ESPECIALIDADES
ESCUINTLA
AKISHINO
AKISHINO2 USG
HUIXTLA
Home
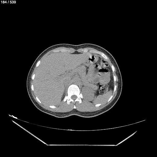
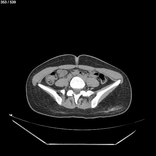
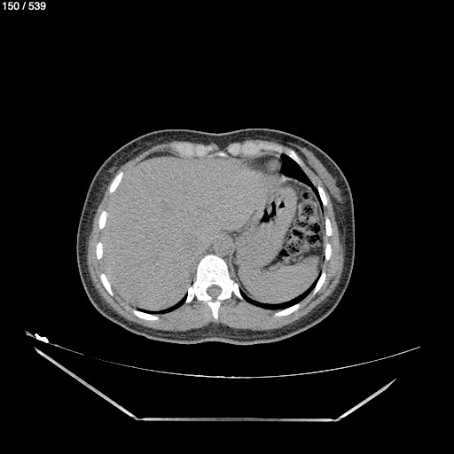
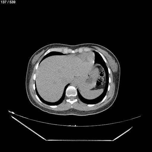
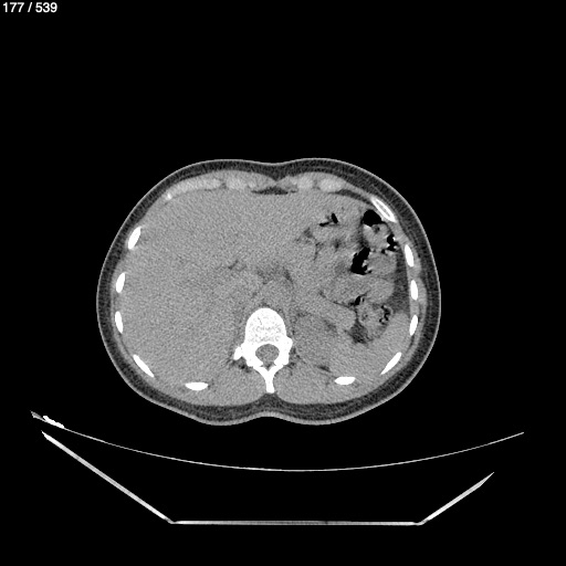
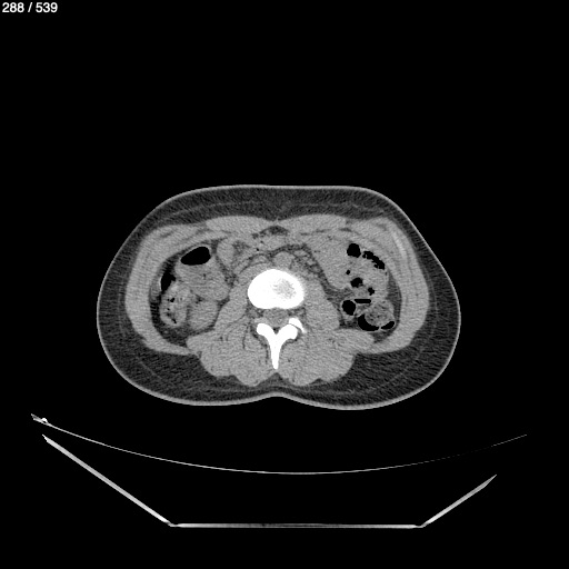
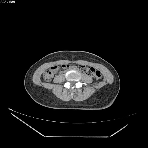
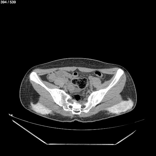
