ESPECIALIDADES
ESCUINTLA
AKISHINO
AKISHINO2 USG
HUIXTLA
Home
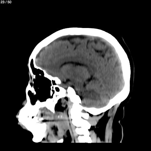
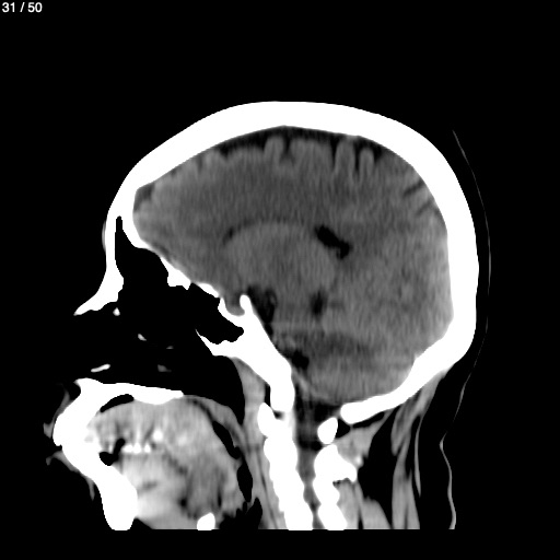
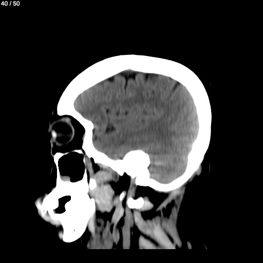
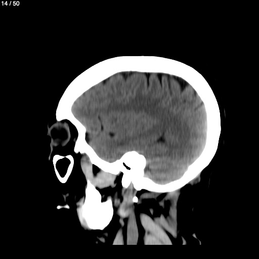
Guillermina Albores Mina - Unnamed
Previous Series
Show as Sequence