ESPECIALIDADES
ESCUINTLA
AKISHINO
AKISHINO2 USG
HUIXTLA
Home
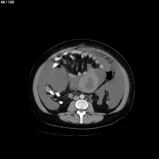
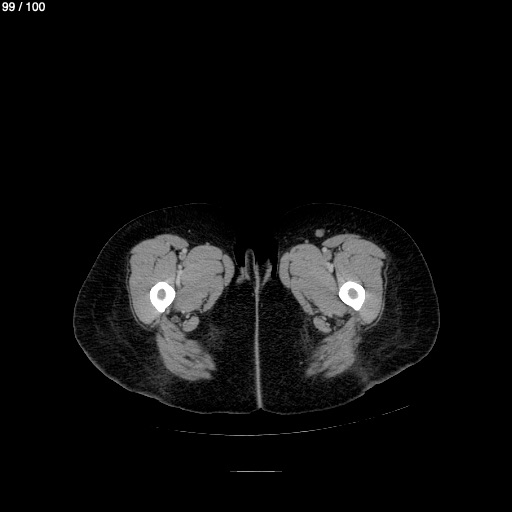
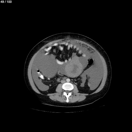
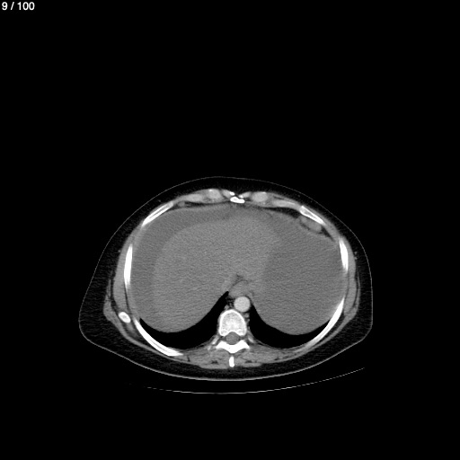
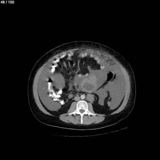
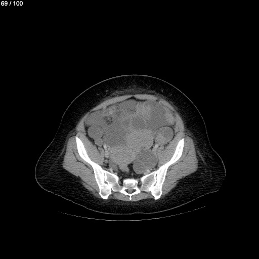
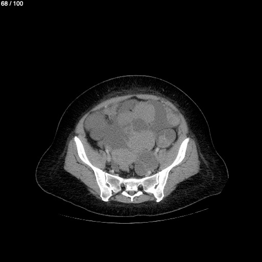
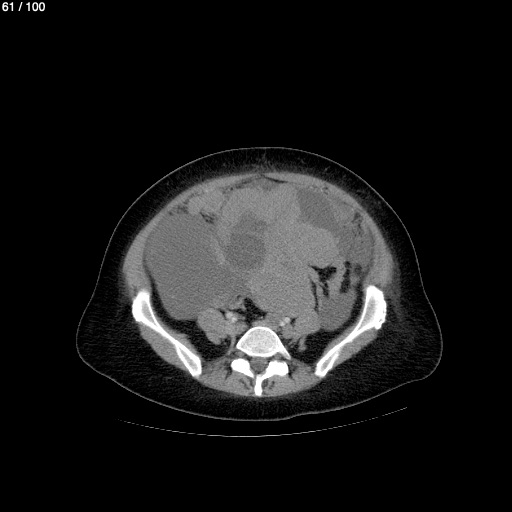
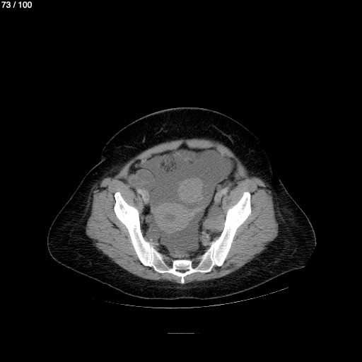
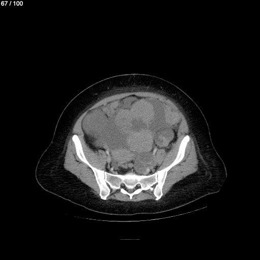
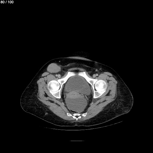
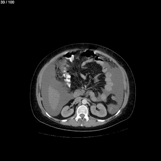
Arizbeh De Jesus Cibaja Ruiz 43 - Unnamed
Previous Series
Next Series
Show as Sequence