ESPECIALIDADES
ESCUINTLA
AKISHINO
AKISHINO2 USG
HUIXTLA
Home
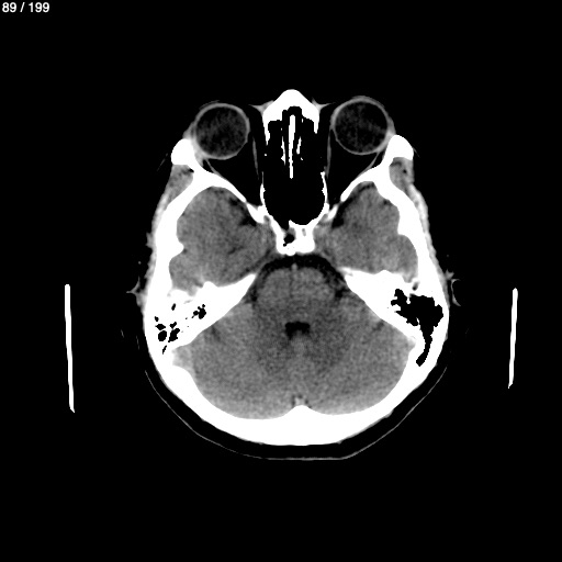
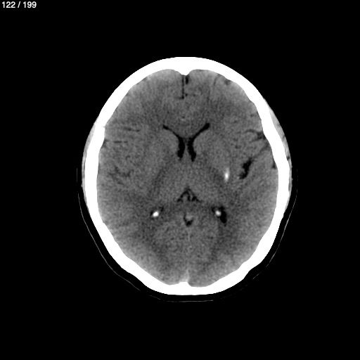
Cinthia Itzel Garcia Garcia 28A - Unnamed
Next Series
Show as Sequence