ESPECIALIDADES
ESCUINTLA
AKISHINO
AKISHINO2 USG
HUIXTLA
Home
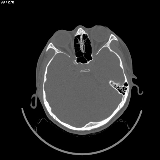
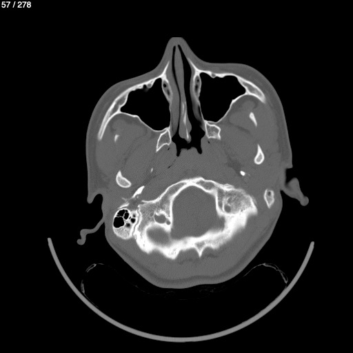
Alejandro Morales Majia 15A - Unnamed
Previous Series
Show as Sequence