ESPECIALIDADES
ESCUINTLA
AKISHINO
AKISHINO2 USG
HUIXTLA
Home
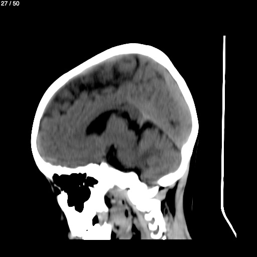
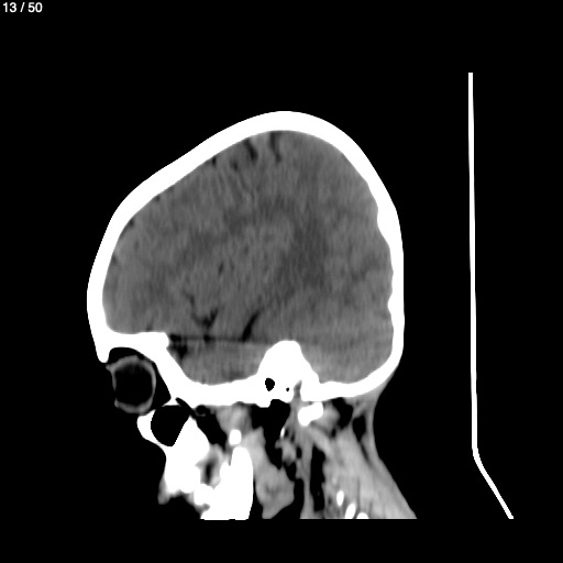
Jonathan Javier Morales 3A - Unnamed
Previous Series
Show as Sequence