ESPECIALIDADES
ESCUINTLA
AKISHINO
AKISHINO2 USG
HUIXTLA
Home
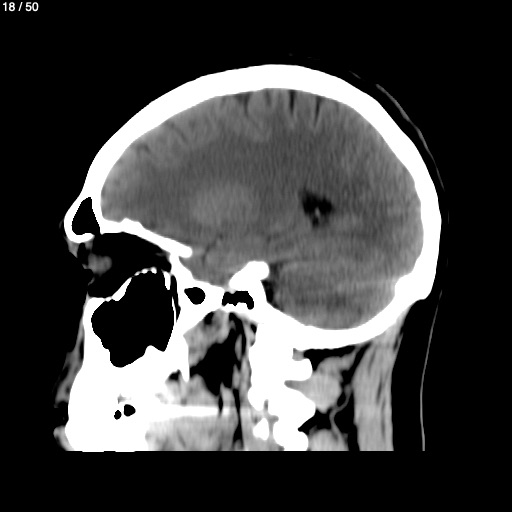
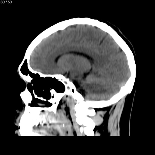
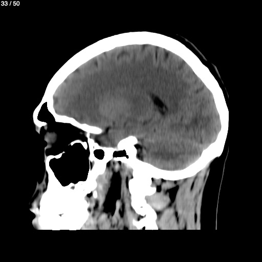
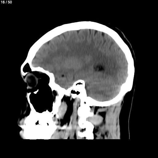
Oscar Fraire Palomeque 27A - Craneo Simple
Previous Series
Next Series
Show as Sequence