ESPECIALIDADES
ESCUINTLA
AKISHINO
AKISHINO2 USG
HUIXTLA
Home
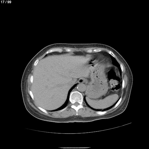
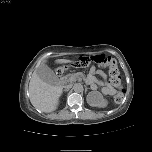
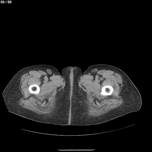
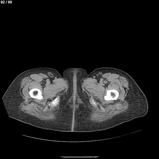
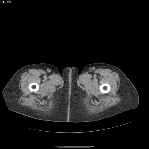
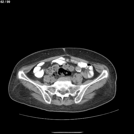
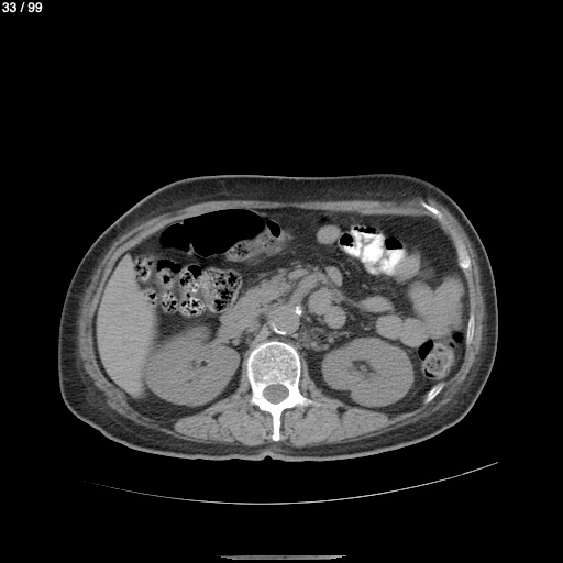
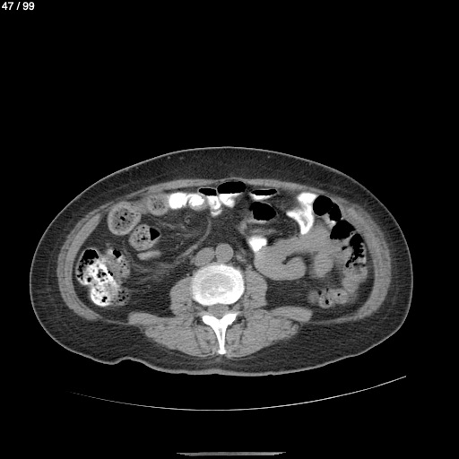
Eleuteria Concepcion Her 57A - Unnamed
Next Series
Show as Sequence