ESPECIALIDADES
ESCUINTLA
AKISHINO
AKISHINO2 USG
HUIXTLA
Home
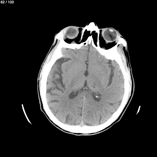
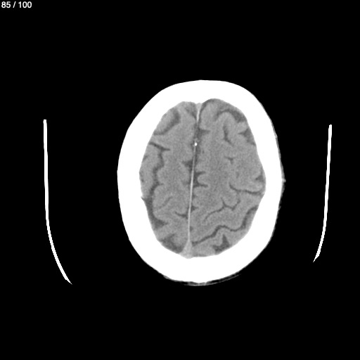
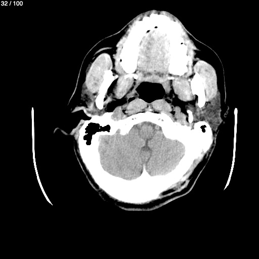
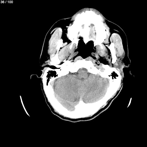
Ramon Reyes Ramirez 63A - Unnamed
Next Series
Show as Sequence