ESPECIALIDADES
ESCUINTLA
AKISHINO
AKISHINO2 USG
HUIXTLA
Home
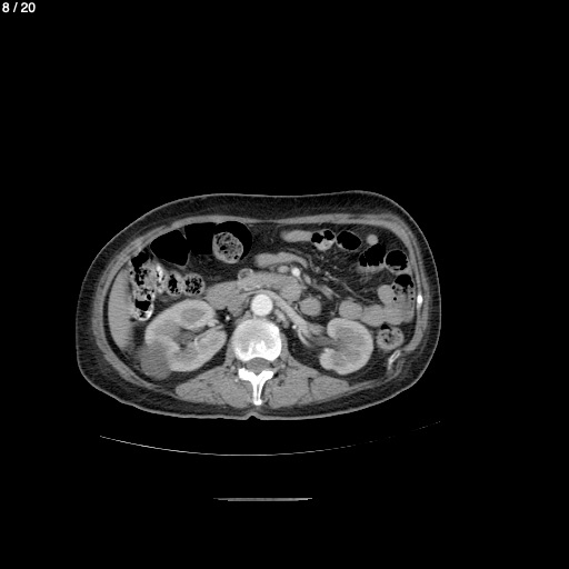
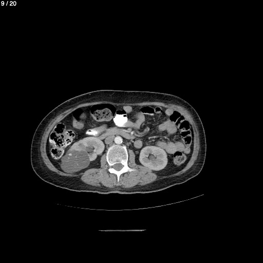
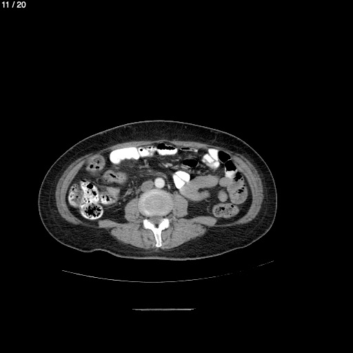
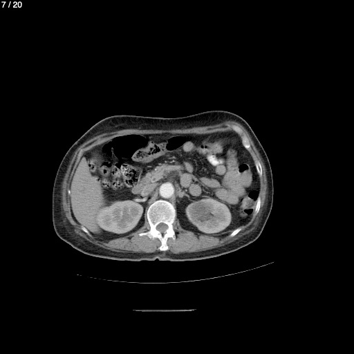
Eleuteria Concepcion Her 57A - Unnamed
Previous Series
Next Series
Show as Sequence