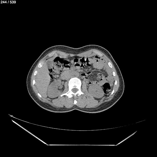
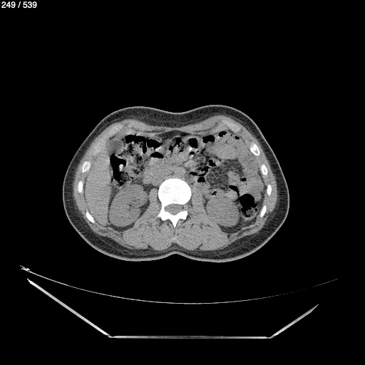
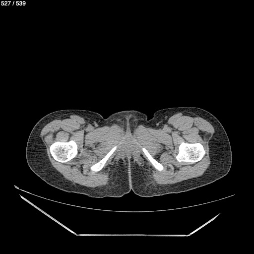
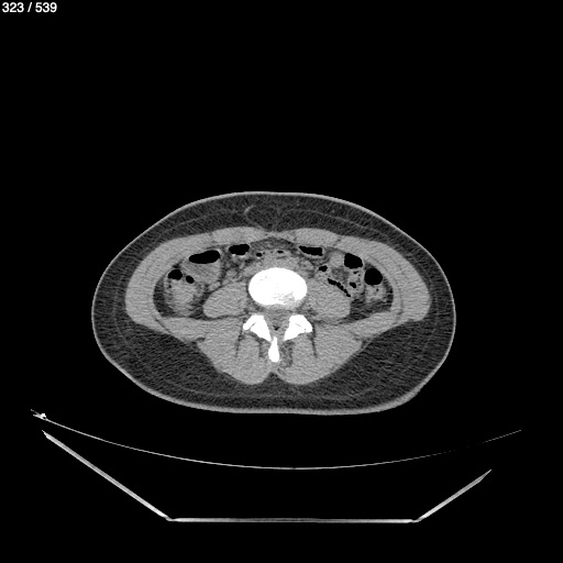
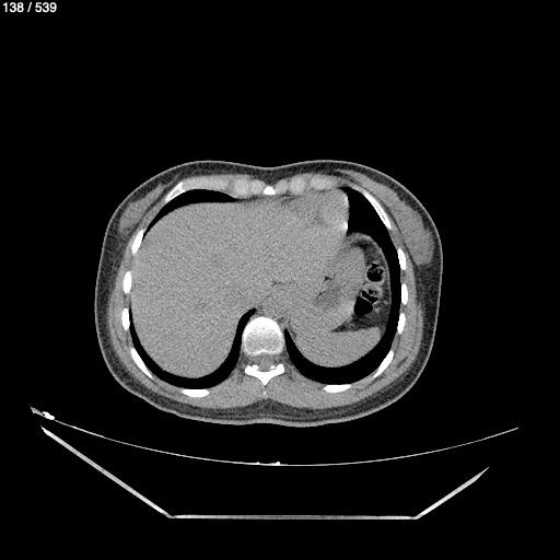
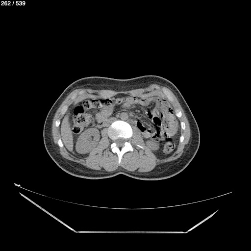
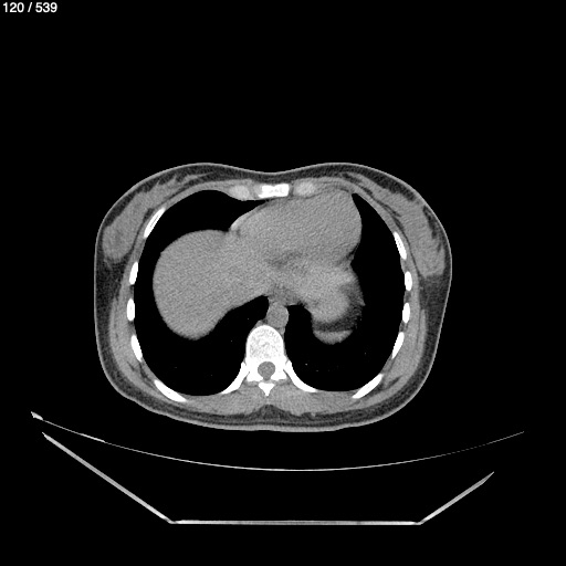
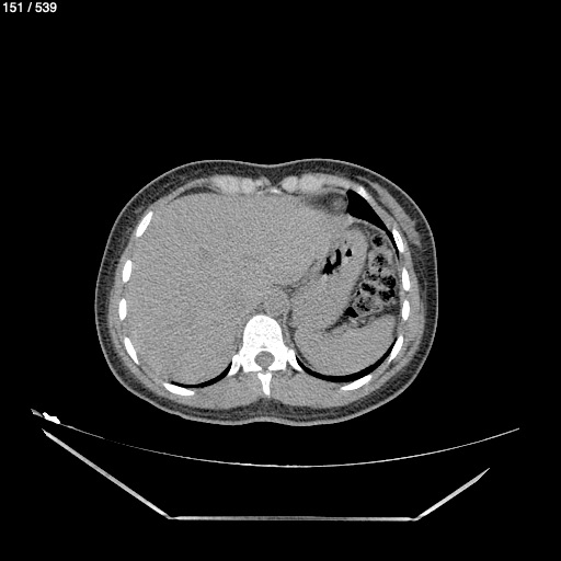
Jocelyn Soto Roblero 26A - Abdomen Simple
Next Series
Show as Sequence