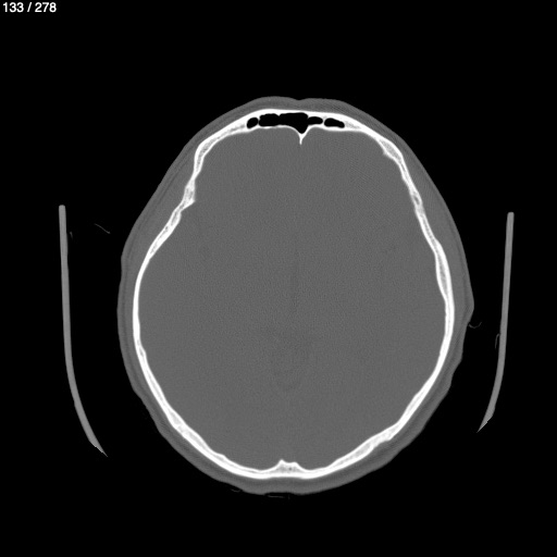
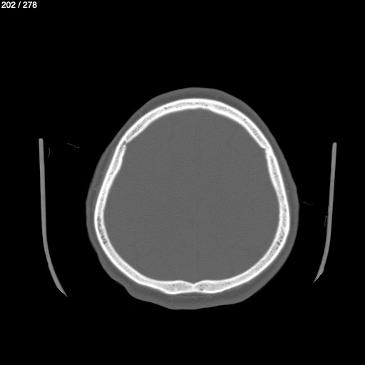
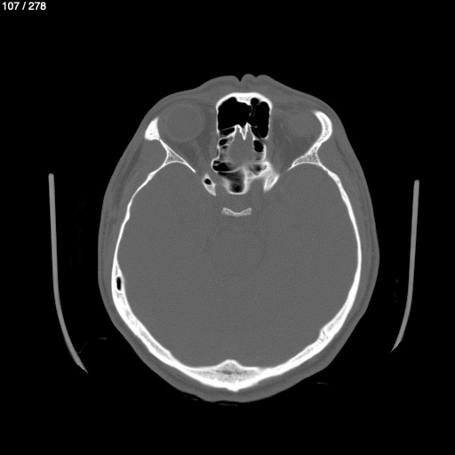
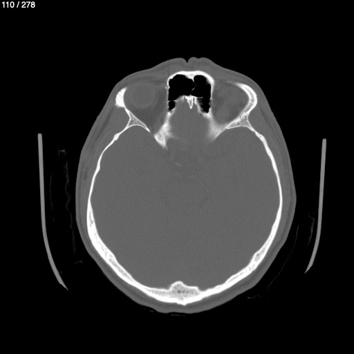
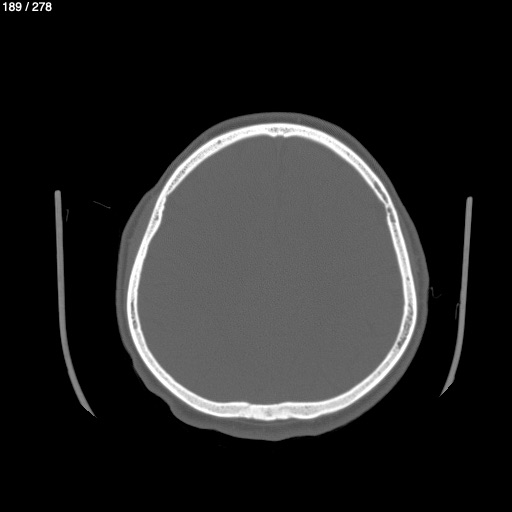
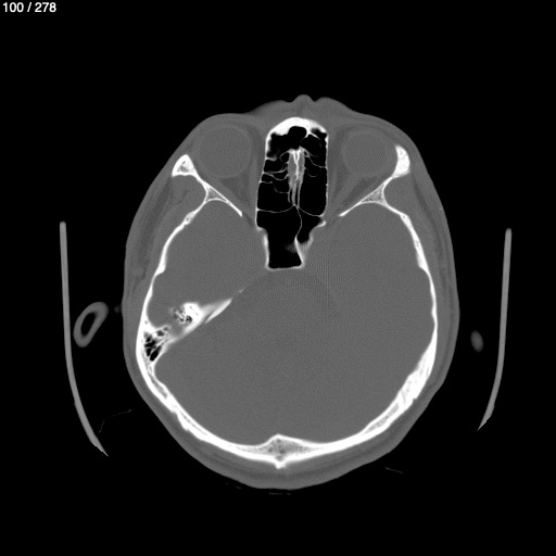
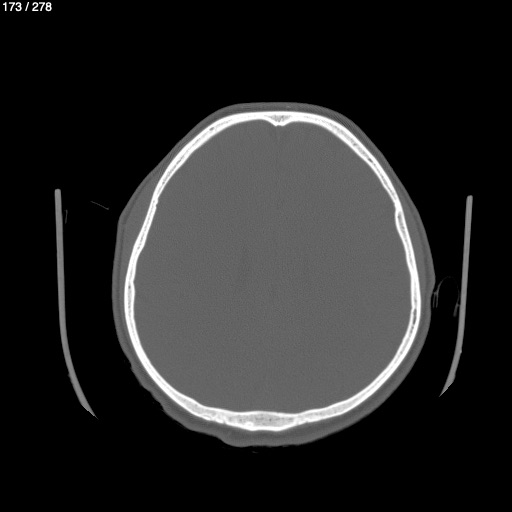
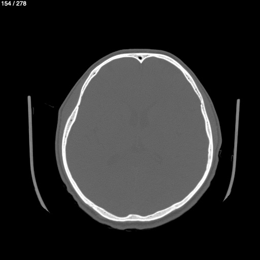
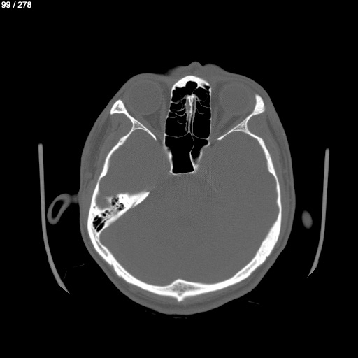
