ESPECIALIDADES
ESCUINTLA
AKISHINO
AKISHINO2 USG
HUIXTLA
Home
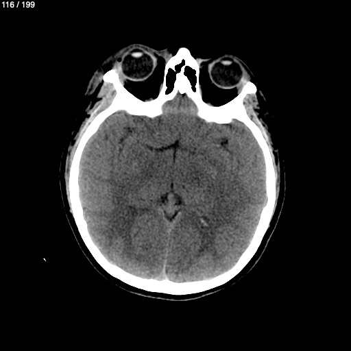
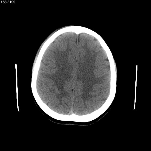
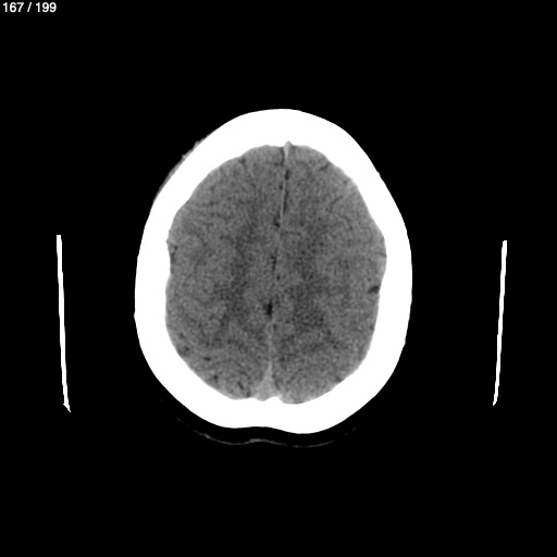
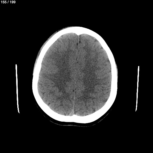
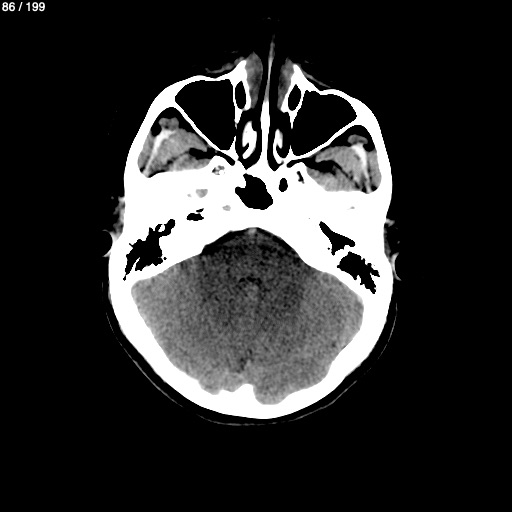
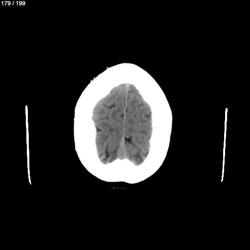
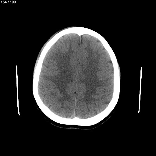
