ESPECIALIDADES
ESCUINTLA
AKISHINO
AKISHINO2 USG
HUIXTLA
Home
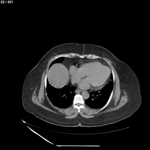
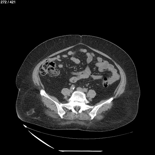
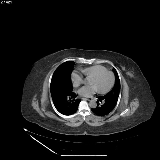
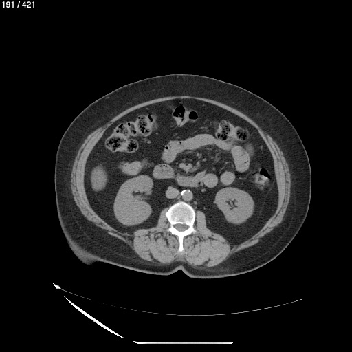
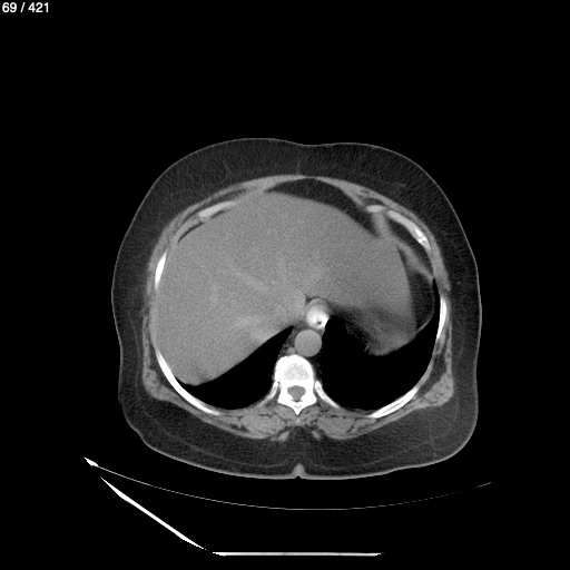
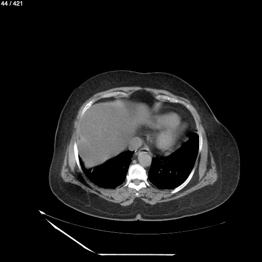
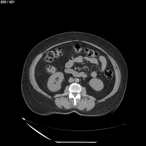
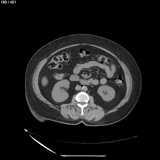
Consuelo Ordonez Gomez 59A - Unnamed
Previous Series
Next Series
Show as Sequence