ESPECIALIDADES
ESCUINTLA
AKISHINO
AKISHINO2 USG
HUIXTLA
Home
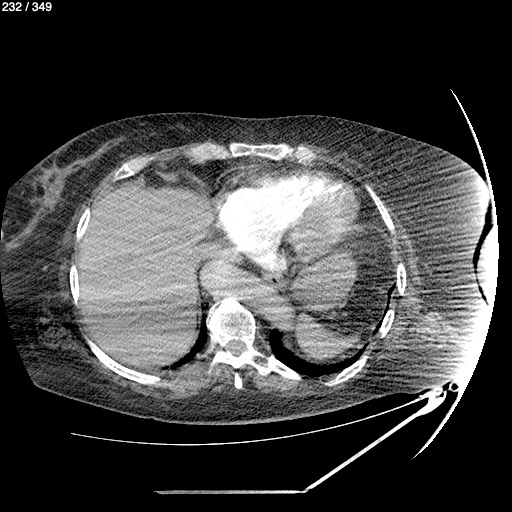
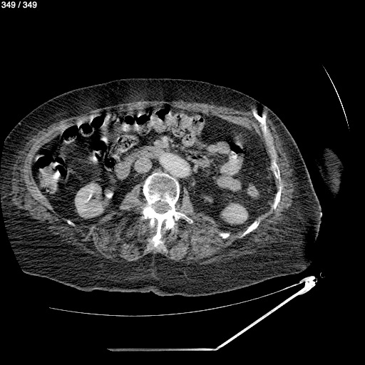
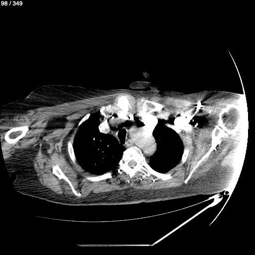
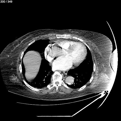
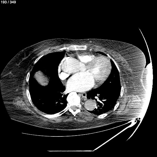
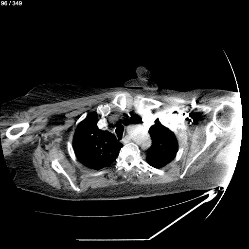
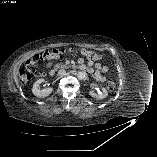
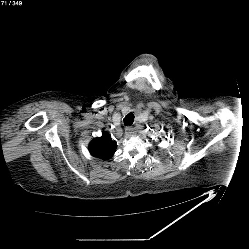
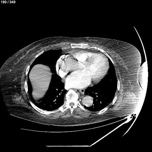
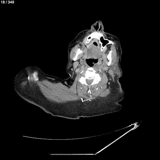
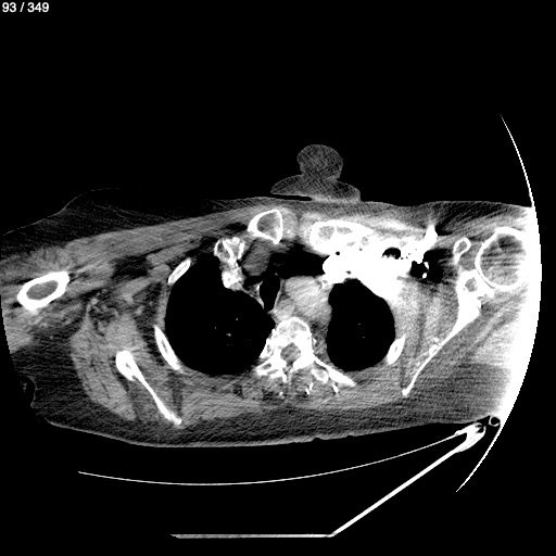
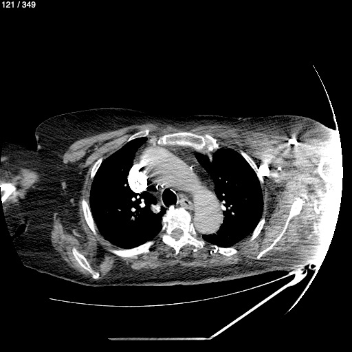
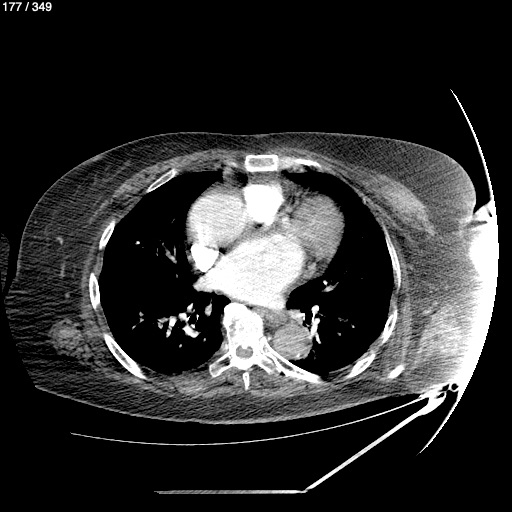
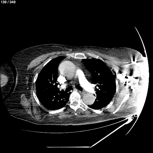
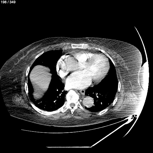
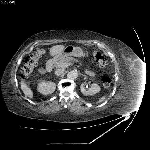
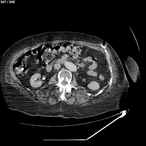
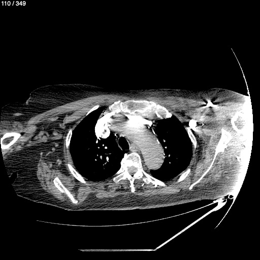
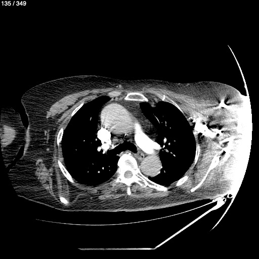
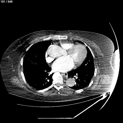
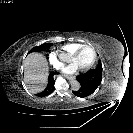
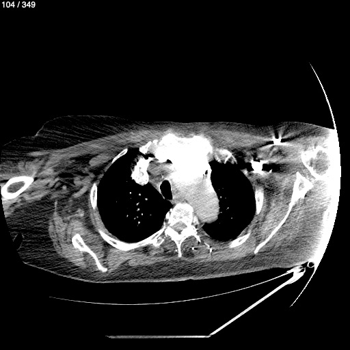
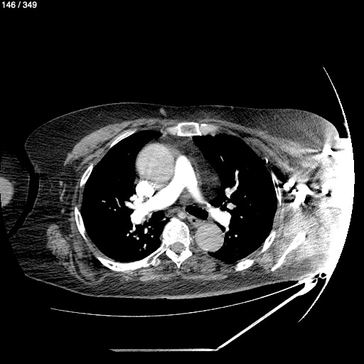
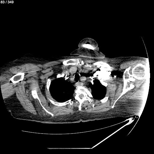
Blanca Rosa Limones Vazquez 72 - Torax Syc
Previous Series
Show as Sequence