ESPECIALIDADES
ESCUINTLA
AKISHINO
AKISHINO2 USG
HUIXTLA
Home
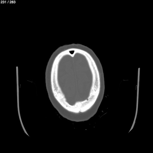
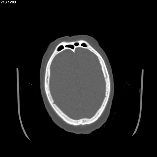
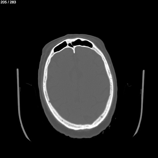
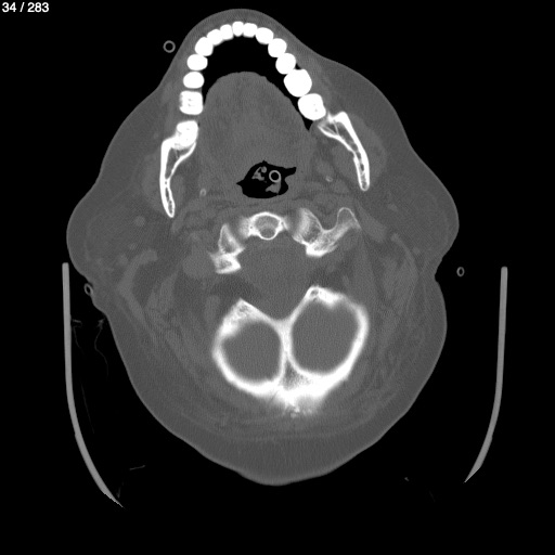
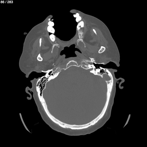
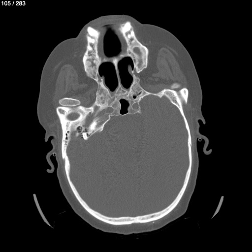
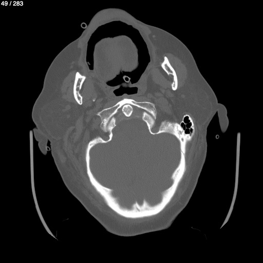
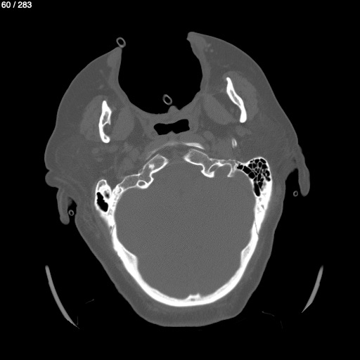
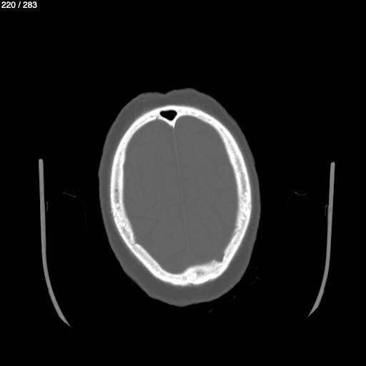