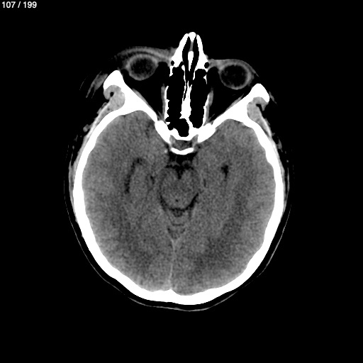
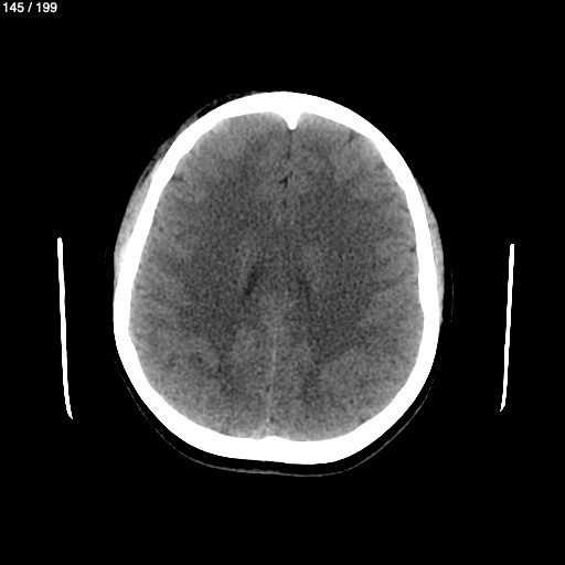
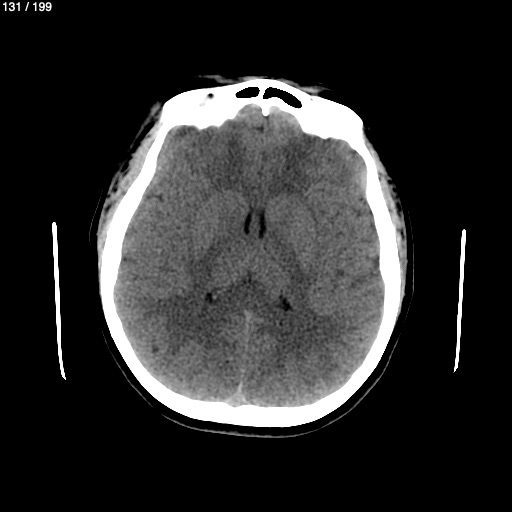
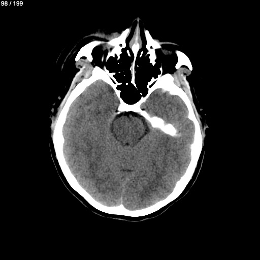
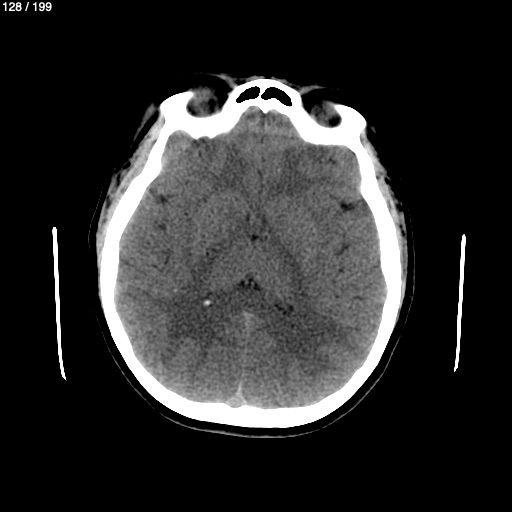
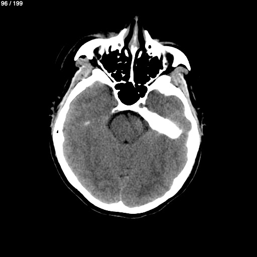
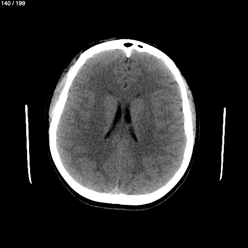
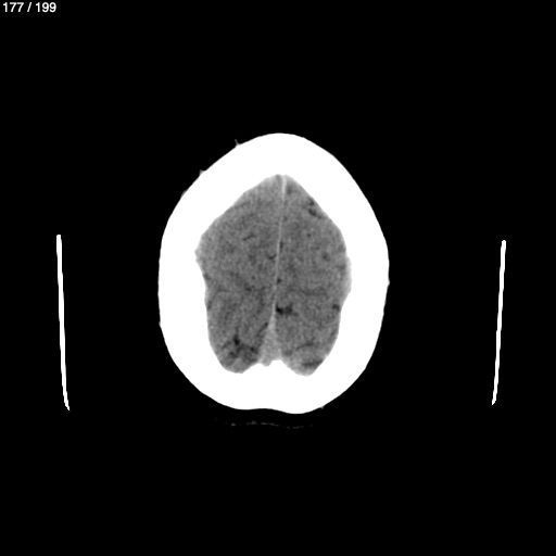
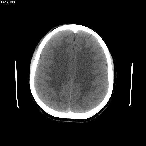
