ESPECIALIDADES
ESCUINTLA
AKISHINO
AKISHINO2 USG
HUIXTLA
Home
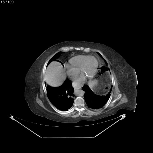
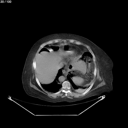
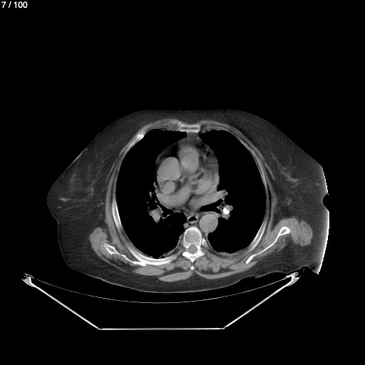
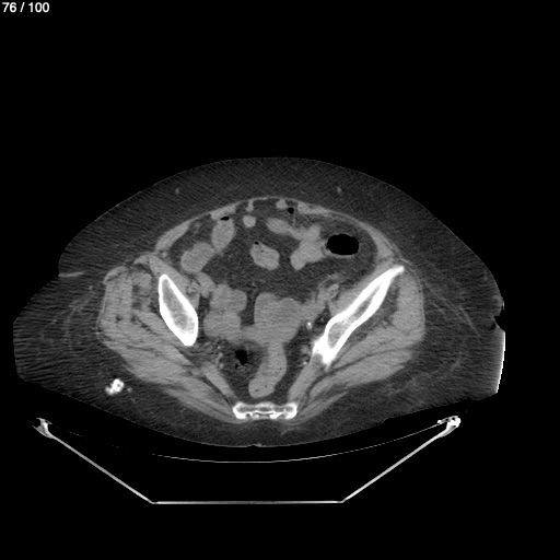
Maria Luz Aguilar Herrera 65A - Unnamed
Previous Series
Show as Sequence