ESPECIALIDADES
ESCUINTLA
AKISHINO
AKISHINO2 USG
HUIXTLA
Home
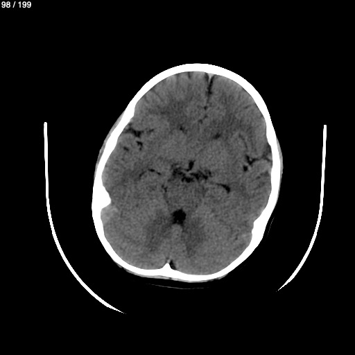
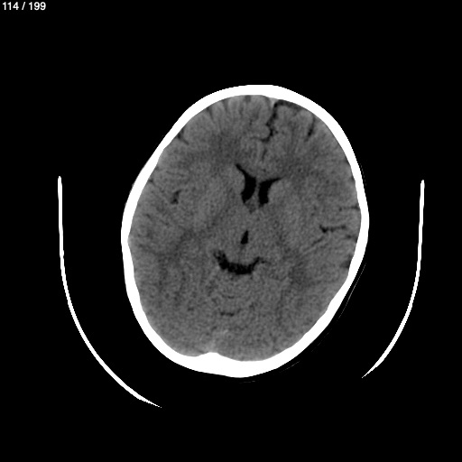
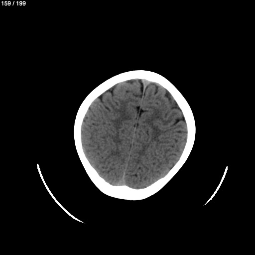
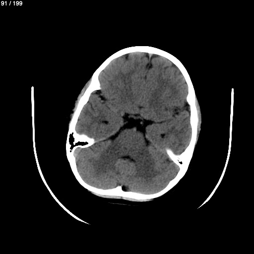
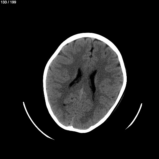
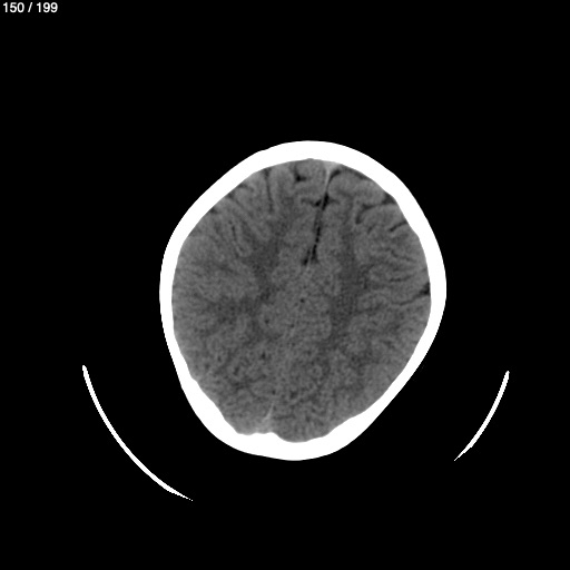
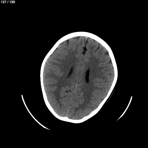
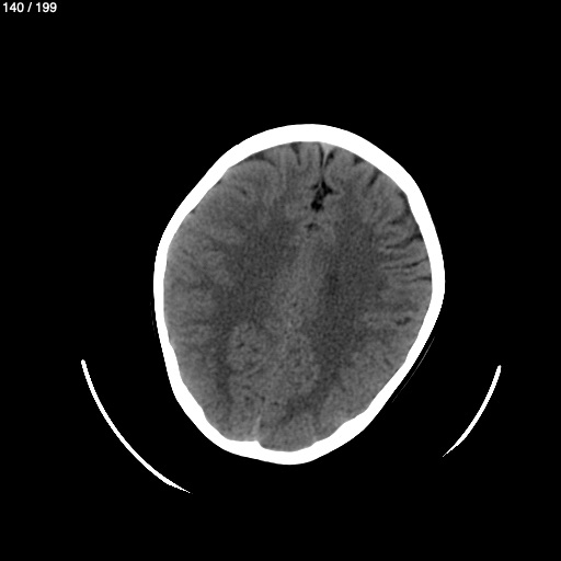
Sofia Escobar Hernnadez 4A - Craneo Simple
Previous Series
Next Series
Show as Sequence