ESPECIALIDADES
ESCUINTLA
AKISHINO
AKISHINO2 USG
HUIXTLA
Home
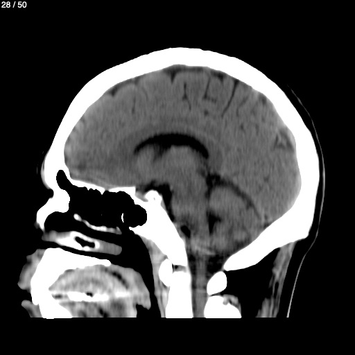
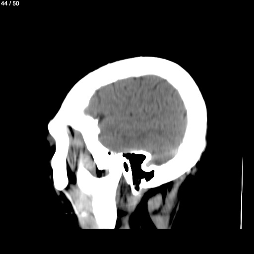
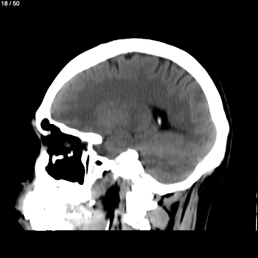
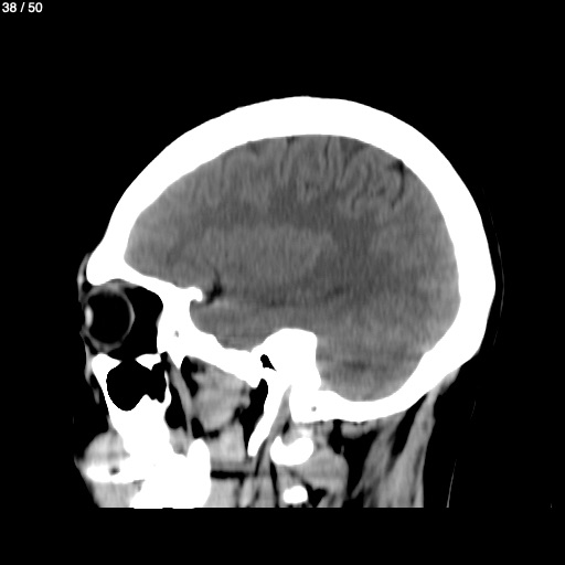
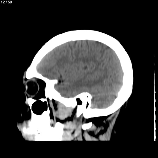
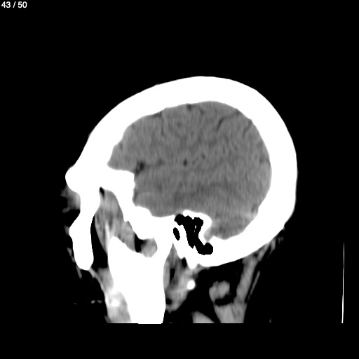
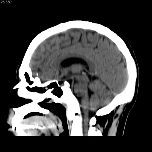
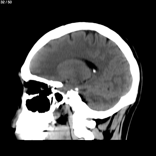
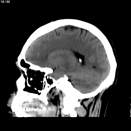
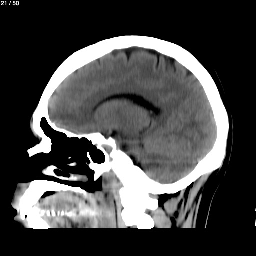
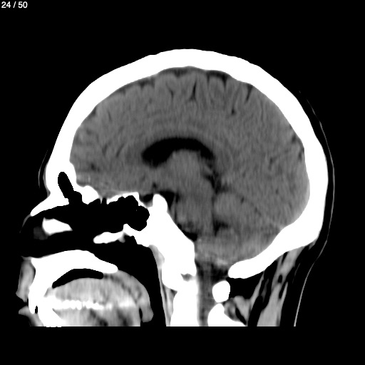
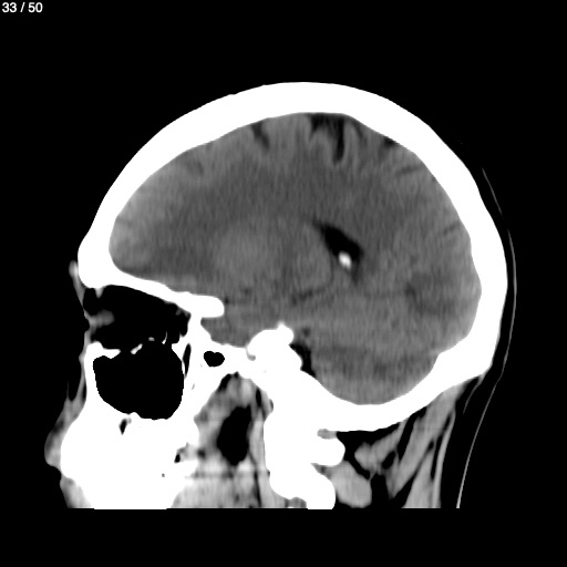
Bladimir Zunun Morales 30A - Craneo Simple
Previous Series
Show as Sequence