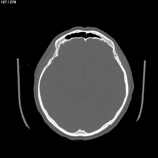
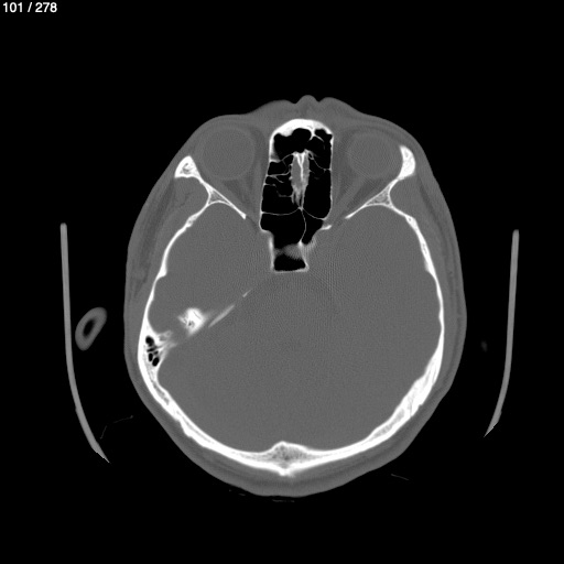
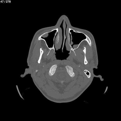
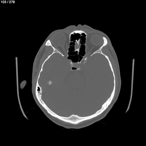
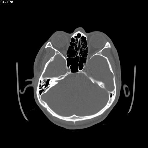
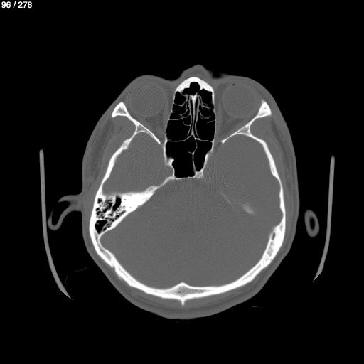
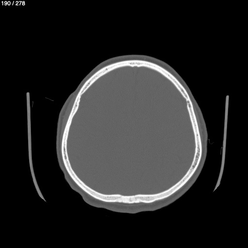
Alejandro Roldan Hernandez - Tc De Craneo Simple
Previous Series
Show as Sequence