ESPECIALIDADES
ESCUINTLA
AKISHINO
AKISHINO2 USG
HUIXTLA
Home
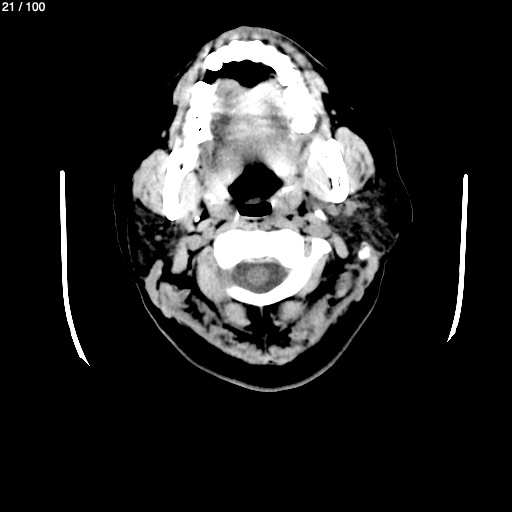
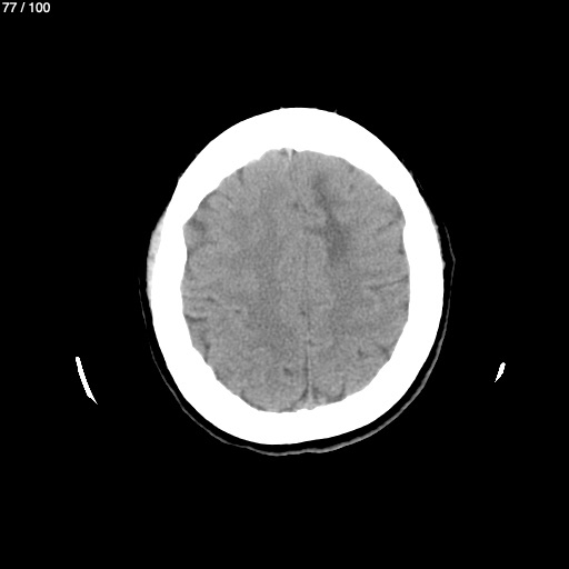
Maria Joaquina Nolazco 49A - Unnamed
Next Series
Show as Sequence