ESPECIALIDADES
ESCUINTLA
AKISHINO
AKISHINO2 USG
HUIXTLA
Home
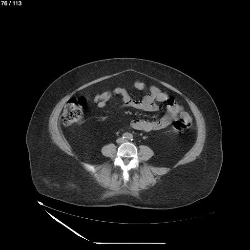
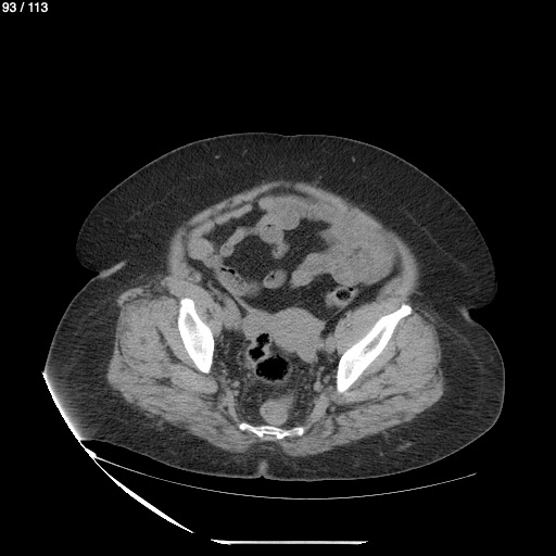
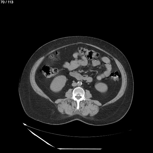
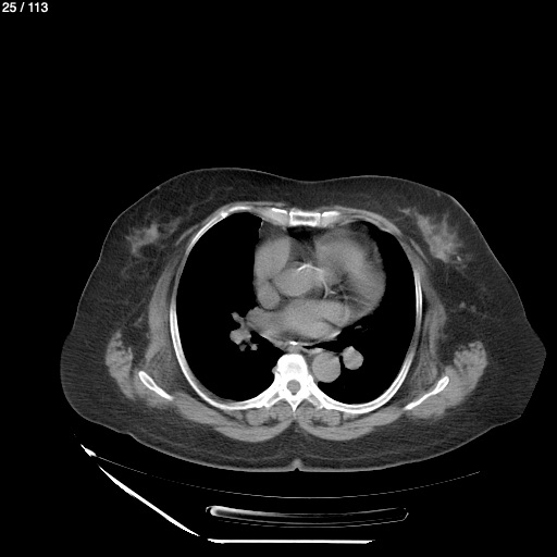
Consuelo Ordonez Gomez 59A - Unnamed
Next Series
Show as Sequence