ESPECIALIDADES
ESCUINTLA
AKISHINO
AKISHINO2 USG
HUIXTLA
Home
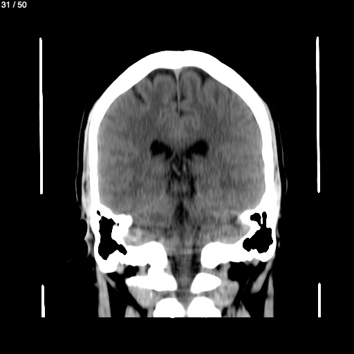
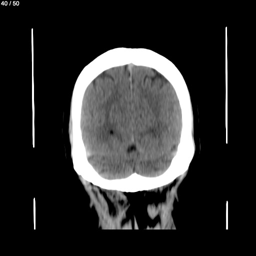
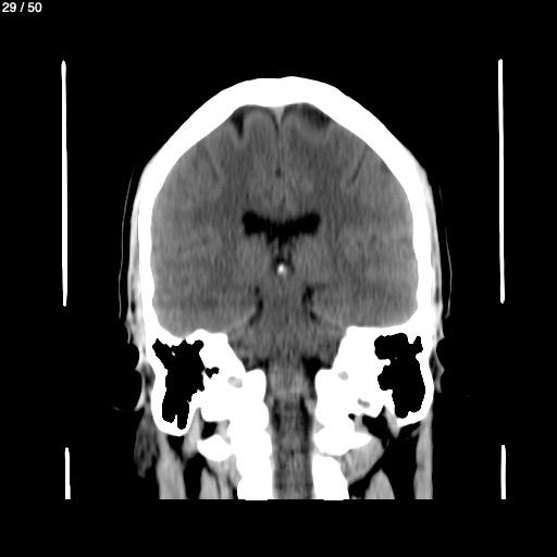
Bladimir Zunun Morales 30A - Craneo Simple
Previous Series
Next Series
Show as Sequence