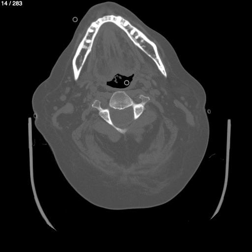
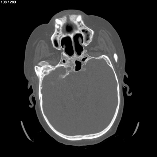
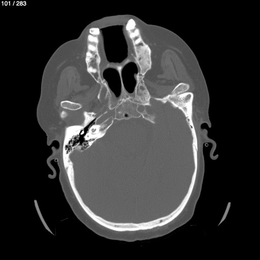
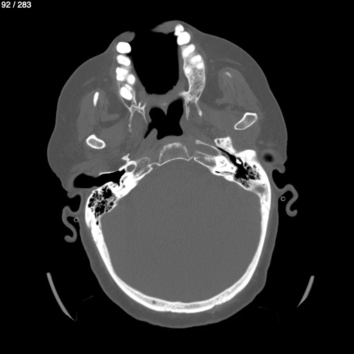
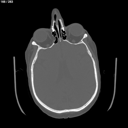
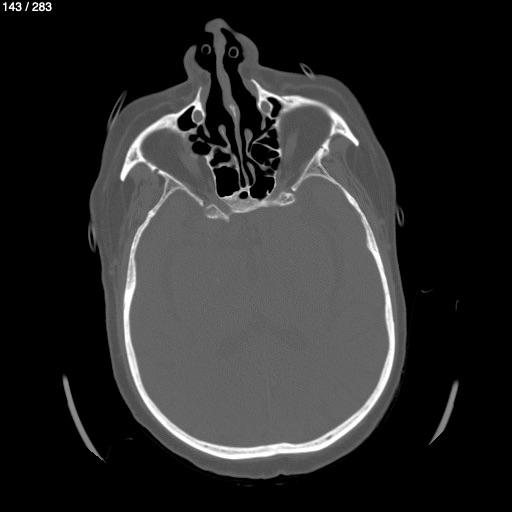
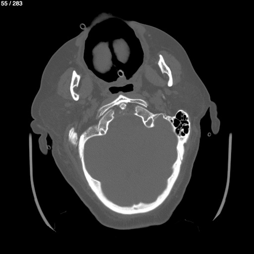
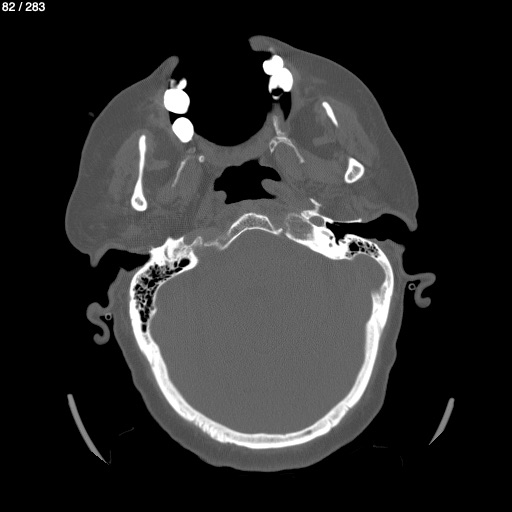
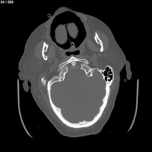
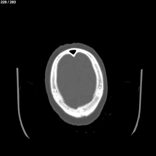
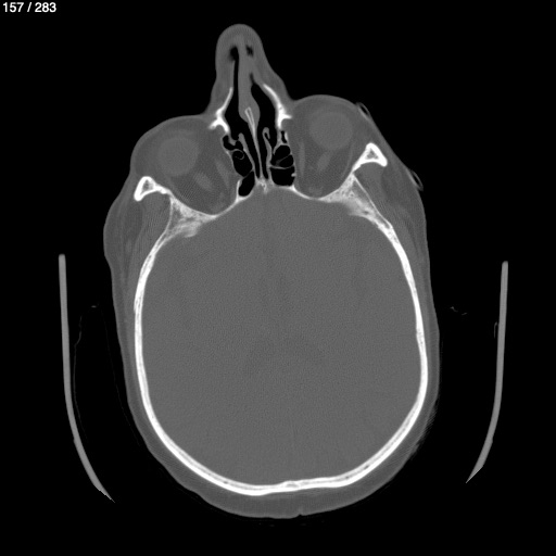
