ESPECIALIDADES
ESCUINTLA
AKISHINO
AKISHINO2 USG
HUIXTLA
Home
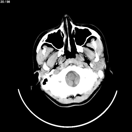
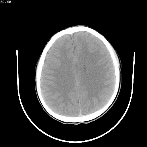
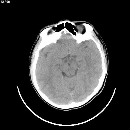
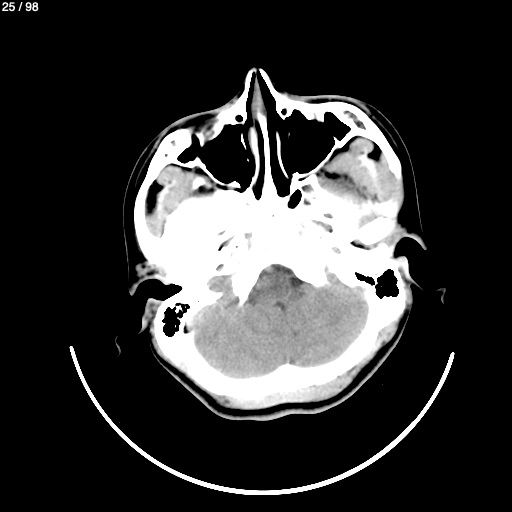
Alejandro Morales Majia 15A - Unnamed
Next Series
Show as Sequence