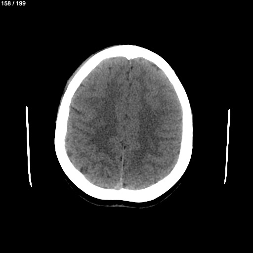
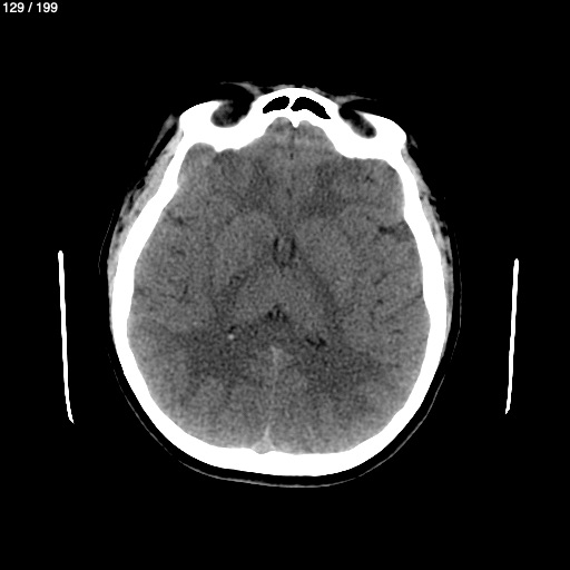
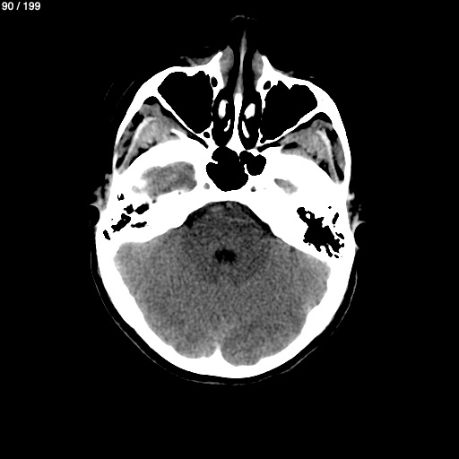
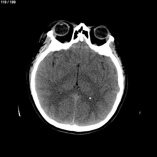
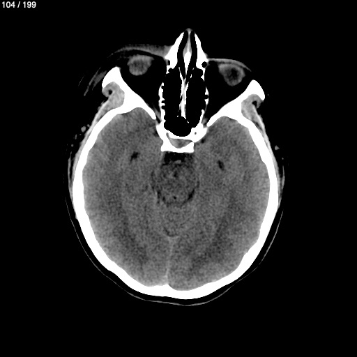
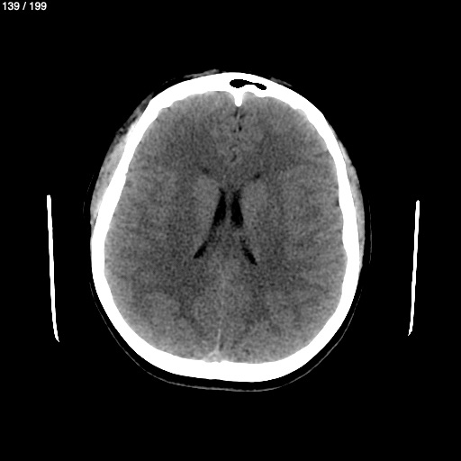
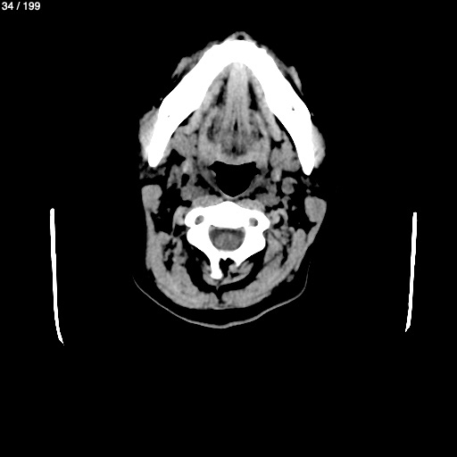
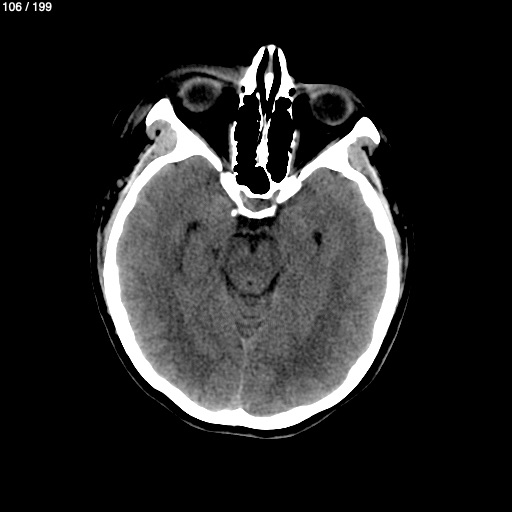