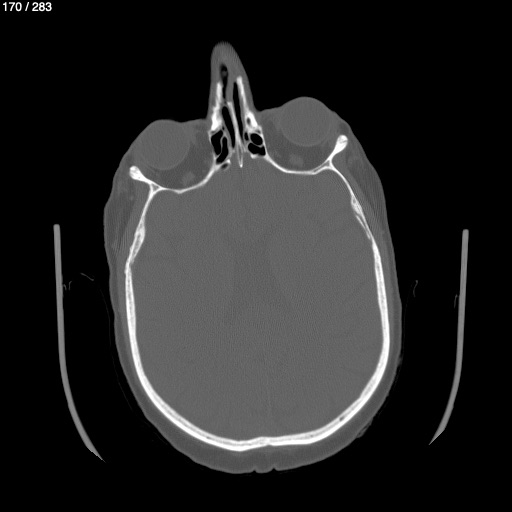
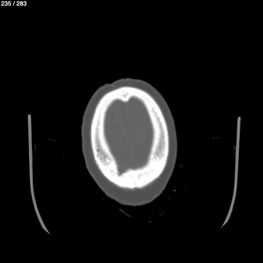
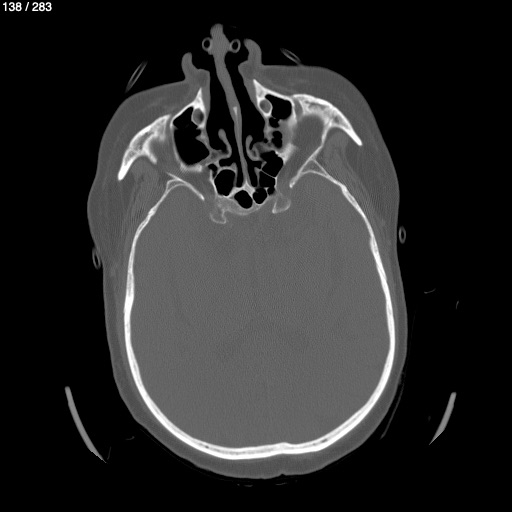
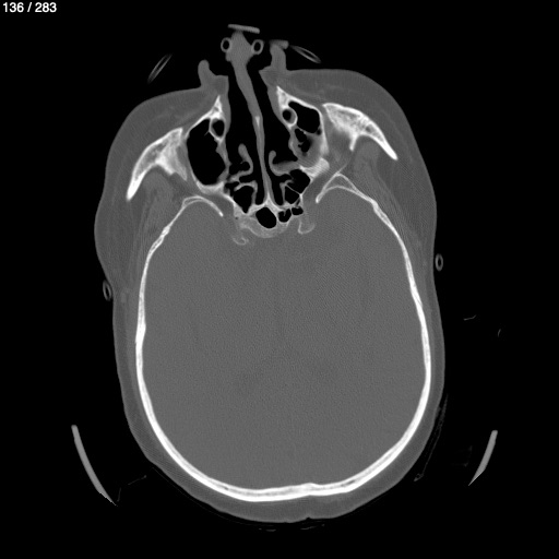
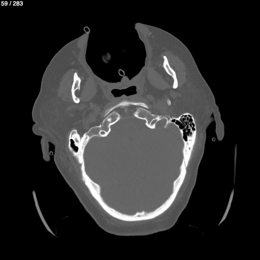
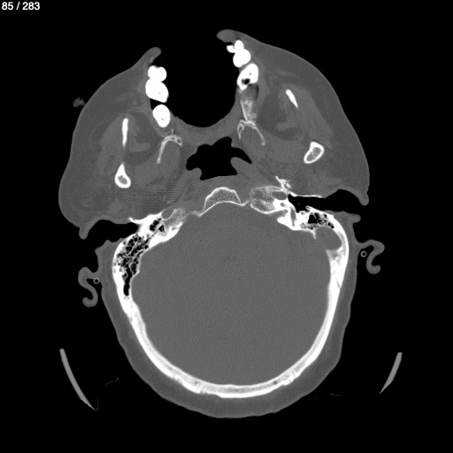
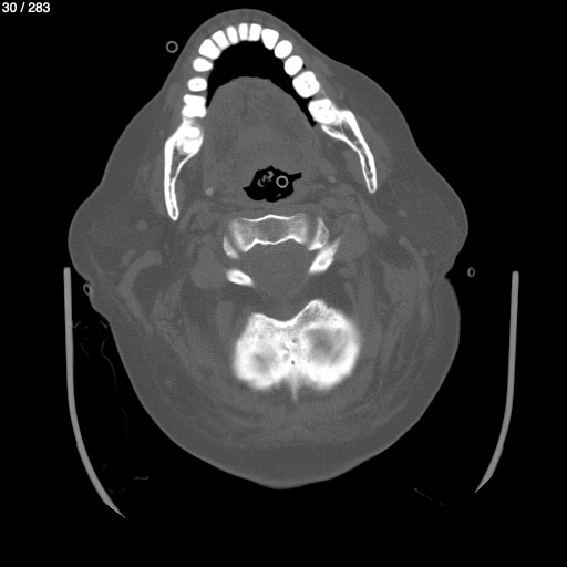
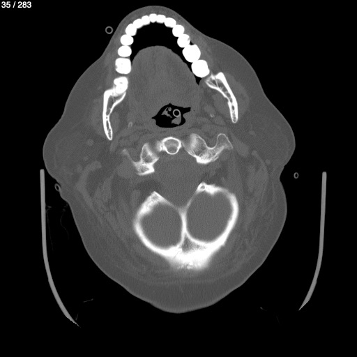
Adulfo Perez Lopez 56 - Tc De Craneo Simple
Previous Series
Next Series
Show as Sequence