ESPECIALIDADES
ESCUINTLA
AKISHINO
AKISHINO2 USG
HUIXTLA
Home
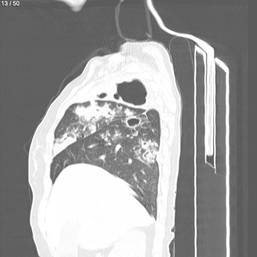
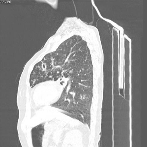
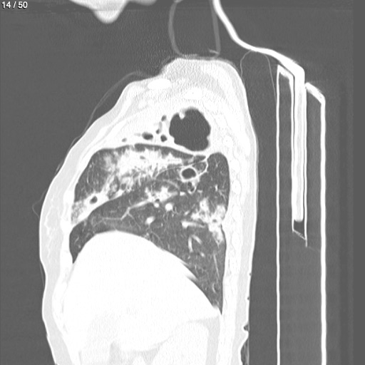
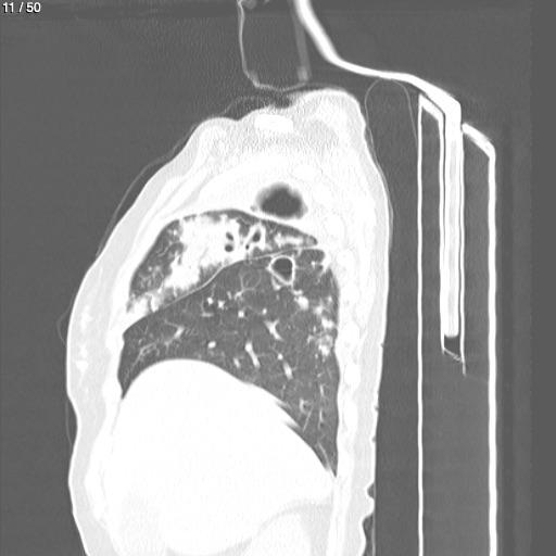
Alejandra Mendez Gomez 56A - Unnamed
Previous Series
Next Series
Show as Sequence