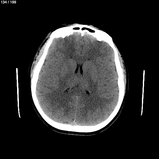
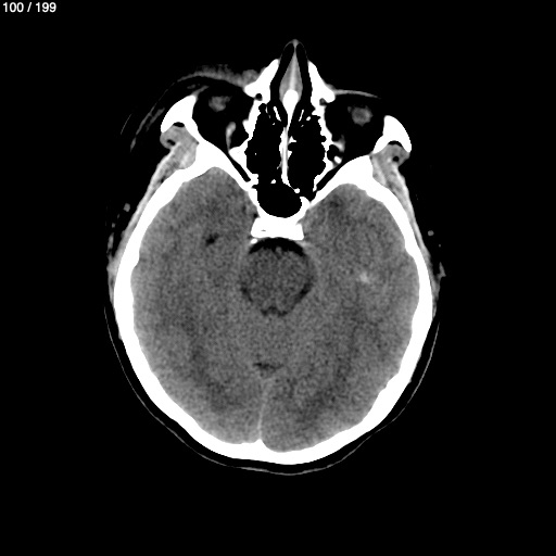
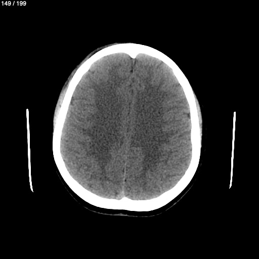
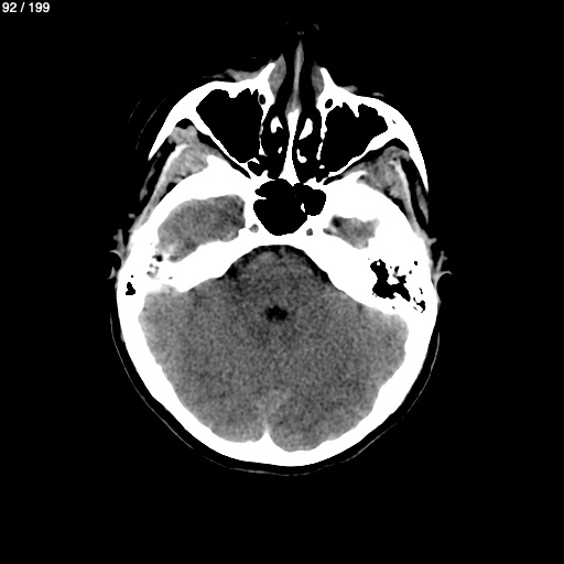
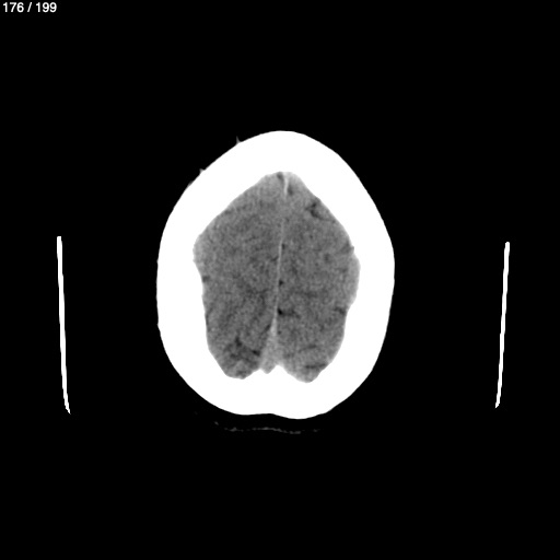
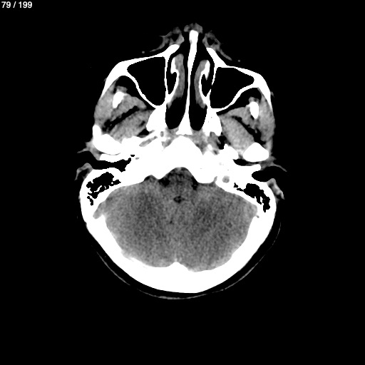
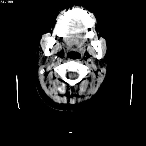
Thayli Fernandez Gomez 14A - Craneo Simple
Next Series
Show as Sequence