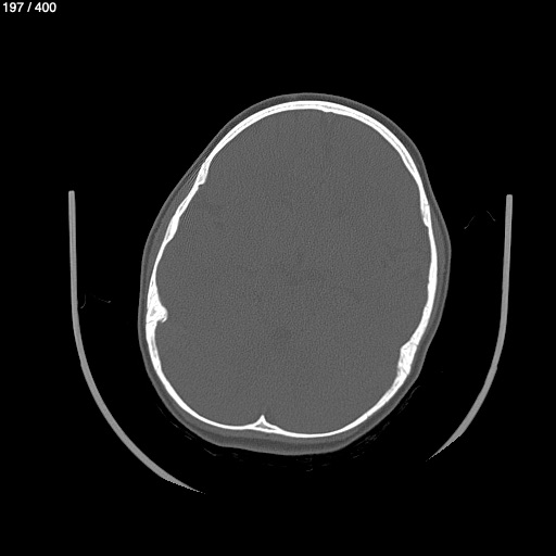
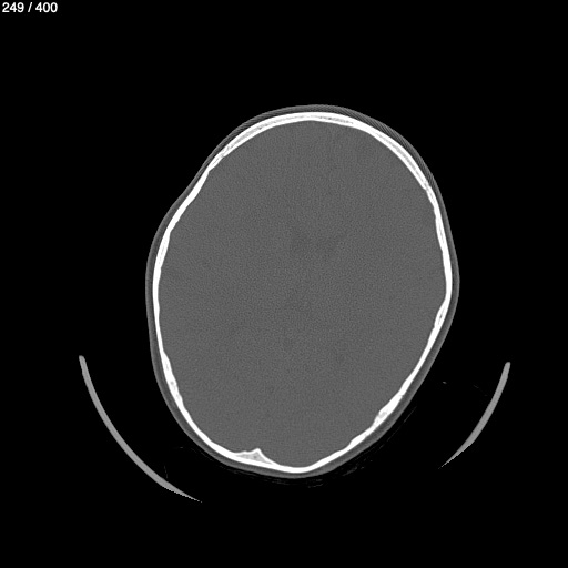
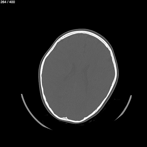
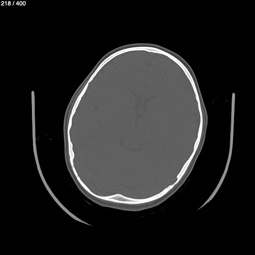
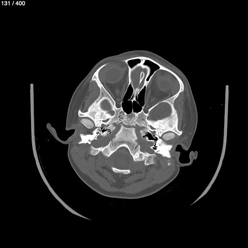
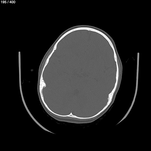
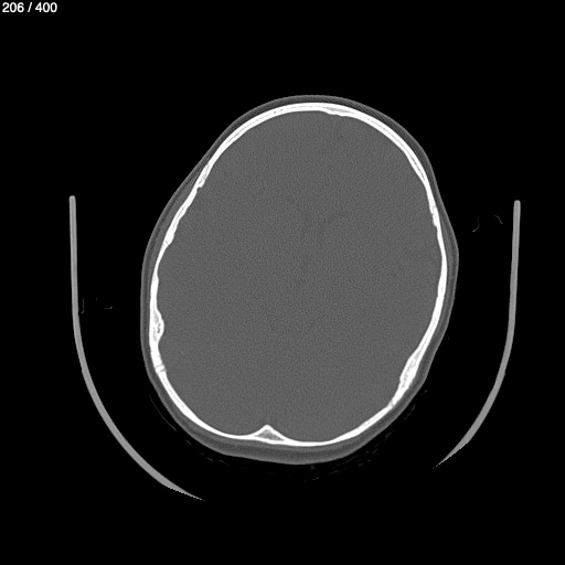
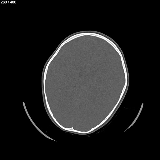
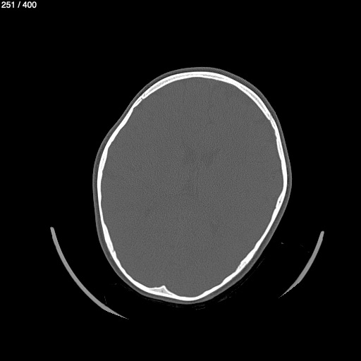
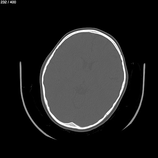
Home S​o​f​i​a​ ​E​s​c​o​b​a​r​ ​H​e​r​n​n​a​d​e​z​ ​4​A​ ​-​ ​C​r​a​n​e​o​ ​S​i​m​p​l​e